Nữ bệnh nhân 40 tuổi vào viện sau khoảng 1 tiếng xuất hiện đau quặn vùng hố chậu phải, quặn từng cơn liên tục không đỡ, tiểu máu, tiểu đỏ. Bệnh nhân cho biết trước trước khi nhập viện trong thời gian dài đã xuất hiện tiểu màu hồng, đau thắt lưng nhiều đợt bên phải nhưng chưa đến bệnh viện thăm khám và tự điều trị tại nhà.
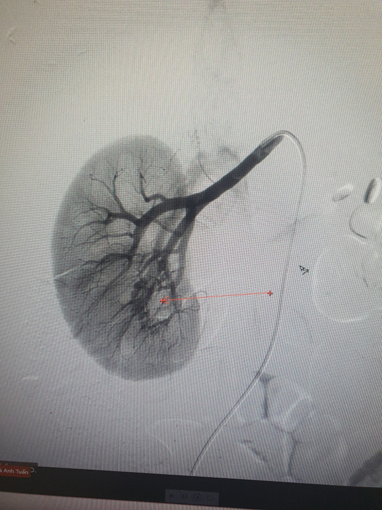
Qua siêu âm các bác sĩ chẩn đoán: bệnh nhân bị giãn thận - niệu quản phải do cục máu đông niệu quản 1/3 trên. Bệnh nhân được chỉ định chụp cắt lớp vi tính ổ bụng có tiêm thuốc cản quang đánh giá thêm. Kết quả cho thấy hình ảnh: thận phải đài bể thận giãn độ II, niệu quản giãn/ máu cục niệu quản 1/3 trên. Theo dõi ổ dị dạng thông động - tĩnh mạch (AVM) cực dưới bể thận phải, kích thước nidus khoảng 27x11mm, dẫn lưu về tĩnh mạch thận.
Các bác sĩ chẩn đoán bệnh nhân bị dị dạng thông động tĩnh mạch (AVM) thận phải. Hội chẩn liên khoa và các chuyên gia Bệnh viện Bạch Mai đánh giá AVM thận phải dọa vỡ nguy hiểm, các bác sĩ quyết định can thiệp nút mạch điều trị khối dị dạng thông động tĩnh mạch thận để tránh biến chứng vỡ mạch khó lường, nguy cơ chảy máu, đe dọa tính mạng người bệnh.
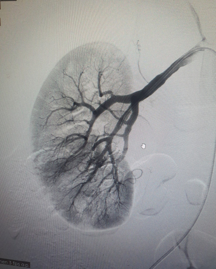
Ca can thiệp được thực hiện tại trung tâm Tim mạch - điện quang can thiệp Bệnh viện Đa khoa Hùng Vương diễn ra thuận lợi, bệnh nhân tỉnh táo trong suốt quá trình can thiệp, không đau đớn. Các bác sĩ đã thực hiện can thiệp nút tắc ổ dị dạng thông động - tĩnh mạch bằng keo sinh học.
![]() |
| Dị dạng động tĩnh mạch (AVM) thận trên phim chụp |
Dị dạng động tĩnh mạch (AVM) thận là sự lưu thông bất thường giữa động mạch và tĩnh mạch mà không qua đường mao mạch. Đây là tổn thương hiếm gặp chiếm 0,04% dân số, giai đoạn đầu khó phát hiện qua siêu âm nên bệnh thường chẩn đoán muộn, nhờ sự phát triển của các phương pháp chẩn đoán hình ảnh hiện đại nên có thể phát hiện sớm dị dạng này.
Trước đây, AVM thận phải thực hiện phẫu thuật cắt thận bán phần hoặc toàn bộ để xử trí ổ dị dạng, tuy nhiên, đây là phương pháp rất nặng nề, bệnh nhân phải trải qua cuộc mổ đau đớn, hồi phục chậm, điều trị kéo dài. Với kỹ thuật can thiệp nút mạch sẽ giúp bảo tồn tối đa nhu mô thận lành, hạn chế thấp nhất biến chứng, bệnh nhân điều trị nhẹ nhàng, hồi phục nhanh, tiết kiệm chi phí và thời gian điều trị.
![]() |
| Thăm khám cho bệnh nhân sau can thiệp |
Triệu chứng chủ yếu của bệnh AVM là bệnh nhân bị đau thắt lưng, nặng hơn là tiểu ra máu do cục máu đông tắc nghẽn trong đường bài xuất. Tiểu máu nhiều có thể đe dọa tính mạng người bệnh. Vì vậy, người dân khi có các triệu chứng: đau thắt lưng, tiểu ra máu… nên đi đến các cơ sở y tế để được thăm khám, chẩn đoán và điều trị kịp thời.

