Đang nhặt rau tại nhà, bà L.T.N (47 tuổi, Cà Mau) bị đau đầu, chóng mặt và được gia đình đưa đến Bệnh viện Đa khoa Xuyên Á nhập viện. Tại đây, các bác sĩ khoa Sọ não Cột sống 2 đã kịp thời cấp cứu, điều trị cho người bệnh khỏi nguy kịch xuất huyết não do vỡ túi phình động mạch não.
Bệnh nhân N. nhập viện trong tình trạng đột ngột đau đầu dữ dội, nôn ói. Sau khi tiếp nhận, thăm khám các bác sĩ nhận định đây là trường hợp đột quỵ não.
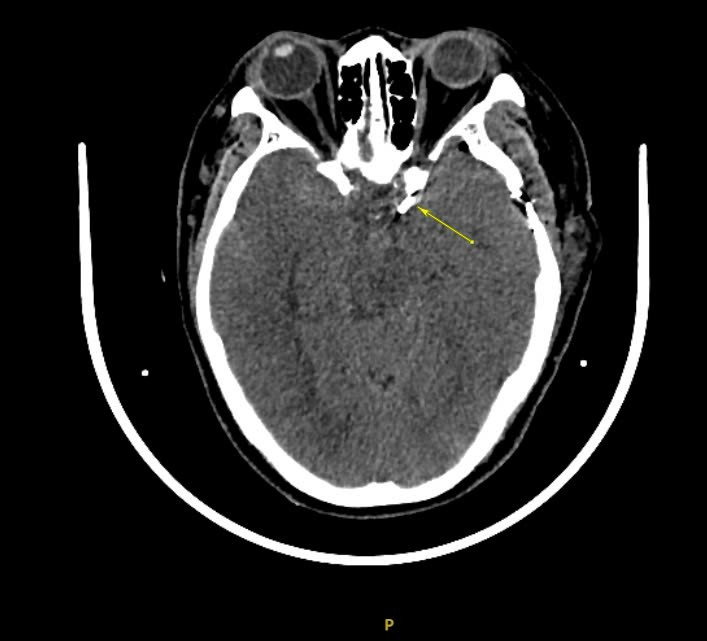
Bệnh nhân được nhanh chóng chụp CT mạch máu não ghi nhận xuất huyết khoang dưới nhện bể trước cầu não, rãnh Sylvian, xuất huyết não thất hai bên do vỡ túi phình động mạch cảnh trong đoạn thông sau bên trái.
Đây là bệnh cảnh nguy hiểm, cần can thiệp phẫu thuật để cầm máu, ngăn ngừa nguy cơ tái xuất huyết.
![]() |
| Vỡ túi phình trên phim chụp - Ảnh BVCC |
Ngay lập tức, bệnh nhân được hội chẩn và quyết định phẫu thuật vi phẫu kẹp cổ túi phình mạch máu não. Trong quá trình phẫu thuật, ekip đã đặt dẫn lưu não thất ra ngoài để dẫn lưu bớt dịch não tủy, kèm sử dụng thuốc chống phù não nhằm giảm tình trạng phù não, sử dụng kính hiển vi phẫu thuật để phóng to phẫu trường.
Với phương pháp này, giúp người bệnh ngăn ngừa nguy cơ tái xuất huyết do túi phình vỡ, tránh các biến chứng nguy hiểm như hôn mê, đột quỵ xuất huyết não, thậm chí là tử vong.
Theo ThS.BS. Huỳnh Văn Vũ, Khoa Sọ Não Cột Sống 2 BVĐK Xuyên Á cho biết: “Đây là một ca bệnh phức tạp do người bệnh bị phù não kèm xuất huyết dưới nhện lượng nhiều. Điểm đặc biệt nữa là túi phình nằm trên động mạch não lớn, kích thước to, tỷ lệ tái vỡ cao, túi phình lớn gây chèn ép vào thần kinh vận nhãn nên cần loại bỏ ra khỏi hệ thống mạch máu càng sớm càng tốt.
![]() |
| Điểm phình mạch máu não bị vỡ qua chụp mạch - Ảnh BVCC |
Người bệnh cần lưu ý, khi túi phình động mạch não đã vỡ, tỷ lệ tử vong do xuất huyết lần đầu dao động từ 10-15%, tỷ lệ tử vong khi tái vỡ lần hai tăng cao, nếu không được điều trị tỷ lệ tử vong trong tháng đầu tiên lên đến 50%. Do vậy, việc phát hiện, chẩn đoán và điều trị sớm giúp giảm tỷ lệ tử vong và di chứng thần kinh.”
Sau 2 giờ phẫu thuật, ekip đã can thiệp thành công, túi phình động mạch não được loại bỏ hoàn toàn ra khỏi tuần hoàn mạch máu não, giải phóng chèn ép thần kinh vận nhãn của người bệnh. Hậu phẫu, bệnh nhân tỉnh, không yếu liệt, không dấu thần kinh sọ, vết thương khô lành tốt, không sốt và sớm trở lại sinh hoạt bình thường.
Túi phình mạch máu não là tình trạng mạch máu trong não bị phình ra tại một ví trí nào đó, có hình dạng giống như một chiếc túi. Khi túi phình mạch máu não bị vỡ, người bệnh phải đối mặt với những hậu quả nghiêm trọng đến tính mạng như đột quỵ xuất huyết não, dãn não thất, co thắt mạch, động kinh, hôn mê, thậm chí tử vong.
“Người bệnh khi có những dấu hiệu như đau đầu đột ngột, đau đầu dai dẳng kèm đau cổ, cứng cổ,...cần đến cơ sở y tế uy tín để kiểm tra sức khỏe và điều trị kịp thời, tránh các biến chứng nguy hiểm.” - Bác sĩ Vũ cũng khuyến cáo

