Sức khoẻ 360

Đau đầu, người phụ nữ bị u khổng lồ ăn mòn xương sọ, đẩy lệch đường não giữa

U màng não thường không có dấu hiệu điển hình, mơ hồ và dễ nhầm lẫn. Khối u phát triển lớn gây đau đầu kéo dài, buồn nôn, choáng váng, suy giảm trí nhớ…

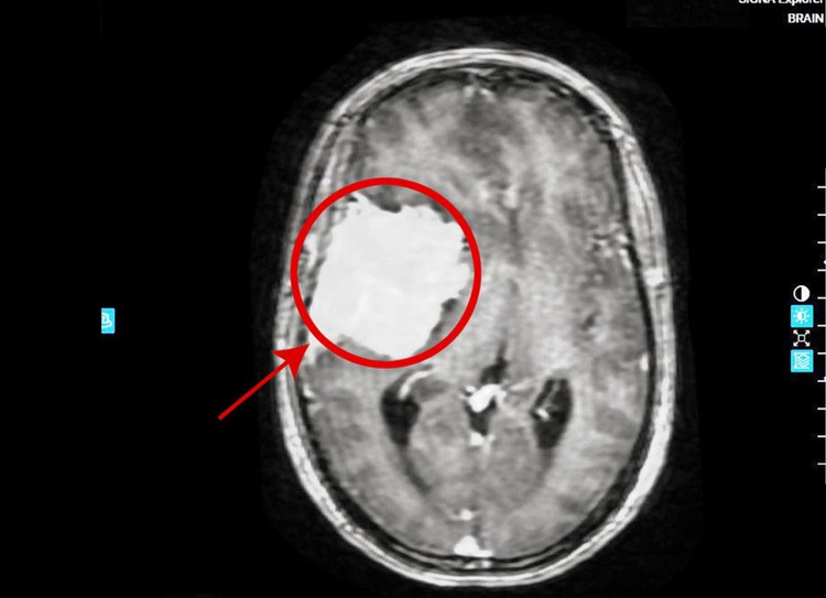
Chị Trang (45 tuổi) đau đầu kéo dài nhiều ngày tưởng do tiền đình nên chủ quan không đi khám. Gần đây triệu chứng đau đầu tiến triển nặng kèm méo miệng, suy giảm ý thức… Người bệnh tới Bệnh viện Đa khoa Tâm Anh khám phát hiện khối u não kích thước 5x7 cm ăn mòn xương sọ, đẩy lệch đường giữa não.

dau-dau-1.jpg
Khối u khổng lồ trong não người bệnh - Ảnh BVCC

TS.BS Nguyễn Đức Anh, Trưởng khoa Ngoại Thần kinh Cột sống, Bệnh viện Đa khoa Tâm Anh Hà Nội chỉ định người bệnh chụp MRI phát hiện khối u não: Kích thước 5x7 cm; Ăn mòn xương sọ, đè đẩy sâu vào cấu trúc não; Làm lệch đường giữa tới 10mm sang bên đối diện.

Người bệnh cần phải nhập viện điều trị ngay. Nếu để muộn, người bệnh có nguy cơ thoát vị não, ảnh hưởng đến trung tâm tuần hoàn và hô hấp trong não gây các di chứng thần kinh không hồi phục hoặc thậm chí tử vong bất kỳ lúc nào.

Tiến sĩ Đức Anh cùng ê kíp tiến hành mở xương sọ, màng cứng, bóc tách vỏ não. Dùng kính vi phẫu Kenivo 900, hệ thống định vị thần kinh Navigation mới nhất. Đây được coi là phương pháp tối ưu cho người bệnh, an toàn, hiệu quả.

Kết thúc ca mổ, toàn bộ khối u được loại bỏ; Các bác sĩ phục hồi cấu trúc giải phẫu của não bằng miếng vá xương sọ nhân tạo; Một ngày sau mổ chị Trang phục hồi tốt, tỉnh táo, xuất viện.

dau-dau1.jpg
TS.BS Đức Anh và ê-kíp phẫu thuật lấy u não cho bệnh nhân - Ảnh BVCC

Theo TS.BS Đức Anh, u màng não thường không có dấu hiệu điển hình, mơ hồ và dễ nhầm lẫn. Khối u phát triển lớn gây ra các triệu chứng, bao gồm đau đầu kéo dài, buồn nôn, choáng váng, suy giảm trí nhớ…

Khi xuất hiện các dấu hiệu này, người bệnh cần nhanh chóng tới cơ sở y tế để kiểm tra và có phương pháp điều trị kịp thời.

Người có nguy cơ cao như trên 40 tuổi; tiền sử gia đình có người từng mắc u não; người từng trải qua xạ trị; người làm việc trong môi trường có bức xạ, điện từ trường, tiếp xúc với thuốc trừ sâu, thuốc nhuộm trong thời gian dài... cần chủ động khám bệnh lý thần kinh 6 tháng một lần.

>>> Mời quý độc giả xem video: Cách thực hành ép tim cứu bệnh nhân ngừng tim

back to top