Ngạt tắc mũi kéo dài liên tục là các triệu chứng đặc biệt thường gặp ở các bệnh nhân bị viêm mũi mạn tính. Việc tự ý sử dụng các thuốc xịt mũi có corticoid để chữa ngạt tưởng chừng như vô hại nhưng lại mang tới những hiểm họa khôn lường.
Khoa Tai Mũi Họng, Bệnh viện TWQĐ 108 mới tiếp nhận một trường hợp bệnh nhân nam N.H.N (24 tuổi, Hà Nội) vào viện với triệu chứng ngạt tắc mũi kéo dài gần 10 năm nay, bệnh nhân phải thường xuyên thở bằng miệng trong quá trình sinh hoạt hàng ngày.
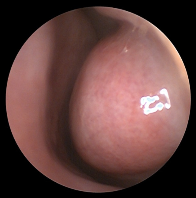
![]() |
| Quá phát cuống mũi |
Sau đó, bệnh nhân được nhập viện để chuẩn bị cho phẫu thuật chỉnh hình cuốn mũi dưới. Tuy nhiên, ngoài các triệu chứng về mũi xoang, khi thăm khám, các Bác sĩ khoa Tai Mũi Họng phát hiện bệnh nhân có những biểu hiện rất kín đáo của bệnh lý nội tiết giống Hội chứng Cushing như rậm lông, mặt tròn đỏ, da mỏng, nhiều vết rạn da, yếu và giảm khối lượng cơ gốc chi…
Bệnh nhận sau đó được hoãn phẫu thuật và chuyển khám chuyên khoa Nội tiết để được thăm khám và làm các xét nghiệm hooc- môn. Qua khai thác tiền sử, các bác sỹ phát hiện bệnh nhân này có một giai đoạn hơn 5 năm liên tục mỗi ngày đều tự ý sử dụng thuốc xịt mũi chống ngạt mũi có hoạt chất chống viêm Dexamethasone.
Kết quả xét nghiệm cho thấy nồng độ Cortisol máu của bệnh nhân lúc 8h sáng ở mức rất thấp, (1,5nmol/L, Chỉ số bình thường 166-507nmol/L). Bệnh nhân sau đó được hoãn phẫu thuật để điều trị bệnh lý nội tiết.
![]() |
| Nội soi mũi cho bệnh nhân |
BS Lưu Thúy Quỳnh, chuyên khoa Nội tiết, Bệnh viện TƯQĐ 108 cho biết, suy thượng thận thứ phát do thuốc là tình trạng giảm tiết cortisol của tuyến thượng thận do sự ức chế từ nồng độ Corticoid cao quá mức cho phép trong máu trong một thời gian dài.
Việc sử dụng tràn lan các sản phẩm thuốc chứa Corticoid như thuốc tân dược, thuốc hít, thuốc xịt và đặc biệt là các thuốc trộn, thuốc gia truyền không rõ nguồn gốc… là nguyên nhân hàng đầu gây nên tình trạng này.
Điều trị bệnh suy thượng thận sau khi được phát hiện cũng cần phải có hướng dẫn rất chi tiết từ phía thầy thuốc và tuân thủ tuyệt đối từ phía người bệnh để không để lại hậu quả lâu dài.
Trường hợp bệnh nhân N.H.N là cực kì may mắn khi được phát hiện bệnh và can thiệp điều trị kịp thời vì người bệnh có nguy cơ rất cao rơi vào trạng thái suy thượng thận cấp do ngừng thuốc đột ngột có thể dẫn tới suy hô hấp, trụy tim mạch thậm chí tử vong.
Với người dân, đây chính là tiếng chuông cảnh tỉnh trong việc tự ý sử dụng thuốc không theo chỉ định của các nhà chuyên môn gây nên những ảnh hưởng cực kì nguy hại đến sức khỏe.
Để phòng tránh, người dân chỉ nên sử dụng thuốc corticoid theo đúng chỉ định về liều lượng do bác sĩ kê đơn. Tuyệt đối không dùng các loại thuốc, dược phẩm không rõ nguồn gốc, xuất xứ và thành phần không rõ ràng…để tránh các hậy quả khôn lường lâu dài.

