Sức khoẻ 360

Đột ngột choáng váng, bệnh nhân hôn mê nguy kịch do xuất huyết não

Bệnh viện Đa khoa Quảng Ninh đã kết hợp 2 kỹ thuật lấy máu tụ nội sọ và kẹp phình mạch não bằng clip trong một cuộc mổ kéo dài 7 tiếng để cứu bệnh nhân bị xuất huyết não nặng, hôn mê, liệt nửa người và có túi phình mạch não lớn.

Gia đình cho biết, bệnh nhân Trần A D. (52 tuổi, Bình Liêu, Quảng Ninh) đột ngột choáng váng, yếu nửa người phải, nói khó nên được đưa vào TTYT huyện thăm khám, nghi ngờ xuất huyết não nên đã nhanh chóng sơ cứu và lập tức chuyển về Bệnh viện Đa khoa tỉnh xử trí.

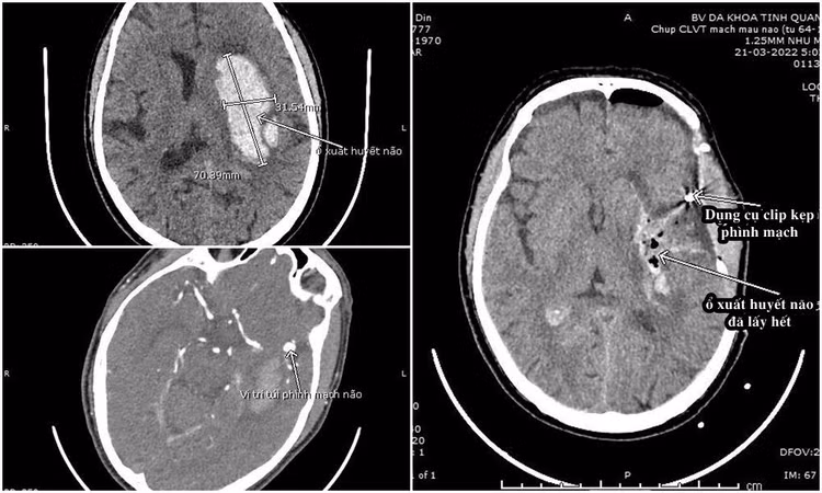
Bệnh nhân vào viện trong tình trạng hôn mê, glasgow 12 điểm, liệt nửa người phải. Kết quả chụp cắt lớp vi tính phát hiện ổ xuất huyết lớn bán cầu trái, kích thước khoảng 70x35mm gây đè đẩy đường giữa 8mm. Đồng thời, phát hiện thêm túi phình động mạch não giữa trái, kích thước 5,6x7,1 mm, cổ túi phình 3,3mm.

Các bác sĩ quyết định kết hợp hai phẫu thuật vi phẫu kẹp túi phình động mạch não giữa và vi phẫu thuật lấy ổ máu tụ lớn trong cùng cuộc mổ để cứu bệnh nhân.

vi-phau.jpg
Hình ảnh phim chụp của bệnh nhân trước và sau phẫu thuật

Cuộc mổ kéo dài gần 7 tiếng căng thẳng đã diễn ra thành công.

Sau 1 tuần theo dõi và điều trị tích cực, bệnh nhân đã tỉnh táo, sức khỏe ổn định, ăn uống được và đang tập phục hồi chức năng.

vi-phau-lay-mau.jpg
Bệnh nhân  đang phục hồi  sau phẫu thuật

BS Đinh Văn Triệu, khoa Phẫu thuật Thần kinh Cột sống, Bệnh viện Đa khoa tỉnh cho biết, trường hợp bệnh nhân D. phức tạp do ổ xuất huyết lớn chèn ép gây tổn thương nhu mô não và phát hiện một túi phình động mạch não giữa dọa vỡ nguy hiểm.

Kết hợp 2 phẫu thuật trong cùng một cuộc mổ là hướng xử trí tối ưu và khả thi nhất, vừa giải quyết được tình trạng chảy máu não cấp tính, vừa ngăn chặn được nguy cơ vỡ túi phình mạch, giúp người bệnh mau phục hồi.

Theo BS Nguyễn Tiến Dũng, Trưởng khoa Phẫu thuật Thần kinh – Cột sống, Bệnh viện Đa khoa tỉnh, chỉ định phẫu thuật kẹp túi phình động mạch não vẫn luôn được cân nhắc tùy từng bệnh cảnh và nhu cầu của người bệnh, nhằm mở rộng cửa sổ điều trị cho những trường hợp dị dạng động mạch não từ thể nhẹ đến nặng, từ đó đem lại hiệu quả điều trị khả quan nhất cho người bệnh.

back to top