Sức khoẻ 360

Đi khám vì đau bụng, được chẩn đoán viêm túi thừa đại tràng

Đau bụng quanh rốn và mạn sườn phải, người đàn ông 58 tuổi (Hà Nội) đi khám được bác sĩ chuẩn đoán mắc viêm túi thừa đại tràng.

Mới đây, Phòng khám Đa khoa Medlatec Thanh Xuân đã tiếp nhận bệnh nhân N.M.D 58 tuổi, (Hà Nội) đến khám trong tình trạng đau bụng âm ỉ quanh rốn và mạn sườn phải, kèm theo đại tiện phân lỏng 1–2 lần/ngày.

Theo lời bệnh nhân, các triệu chứng xuất hiện cách đây 3 ngày, đau âm ỉ kéo dài, thỉnh thoảng đau từng cơn. Người bệnh không sốt, không buồn nôn, không nôn. Đáng chú ý, bệnh nhân có tiền sử tăng huyết áp đang điều trị ổn định và dị ứng hải sản, trứng. Gia đình không có ai mắc bệnh tiêu hóa.

Lo lắng triệu chứng mới không liên quan đến bệnh nền, bệnh nhân đã đến thăm khám tại Medlatec Thanh Xuân. Qua khám lâm sàng, ThS.BSNT Nguyễn Thị Thanh Tâm, Chuyên khoa Tiêu hóa, ghi nhận bụng mềm, ấn đau vùng hố chậu phải nhưng không có phản ứng thành bụng hay dấu hiệu viêm phúc mạc rõ ràng.

chup-ct.png
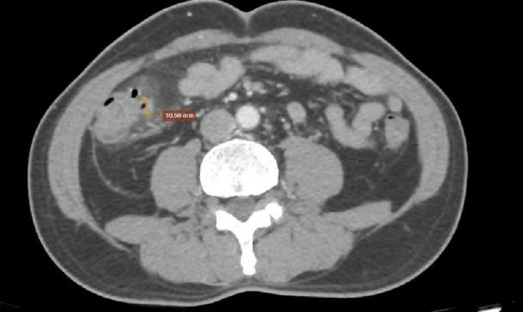
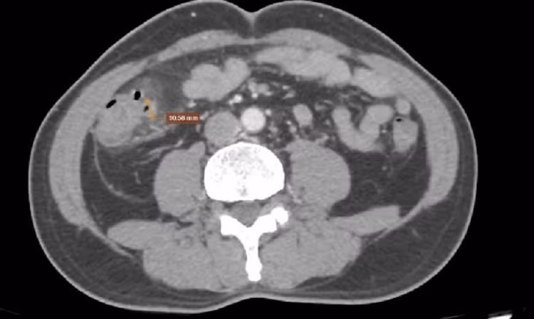
Chụp CT ổ bụng cho hình ảnh đại tràng phải có vài túi thừa, lớn nhất đường kính 10.5mm. Ảnh BVCC

Để xác định chính xác nguyên nhân, bác sĩ chỉ định thực hiện một số xét nghiệm và chẩn đoán hình ảnh. Xét nghiệm máu: CRP tăng cao 14.02 mg/L (bình thường 0–5 mg/L), gợi ý viêm nhiễm cấp.

Siêu âm ổ bụng: Có nang thận phải 7mm, sỏi thận phải 4mm, dày thành và thâm nhiễm mỡ quanh đại tràng lên.

Chụp CT ổ bụng: Phát hiện vài túi thừa ở đại tràng phải (lớn nhất 10.5mm), thành đại tràng dày nhẹ, thâm nhiễm mỡ quanh đại tràng, dày phúc mạc kèm hạch mạc treo (<6mm), ít dịch vùng tiểu khung, đồng thời phát hiện sỏi và nang thận phải. Sau khi có kết quả, bác sĩ xác định bệnh nhân bị viêm túi thừa đại tràng phải kèm theo một số bệnh lý về thận. Người bệnh được tư vấn điều chỉnh chế độ ăn uống, dùng thuốc điều trị viêm và theo dõi định kỳ.

Theo ThS.BSNT Nguyễn Thị Thanh Tâm, túi thừa đại tràng là những túi nhỏ hình thành tại thành ruột già do thoát vị lớp niêm mạc và dưới niêm mạc qua những điểm yếu, thường là nơi mạch máu xuyên qua thành ruột.

Tình trạng viêm túi thừa thường diễn tiến âm thầm với các triệu chứng không rõ ràng như đau bụng âm ỉ, sốt nhẹ, thay đổi thói quen đi tiêu – dễ bị nhầm lẫn với rối loạn tiêu hóa thông thường. Tuy nhiên, nếu không được phát hiện và điều trị sớm, bệnh có thể gây ra các biến chứng nặng như: áp xe quanh đại tràng, thủng túi thừa, viêm phúc mạc, tắc ruột, rò ruột, chảy máu tiêu hóa.

Việc chẩn đoán chính xác viêm túi thừa đòi hỏi phải kết hợp giữa khám lâm sàng, xét nghiệm máu, nội soi đại tràng và đặc biệt là chụp CT ổ bụng – phương pháp không chỉ giúp phát hiện túi thừa mà còn đánh giá mức độ viêm và các biến chứng liên quan.

Bác sĩ khuyến cáo, người bệnh có triệu chứng nghi ngờ như đau bụng kéo dài không rõ nguyên nhân, rối loạn đại tiện, nên đến cơ sở y tế uy tín để được thăm khám sớm, tránh tự điều trị tại nhà gây chậm trễ và làm bệnh chuyển nặng.

back to top