Đau tức cánh tay phát hiện u rất hiếm gặp
Khối u ở xương sườn là một tình trạng hiếm gặp, với tỷ lệ mắc dao động khoảng từ 3 – 8% khối u xương tùy loại, trong đó các tổn thương u xương xuất hiện ở xương sườn số 1 là đặc biệt hiếm gặp, hiện chưa có phương pháp phẫu thuật tiêu chuẩn nào được thiết lập. Bằng tất cả kinh nghiệm, sự chuẩn bị kỹ càng, ca phẫu thuật diễn ra thành công dù gặp nhiều thách thức, bệnh nhân hiện ổn định sau mổ.
Bệnh nhân Hà Minh V. (nam, 33 tuổi, Cẩm Thủy, Thanh Hóa) đi khám vì đau tức nhẹ vùng vai trái khi vận động cánh tay kèm cảm giác tê bì nhẹ cánh tay trái, khám và chụp cắt lớp vi tính lồng ngực phát hiện u xương sườn kích thước lớn vị trí cung sau xương sườn số 1, u choán gần toàn bộ vùng hõm đỉnh.
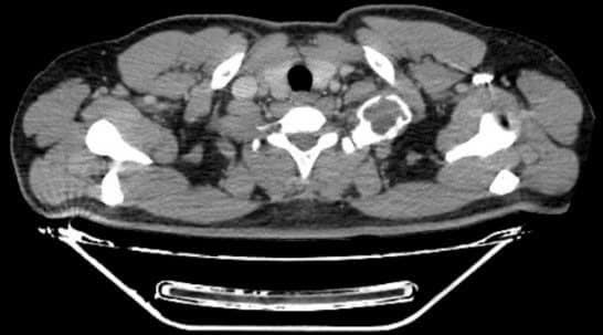
![]() |
| Hình ảnh u cung sau xương sườn số 1 - Ảnh BVCC |
Kết quả chụp cắt lớp vi tính ngực cho thấy hình ảnh khối u cung sau xương sườn số 1 kích thước 5x6cm, choán gần toàn bộ vùng hõm đỉnh bên trái, mặt trước của khối u dính sát phía sau động mạch, tĩnh mạch dưới đòn trái, bờ trên và sau của khối u nằm sát đám rối cánh tay, bờ dưới của khối u dính vào đỉnh phổi trái.
Nhận định về ca bệnh này, TS.BS Nguyễn Khắc Kiểm, Trưởng khoa Ngoại lồng ngực, Bệnh viện K chia sẻ: “Bệnh nhân có khối u xương kích thước lớn, tuy nhiên u nằm ở vị trí cung sau và chiếm toàn bộ xương sườn số 1, do vị trí giải phẫu xương sườn số 1 và cấu trúc liên quan (cơ, mạch máu, thần kinh) nên việc đưa ra phương án lựa chọn đường tiếp cận u, cắt u sao cho thuận lợi, triệt căn nhất và tránh được các tai biến như chảy máu, liệt cánh tay trái là vấn đề rất khó khăn.
![]() |
| Hình ảnh u cung sau xương sườn số 1. |
Với tỷ lệ u xương tại xương sườn số 1 là rất hiếm gặp nên chưa có phương pháp phẫu thuật tiêu chuẩn nào được thiết lập. Với u xương lành tính nói chung, việc phẫu thuật là phương pháp điều trị triệt căn.
Đối với các u xương ở xương sườn số 1 là cực hiếm gặp, u to gây chèn ép vào bó mạch máu và đám rối thần kinh cánh tay sẽ gây ra các biến chứng nghiêm trọng như hội chứng lỗ thoát ngực. Chúng tôi đã hội chẩn, đưa ra nhiều phương án để cân nhắc kỹ càng sau đó tư vấn cho người bệnh”.
Ca mổ nhiều thách thức được thực hiện cẩn trọng
Bệnh nhân được gây mê toàn thân bằng ống nội khí quản 2 nòng Carlens, thiết lập các đường truyền tĩnh mạch trung tâm và huyết áp động mạch xâm lấn để dự trù tình huống tai biến chảy máu và mổ trong tư thế nằm nghiêng 90 độ.
Các bác sĩ Khoa Ngoại lồng ngực, Bệnh viện K đã tiến hành cắt bỏ khối u xương sườn qua đường mở ngực trước bên bên trái tại khoang liên sườn số I-II vùng hõm nách. Đây là đường mở khá phức tạp vì khối cơ thành ngực dày, liên quan trực tiếp đến bó mạch dưới đòn và đám rối thần kinh cánh tay.
![]() |
| Ca mổ nhiều thách thức được ê-kíp phẫu thuật cẩn trọng tỉ mỉ - Ảnh BVCC |
TS.BS Nguyễn Khắc Kiểm, Trưởng khoa Ngoại lồng ngực, Bệnh viện K cho biết: “Bệnh nhân được mở ngực khoang liên sườn I-II qua đường trước bên vùng hõm nách trái, cắt qua 1 phần cơ ngực lớn, cơ ngực bé, phẫu tích bộc lộ động mạch và tĩnh mạch dưới đòn trái vào khoang màng phổi trái, vén phổi trái để bộc lộ toàn bộ khối u cung sau xương sườn số 1, khối u xương kích thước lớn cứng chắc choán toàn bộ vùng đỉnh phổi, sát khớp ức đòn trái, phẫu tích bộc lộ đám rối cánh tay.
Do khối u kích thước lớn, khả năng lấy trọn toàn bộ u là rất khó khăn, u với tính chất lành tính nên chúng tôi đã tiến hành lấy u từng phân, cắt bỏ toàn bộ xương sườn số 1 cùng khối u, sau cầm máu kỹ và lau rửa khoang màng phổi, bệnh nhân được đặt 1 dẫn lưu ngực, đóng ngực theo lớp giải phẫu.
Khối u đã được lấy bỏ hoàn toàn. Bệnh nhân được rút dẫn lưu sau 3 ngày. Bệnh nhân sau mổ tay trái không tê bì, vận động bình thường. Kết quả giải phẫu bệnh sau mổ là u xơ xương lành tính.
Qua đây, bác sĩ Bệnh viện K khuyến cáo mỗi người nên chú ý đến thay đổi của cơ thể, sớm nhận biết các dấu hiệu bất thường để thăm khám, điều trị kịp thời, giúp việc điều trị đạt hiệu quả cao nhất.


