Sức khoẻ 360

ECMO cứu nữ sinh 19 tuổi phổi trắng xóa trên nền tiểu đường

Tiểu đường type 1 không chừa ai, kể cả người trẻ, diễn tiến rất âm thầm, bệnh chỉ được phát hiện khi đã có biến chứng nặng.

Ngày 9/7, Bệnh viện Thanh Nhàn Hà Nội cho biết, một ca bệnh nguy kịch, diễn tiến nhanh chóng chỉ trong vài ngày ở một bệnh nhân tưởng chừng "không bệnh", đã được cứu sống ngoạn mục nhờ kỹ thuật ECMO hiện đại và sự tận tâm của đội ngũ y bác sĩ.

Phổi trắng xóa – hội chứng ARDS trên nền bệnh lý tiểu đường không được phát hiện

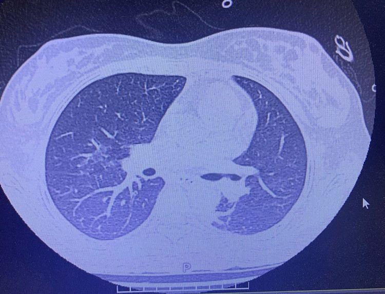
Bệnh nhân nữ, 19 tuổi, nhập viện trong tình trạng khó thở, sốt cao, ho đờm. Chẩn đoán ban đầu là viêm phổi nặng. Chỉ trong vòng 3 ngày, tình trạng hô hấp suy sụp nhanh chóng, hình ảnh X-quang và CT phổi cho thấy phổi trắng xóa hai bên – dấu hiệu điển hình của Hội chứng suy hô hấp cấp tiến triển (ARDS), một biến chứng nguy kịch thường gặp ở những ca viêm phổi nặng.

phoi-trang-xoa-3.jpg
phoi-trang-xoa-2.jpg
phoi-trang-xoa-4.jpg
Hình ảnh tổn thương phổi trên phim chụp - Ảnh BVCC

Đáng lưu ý, bệnh nhân không có tiền sử bệnh lý rõ ràng, không điều trị bệnh mạn tính nào trước đó. Tuy nhiên, trong quá trình điều trị, đường huyết của bệnh nhân liên tục cao bất thường, kèm toan chuyển hóa nặng.

Kết quả xét nghiệm và thăm khám chuyên khoa cho thấy bệnh nhân mắc đái tháo đường type 1, thường khởi phát ở lứa tuổi vị thành niên và có thể tiến triển âm thầm trong thời gian dài nếu không được tầm soát.

ECMO – lá chắn cuối cùng giữa sự sống và tử vong

Trong bối cảnh ARDS tiến triển nhanh, phổi mất gần hoàn toàn chức năng trao đổi khí, thở máy xâm lấn không còn hiệu quả, đội ngũ bác sĩ khoa Hồi sức Tích cực Bệnh viện Thanh Nhàn đã nhanh chóng hội chẩn và quyết định triển khai ECMO (oxy hóa qua màng ngoài cơ thể) – một trong những kỹ thuật cao nhất trong hồi sức hiện đại.

ECMO giúp thay thế chức năng phổi và tim trong thời gian tạm thời, tạo điều kiện cho phổi được nghỉ ngơi và hồi phục. Sau gần 3 tuần điều trị tích cực, kết hợp kiểm soát đường huyết, chăm sóc dinh dưỡng và phục hồi chức năng hô hấp, bệnh nhân dần cải thiện, được cai ECMO thành công và xuất viện khỏe mạnh với tinh thần tích cực, thể trạng ổn định.

