Sức khoẻ 360

Gián đoạn quai động mạch chủ dễ gây tử vong sau sinh

(khoahocdoisong.vn) - Gián đoạn quai động mạch chủ là một dị tật tim bẩm sinh cần được phát hiện sớm và phẫu thuật kịp thời nếu không bệnh dễ gây tử vong cho trẻ.

Ngay sau mổ đẻ, trẻ nam nặng 3.100g đã được đưa đi kiểm tra tim phổi do trước đó đã phát hiện tim bẩm sinh từ tuần thai thứ 22. 

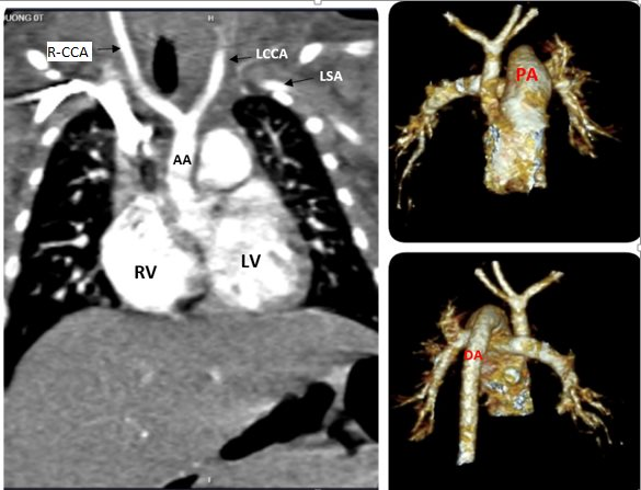
X-quang ngực cho thấy bóng tim to. Kết quả siêu âm tim: Hẹp khít gần như gián đoạn quai động mạch chủ vị trí eo. Thông liên thất rộng kích thước 7mm shunt 2 chiều. Thiểu sản nhẹ thất trái. Còn ống động mạch shunt 2 chiều.

gian-doan-quai-dong-mach-chu-1.png
Gián đoạn quai động mạch chủ ở trẻ trên phim chụp.

Kết quả cắt lớp vi tính động mạch chủ ngực: Gián đoạn quai động mạch chủ đoạn sau động mạch dưới đòn trái (type A). Động mạch chủ xuống liên tục với động mạch phổi qua PDA lớn. Thông liên thất.

Gián đoạn cung động mạch chủ là một bệnh tim bẩm sinh hiếm gặp, chiếm 1.4% các bất thường bẩm sinh của tim, hay 0.003/1.000 trẻ sinh ra còn sống. Đây là tổn thương có sự gián đoạn về mặt giải phẫu giữa hai đoạn của cung động mạch chủ. Tiến triển tự phát hay gặp là nhanh chóng đưa đến tử vong ngay từ những ngày đầu do đóng ống động mạch (đảm bảo tưới máu nửa dưới cơ thể).

Tổn thương phối hợp gần như luôn luôn hiện diện đó là thông liên thất. Các tổn thương khác đi kèm như van động mạch chủ hai lá, thiểu sản gốc động mạch chủ hoặc bất thường vách phễu, thân chung động mạch.

Siêu âm tim là phương tiện chẩn đoán trong giai đoạn sơ sinh. Trong một số trường hợp phức tạp, có thể cần đến chụp cắt lớp vi tính (CT Scan), chụp cộng hưởng từ (MRI), hay chụp mạch (Arteriography).

Phẫu thuật là lựa chọn quan trọng nhất, điều trị nội khoa trước và sau mổ đóng vai trò hỗ trợ. Mục tiêu của điều trị phẫu thuật bao gồm tách biệt tim phải và tim trái đảm bảo lưu lượng máu không bị cản trở đến phổi và tuần hoàn hệ thống, tạo hình lại quai động mạch chủ về hình thái giải phẫu và sinh lý bình thường.

gian-doan-quai-dong-mach-chu.jpg
Các type của gián đoạn quai động mạch chủ.

BS Phạm Trang (Khoa Chẩn đoán hình ảnh, Bệnh viện E T.Ư)

back to top