Sức khoẻ 360

Đau đầu không đi khám, bệnh nhân hôn mê do u não chảy máu

Nhiều loại u não được điều trị sớm, kịp thời, đúng phác đồ, bệnh nhân có thể sống, lao động và làm việc bình thường.

Không điều trị u vỡ nguy kịch

Bệnh viện Đa khoa tỉnh Quảng Ninh vừa tiếp nhận một trường hợp hôn mê sâu nguy kịch do u não chảy máu. Với tinh thần khẩn trương, chuyên nghiệp, các bác sĩ chuyên ngành ngoại thần kinh đã thực hiện mổ cấp cứu vi phẫu lấy khối u não kích thước lớn, kiểm soát chảy máu, cứu sống bệnh nhân trong gang tấc.

Trước đó, bệnh nhân là H.K.L. (54 tuổi) trú tại huyện Tiên Yên, cấp cứu tại Bệnh viện Đa khoa tỉnh Quảng Ninh chiều ngày 4/6 trong tình trạng hôn mê sâu, đồng tử giãn, được sơ cứu đặt nội khí quản tại tuyến dưới. Theo người nhà cho biết, bệnh nhân đã có tiền sử đau đầu kéo dài nhiều năm nhưng không đi khám.

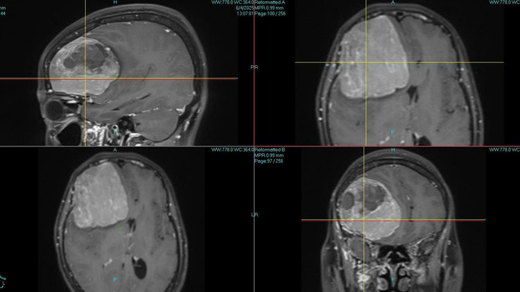
Tối ngày 3/6, các triệu chứng đau đầu, buồn nôn tăng lên nhanh chóng, đến sáng hôm sau bệnh nhân đã lơ mơ, không còn tỉnh táo. Ngay khi nhập viện, các bác sĩ tiến hành chụp cắt lớp vi tính sọ não, phát hiện người bệnh có khối u não kích thước lớn thùy trán phải đang chảy máu.

z6673908690149-f6f3da9f626bb925ba80c2ee5f6de8f3.jpg
Hình ảnh khối u não kích thước lớn chảy máu vùng trán phải của bệnh nhân L. - Ảnh BVCC

Trước tình trạng nguy cấp, các bác sĩ đã tiến hành hội chẩn liên khoa Ngoại thần kinh, Gây mê hồi sức, Chẩn đoán hình ảnh để đánh giá toàn diện tổn thương và thống nhất phương án xử trí tối ưu.

Nhận định đây là ca bệnh nặng, khối u lớn đang xuất huyết gây áp lực nội sọ khiến phù não diện rộng, nếu không can thiệp ngay sẽ đe dọa tính mạng, vì vậy các bác sĩ quyết định mổ cấp cứu, thực hiện vi phẫu lấy u và kiểm soát điểm máu chảy, mục tiêu bảo tồn tối đa các vùng não lành.

Ca mổ cấp cứu do bác sĩ CKII Nguyễn Tiến Dũng, Phó Giám đốc Bệnh viện cùng các bác sĩ khoa Phẫu thuật Thần kinh – Cột sống, Gây mê hồi sức phối hợp thực hiện.

Quá trình phẫu thuật được triển khai hết sức thận trọng. Dự kiến cuộc mổ kéo dài, bệnh nhân được đặt tư thế mổ phù hợp dưới sự theo dõi sát sao của đội ngũ gây mê hồi sức để đảm bảo thông khí và huyết động ổn định trong suốt thời gian ca mổ diễn ra.

Với sự hỗ trợ của hệ thống kính vi phẫu và thiết bị định vị thần kinh Navigation hiện đại, phẫu thuật viên đã tiếp cận tổn thương, loại bỏ máu tụ và bóc tách khối u não kích thước lớn ra ngoài an toàn.

Sau hơn 6 giờ căng thẳng, ca phẫu thuật diễn ra thuận lợi, bệnh nhân được chuyển hồi sức theo dõi tích cực và hiện đã tỉnh, phản xạ tốt.

u-nao-lon-chay-mau.jpg
Kíp phẫu thuật bóc tách khối u não đang chảy máu dưới sự hỗ trợ của kính vi phẫu hiện đại - Ảnh BVCC

BSCKII Nguyễn Tiến Dũng, Phó Giám đốc Bệnh viện Đa khoa tỉnh Quảng Ninh cho biết: “Bệnh nhân L. cấp cứu trong tình trạng nguy kịch, u não phát triển kích thước lớn và đang chảy máu gây phù não diện rộng. Nếu không được can thiệp phẫu thuật kịp thời, nguy cơ tử vong rất cao.

