Sức khoẻ 360

Đi ngoài phân đen bệnh nhân ung thư dạ dày sốc mất máu, suy đa cơ quan

Biến chứng xuất huyết do các khối u ác tính thường dẫn đến chảy máu trong ổ bụng, có thể gây sốc mất máu ảnh hưởng đến tính mạng bệnh nhân.

Ngày 8/12, Bệnh viện Đa khoa Thủ Đức cho biết, các bác sĩ đơn vị can thiệp mạch máu ngoại biên đã can thiệp nội mạch cầm máu thành công cho bệnh nhân ung thư dạ dày biến chứng xuất huyết nặng.

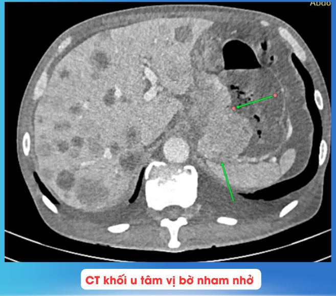
Bệnh nhân C.V.Q (nam, 61 tuổi) nhập viện vì tiêu phân đen, tiền căn ung thư tâm vị dạ dày giai đoạn T4N2M1, di căn phổi – gan – xương (phát hiện từ tháng 6/2025). Bệnh nhân hóa trị được 01 tháng thì ngưng điều trị, sau đó tiếp tục nhập viện và đến nay đã hóa trị đến chu kỳ 4 (FOLFIRI).

u-da-day.png
Ảnh BVCC

Trong quá trình nhập viện, bệnh nhân tiêu phân đen tăng dần, HGB ghi nhận giảm từ 7 -> 3.3 g/dl, BN được chỉ định truyền máu và nội soi dạ dày ghi nhận: sang thương chồi sùi, chiếm hết chu vi chỗ nối thực quản - dạ dày gây hẹp lòng, máy soi không qua được, mô bở, dễ chảy máu, ống soi không tiến xa được thêm.

Kết hợp thăm khám đánh giá, đây là một trường hợp biến chứng xuất huyết nặng do ung thư tâm vị có thể dẫn đến sốc mất máu suy đa cơ quan. Các bác sĩ hội chẩn đã quyết định tiến hành can thiệp cấp cứu tắc mạch khối u dạ dày cầm máu.

Dưới hướng dẫn của máy DSA, bác sĩ đã tiến hành chọn lọc đến nhánh nuôi khối u dạ dày, sau đó đã bơm tắc hoàn toàn nhánh này ngăn chặn việc xuất huyết. Bệnh nhân được tiếp tục theo dõi, sau 3 ngày bệnh nhân đã tiêu phân vàng, HGB tăng từ 3.3-> 4.7 -> 5.8-> 6 ->7.7 g/dl.

u-da-day-1.png
Hình ảnh mạch máu trước và sau can thiệp - Ảnh BVCC

BSCKI Nguyễn Thanh Long, Trưởng đơn vị Can thiệp mạch máu ngoại biên cho biết: “Biến chứng xuất huyết do các khối u ác tính là một biến chứng thường dẫn đến chảy máu trong ổ bụng có thể gây sốc mất máu ảnh hưởng đến tính mạng bệnh nhân. Các khối u tăng sinh mạch máu quá mức có thể gây vỡ các mạch máu này dẫn đến tình trạng xuất huyết ồ ạt.

Trước đây phẫu thuật thường được chỉ định cho các trường hợp này, ngày nay với sự phát triển của kỹ thuật can thiệp nội mạch với hướng dẫn của DSA thì việc xử trí các biến chứng này mang lại hiệu quả rõ rệt đồng thời giảm thời gian thủ thuật cũng như thời gian nằm viện cho bệnh nhân”.

Bệnh viện Đa khoa Thủ Đức là bệnh viện tuyến chuyên sâu đã triển khai kỹ thuật can thiệp mạch tạng từ năm 2016. Đến nay, đơn vị đã thực hiện can thiệp cho hơn 500 người bệnh với nhiều kỹ thuật chuyên sâu, góp phần nâng cao hiệu quả điều trị, mở ra thêm cơ hội sống cho người bệnh nặng.

back to top