Sức khoẻ 360

Điều trị ung thư phổi di căn não

Di căn não là một biến chứng thường gặp trong nhiều loại ung thư, nhưng đặc biệt phổ biến ở những bệnh nhân bị ung thư phổi. Khoảng 15 - 20% bệnh nhân ung thư phổi phát triển di căn não. Tỷ lệ di căn não não cao hơn ở ở bệnh nhân có đột biến gene EGFR và tái sắp xếp ALK, trong đó 50 - 60% di căn não trong quá trình bệnh.

Di căn não ngày càng tăng

Ung thư di căn não là khối u ở não phổ biến nhất ở người lớn, chiếm 1/2 số u não. Tỷ lệ di căn não ngày càng tăng, do cả việc cải thiện khả năng phát hiện các di căn nhỏ bằng chụp cộng hưởng từ (MRI) và kiểm soát bệnh ngoài não tốt hơn nhờ điều trị toàn thân được cải thiện

Ở người lớn, các khối u nguyên phát phổ biến nhất di căn não là ung thư biểu mô bao gồm: Ung thư phổi, vú, thận, đại trực tràng và ung thư hắc tố... Di căn não cần được nghĩ tới ở tất cả các bệnh nhân ung thư xuất hiện các triệu chứng thần kinh và tâm thần bất thường:

1. Đau đầu (40 - 50% bệnh nhân): Vị trí thường 2 bên trán, nặng hơn ở bên có u não. Đau đầu tăng khi thay đổi tư thế, khi nôn, ho, hắt hơi.

2. Rối loạn thần kinh khu trú (20 – 40%): Liệt, tê nửa người…

3. Rối loạn chức năng nhận thức (30 – 35%): Rối loạn chức năng trí nhớ, thay đổi tâm trạng, tính cách...

4. Co giật: Co giật mới khởi phát xuất hiện 10 – 20%.

5. Đột quỵ: Chiếm 5 - 10% do chảy máu trong u, tăng đông máu, u xâm lấn hoặc chèn ép mạch máu, tắc mạch do tế bào ung thư...

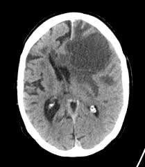
ung-thu-phoi-di-can-nao-1.jpg
Khối u di căn não.

Điều trị K phổi di căn não:

Đối với bệnh nhân có khối u não lớn gây ra triệu chứng nặng hoặc nguy cơ gây thoát vị: Ưu tiên phẫu thuật, điều trị toàn thân sau đó phụ thuộc vào đặc điểm phân tử của khối u. Đối với bệnh nhân không có triệu chứng nặng hoặc nguy cơ thoát vị: Việc điều trị phụ thuộc vào bệnh nhân có đột biến gene và có sẵn thuốc ức chế tyrosine kinase (TKI) hay không.

1. Đối với bệnh nhân có đột biến gene EGFR:

- Đối với bệnh nhân di căn não, nên điều trị ban đầu bằng osimetinib thay vì các thuốc TKIs thế hệ 1, 2 ( Erlotinib, Gefitinib, Afatinib) hay hóa chất.

- Đối với bệnh nhân đang dùng thuốc TKI EGFR thế hệ 1, 2 mà tiến triển cả trên não hoặc ngoài não: Sinh thiết mô hoặc sinh thiết lỏng để tìm đột biến kháng thuốc T790M. Nếu có đột biến T790M, điều trị osimetinib. Nếu T790M(-), xạ trị não + hóa chất.

- Đối với bệnh nhân chỉ tiến triển di căn não: Thay thuốc TKIs EGFR thế hệ 1, 2 bằng osimetinib. Một cách khác là xạ trị não + tiếp tục thuốc TKIs EGFR thế hệ 1,2.

2. Đột biến tái sắp xếp ALK:

- Điều trị ban đầu bằng alectinib hoặc brigatinib. Nếu không có alectinib hoặc brigatinib, thay thế bằng ceritinib.

- Trong trường hợp kháng crizotinib, điều trị alectinib hoặc brigatinib thay vì hóa trị,nhưng ceritinib là một lựa chọn thay thế có thể chấp nhận được.

- Nếu đang dùng ceritinib, brigatinib, alectinib tiến triển di căn não: Xạ trị não + điều trị tiếp ceritinib, brigatinib, alectinib hoặc chuyển sang thuốc ALK TKIs thế hệ thứ 3 (lorlatinib).

- Nếu đang dùng ceritinib, brigatinib, alectinib tiến triển di căn não và ngoài não: Chuyển sang lorlatinib. Trình tự điều thuốc TKI (thuốc đích) và biện pháp tại chỗ: Nếu bệnh nhân được phẫu thuật, thuốc đích được dùng sớm nhất là sau phẫu thuật 1 - 2 ngày. Nếu xạ phẫu hoặc xạ trị toàn não: Ngừng thuốc đích, dùng lại khi kết thúc xạ được 1 - 2 ngày.

3. Bệnh nhân không có đột biến gene:

Vì hóa chất ít tác dụng với tổn thương não, vì vậy đối với bệnh nhân ung thư phổi di căn não có thể trạng tốt, không đột biến gene, đa số bệnh nhân được xạ trị não trước + hóa chất toàn thân. Một số trường hợp đặc biệt:

- Ung thư phổi tiến triển ngoài não rầm rộ + di căn não không triệu chứng: Hóa trị trước thay vì xạ trị.

- Đối với bệnh nhân thể trạng kém: Chăm sóc giảm nhẹ, xương sống là thuốc steroid.

- Đối với bệnh nhân có triệu chứng nghiêm trọng hoặc nguy cơ thoát vị: Phẫu thuật

- Xạ phẫu ưu tiên hơn xạ trị toàn não khi tổn thương di căn não giới hạn, kích thước < 3cm.

ThS.BS Trịnh Thế Cường (Khoa Hóa trị liệu, Bệnh viện E T.Ư)

back to top