Các bác sĩ Bệnh viện Hữu nghị Việt Tiệp vừa thực hiện thành công ca phẫu thuật u màng não có kích thước khổng lồ cho người bệnh N.V.C, 62 tuổi ở Hải Phòng.
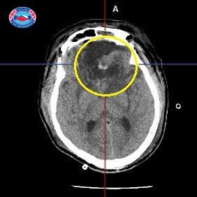
Người bệnh vào viện với tình trạng đau đầu, chóng mặt, buồn nôn. Trước đó, người bệnh chưa phát hiện bệnh mạn tính cũng như tiền sử gia đình khỏe mạnh. Sau khi được thực hiện các xét nghiệm lâm sàng cần thiết, chụp cắt lớp vi tính sọ não kết quả cho thấy người bệnh có một khối u màng não sát xương vùng trán với kích thước khổng lồ 12 x 10 x 8cm.
![]() |
| Chụp cộng hưởng từ sọ não của người bệnh |
Nhận thấy đây là một ca bệnh khó: khối u não kích thước rất lớn, có mật độ chắc, dính chặt vào màng cứng và chân xoang tĩnh mạch dọc trên và nền sọ. Khối u tăng sinh mạch nhiều, đẩy giao thoa thị giác ra sau, chèn ép dây thần kinh và động mạch cảnh trong 2 bên. Sau khi hội chuẩn giữa các bác sĩ chuyên khoa, người bệnh được tiến hành phẫu thuật vi phẫu lấy u não nền sọ.
Ê kíp các bác sĩ Khoa Phẫu thuật Sọ não – Cột sống đã tiến hành mở xương sọ, màng cứng, bóc tách vỏ não để lộ khối u, sau đó sử dụng kính vi phẫu lấy toàn bộ khối u ra ngoài, đảm bảo an toàn cho vùng não lành, không làm tổn thương tới các tổ chức thần kinh lân cận. Cuộc phẫu thuật đã diễn ra thành công, sau phẫu thuật, người bệnh được chuyển về phòng theo dõi và dần phục hồi sức khỏe.
![]() |
| Người bệnh đã hồi phục sau phẫu thuật |
Hiện nay, Bệnh viện Hữu nghị Việt Tiệp đã ứng dụng hệ thống định vị thần kinh trong mổ và kính vi phẫu trong phẫu thuật những khối u vùng nền sọ, các khối u nhỏ nằm sâu trong não mà không gây các tổn thương não lành xung quanh giúp nâng cao hiệu quả, chất lượng điều trị cho người bệnh.
Việc làm chủ được phẫu thuật vi phẫu sọ não qua kính hiển vi đã giúp mở ra cơ hội cho người bệnh được thụ hưởng các dịch vụ y tế tốt nhất, được điều trị ngay tại Hải Phòng mà không phải chuyển tuyến trên, giúp giảm bớt thời gian và chi phí điều trị cũng như thêm tin tưởng vào năng lực chuyên môn, trang thiết bị hiện đại của Bệnh viện.
TS.BS Đặng Việt Sơn (Phó trưởng Khoa Phẫu thuật Sọ não – Cột sống, bệnh viện Hữu Nghị Việt Tiệp, Hải Phòng)