Chúng tôi đã tiến hành vi phẫu u não đường giữa, sử dụng kính vi phẫu kết hợp hệ thống định vị Navigation để sử dụng kính vi phẫu quan sát rõ hơn vị trí khối u, các điểm tiếp giáp xung quanh để bảo tồn các vùng chức năng của vỏ não.

Việc mổ cấp cứu đòi hỏi kíp phẫu thuật phải tính toán chính xác từng thao tác để kiểm soát chảy máu, bảo vệ các cấu trúc thần kinh quan trọng. Sự phối hợp nhịp nhàng giữa các chuyên khoa và hệ thống trang thiết bị hiện đại đã giúp chúng tôi lấy được toàn bộ khối u não lớn đang chảy máu ra ngoài an toàn”.

z6673590604349-f49bc6745de798ed25ce2c84534173f1.jpg
Khối u não lớn được bóc tách ra ngoài thành công sau 6 giờ phẫu thuật - Ảnh BVCC

Điều trị sớm nhiều trường hợp khỏi bệnh

PGS.TS Đồng Văn Hệ, Giám đốc Trung tâm Phẫu thuật Thần kinh, Phó Giám đốc Bệnh viện Hữu nghị Việt Đức cho biết, u não là loại bệnh hay gặp trong các khoa như: khoa nội thần kinh, khoa ngoại thần kinh, khoa ung bướu, khoa xạ trị…

Mỗi năm có 190.000 bệnh nhân u não nguyên phát mới xuất hiện được chẩn đoán và điều trị tại Hoa Kỳ.

Hiện nay hơn 688.000 người Mỹ đang sống với u não, trong số đó 130.000 u não ác tính và 550.000 u não lành tính. Rất nhiều bệnh nhân ung thư di căn não. Khoảng 20-40% các loại ung thư có di căn não. Con số tương tự tại Canada là 10.000 bệnh nhân.

Tại Việt Nam, chúng ta không có số liệu chính thức chẩn đoán khối u não và tỷ lệ người bệnh mắc u não mỗi năm. Tính riêng Bệnh viện Hữu nghị Việt Đức, mỗi năm nhận khám và điều trị hơn 2.500 người bệnh u não.

U não có thể điều trị được. Nhiều loại u não được điều trị sớm, kịp thời, đúng phác đồ, bệnh nhân có thể sống, lao động và làm việc bình thường. Điều trị u não có ba phương pháp chính gồm: phẫu thuật, xạ trị và hóa trị. Tùy từng trường hợp cụ thể, bác sĩ sẽ quyết định phương pháp điều trị nào hiệu quả nhất, hoặc có khi phải phối hợp nhiều phương pháp với nhau.

PGS.TS Đồng Văn Hệ nhấn mạnh, một số bệnh nhân u não có thể sống khỏe mạnh bình thường và tuổi thọ không giảm đáng kể sau khi được điều trị u não. Một số khác có thể sống thêm vài tháng hoặc vài năm.

u-nao-lon-2.jpg
Kính vi phẫu phẫu thuật u não - Ảnh BVCC

Một số u não phát triển rất nhanh, khối u lớn nhanh sau vài tuần hoặc vài tháng. Một số trường hợp khác phát triển rất chậm, mỗi năm tăng thêm 2-3mm. U não có thể tái phát sau điều trị, nhưng cũng có loại không tái phát hoặc u không phát triển to hơn sau nhiều năm.

Chính vì vậy, chúng ta phải được khám, tư vấn và theo dõi u não liên tục, thường xuyên. Thời gian sống thêm sau khi điều trị u não phụ thuộc vào rất nhiều yếu tố như: loại u, tuổi bệnh nhân, vị trí, kích thước, phương pháp điều trị…

Tại Mỹ, khoảng 20% bệnh nhân u não ác tính sống thêm trên 5 năm sau khi điều trị. Ở trẻ em, tỷ lệ u não ác tính sống thêm trên 5 năm cao tới 72 %.

Trẻ em dưới 3 tuổi có thời gian sống thêm sau điều trị ngắn hơn so với trẻ em từ 3-16 tuổi. Trong số các loại u não, u tế bào thần kinh đệm đa hình thái ác tính (glioblastoma multiforme) là loại có thời gian sống thêm sau mổ ngắn nhất.

Đối với u màng não, người bệnh có thể được chữa khỏi hoàn toàn nếu khối u lành tính, phẫu thuật sớm và cắt bỏ hoàn toàn. Người bệnh có thể sống bình thường. Vì vậy, khi phát hiện u não cần đi điều trị ở cơ sở chuyên khoa.

back to top