phoi-trang-xoa.jpg
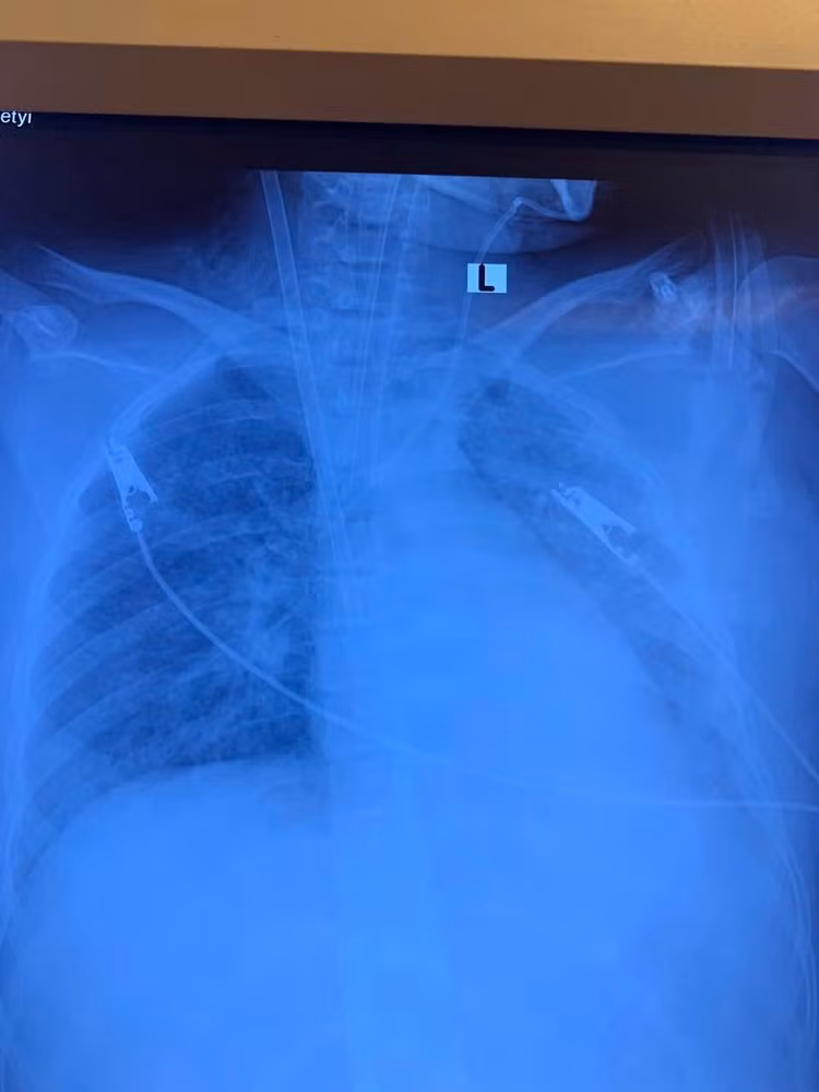
Kỹ thuật ECMO chữa trị cho bệnh nhân - Ảnh BVCC

Các bác sĩ Hồi sức Tích cực Bệnh viện Thanh Nhàn cho biết, đằng sau một ca cứu sống ngoạn mục là cả một tập thể y khoa vững mạnh.

Để triển khai ECMO thành công, không chỉ cần máy móc hiện đại mà còn đòi hỏi sự phối hợp chặt chẽ giữa nhiều chuyên khoa: Hồi sức tích cực, nội tiết, hô hấp, dinh dưỡng, điều dưỡng ECMO, cùng đội ngũ kỹ thuật viên và dược lâm sàng.

Trường hợp này là minh chứng rõ rệt cho năng lực chuyên môn vững vàng, khả năng ứng dụng kỹ thuật cao và tinh thần tận tâm cứu người của các y bác sĩ. Nhờ vào việc phát hiện sớm bệnh nền tiểu đường, xử trí đúng thời điểm, kịp thời chỉ định ECMO, bệnh nhân đã vượt qua được "cửa tử".

phoi-trang-xoa-1.jpg
Nguy kịch từ biểu hiện ho sốt, người dân chớ nên chủ quan - Ảnh BVCC

Lời cảnh báo từ ca bệnh sống còn

Không ít người vẫn lầm tưởng tiểu đường chỉ xảy ra ở người lớn tuổi hoặc người béo phì. Tuy nhiên, đái tháo đường type 1 là bệnh lý hay gặp ở lứa tuổi thanh thiếu niên và diễn tiến rất âm thầm.

Trong nhiều trường hợp, bệnh chỉ được phát hiện khi đã có biến chứng nặng. Việc tầm soát sức khỏe định kỳ, đặc biệt với người trẻ có biểu hiện mệt mỏi kéo dài, sụt cân không rõ nguyên nhân, khát nước nhiều hoặc tiểu nhiều, là cực kỳ quan trọng.

Phát hiện sớm không chỉ giúp kiểm soát tốt bệnh lý nền, mà còn ngăn ngừa các biến chứng nguy hiểm như nhiễm trùng, toan ceton, thậm chí là tử vong.

back to top