Sức khoẻ 360

Đau bụng thoáng qua, không ngờ ung thư 'ẩn mình' ở dạ dày, đại tràng

Ung thư tiêu hóa giai đoạn sớm thường không gây đau, không có biểu hiện rõ ràng, người bệnh vẫn sinh hoạt bình thường.

Chỉ là những cơn đau bụng âm ỉ, thoáng qua, người đàn ông 68 tuổi ở phường Uông Bí (Quảng Ninh) không ngờ đó lại là dấu hiệu của một tình trạng cực kỳ hiếm gặp, nguy hiểm: ung thư đồng thời ở hai cơ quan tiêu hóa quan trọng – dạ dày và đại tràng.

Qua thăm khám và các xét nghiệm chuyên sâu, các bác sĩ phát hiện người bệnh mắc ung thư đồng phát, một hiện tượng chỉ gặp ở 0,7–3,5% người bệnh ung thư dạ dày.

an-minh.jpg
Kỹ thuật viên thao tác trên máy nhuộm hóa mô miễn dịch tự động để phát hiện nguồn gốc khối u và đột biến gen sửa chữa ADN - Ảnh BVCC

Theo BSCKI. Phạm Thị Hoa, Khoa Giải phẫu bệnh, trong số các ung thư đồng phát, ung thư đại trực tràng là loại thường gặp nhất. Ở góc độ sinh học phân tử, ung thư đồng thời nhiều cơ quan có thể liên quan đến bất ổn gen và các đột biến di truyền tích lũy theo thời gian.

Ca bệnh này là minh chứng rõ nét cho sự âm thầm, khó lường của ung thư đường tiêu hóa – khi bệnh tiến triển mà người bệnh gần như không hay biết.

Sau phẫu thuật, kết quả giải phẫu bệnh cho thấy ung thư biểu mô tuyến tại cả hai vị trí, bệnh đã bước sang giai đoạn muộn. Lúc này, tổn thương lan rộng, việc điều trị triệt căn trở nên khó khăn hơn rất nhiều.

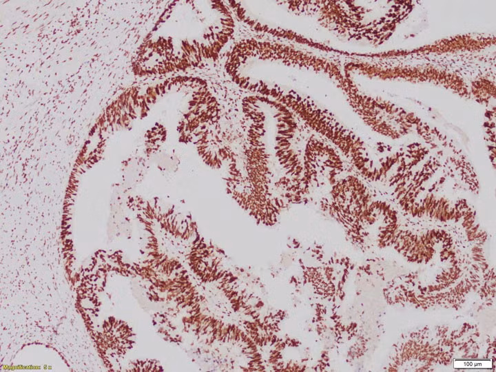
ung-thu-an.jpg
Hóa mô miễn dịch phát hiện nguồn gốc khối u - Ảnh BVCC

Điều đáng lo ngại là ung thư tiêu hóa giai đoạn sớm thường không gây đau, không có biểu hiện rõ ràng.

Người bệnh vẫn sinh hoạt bình thường cho đến khi xuất hiện các dấu hiệu như đau bụng kéo dài, sụt cân, rối loạn tiêu hóa… thì việc điều trị bệnh đã không còn ở “thời điểm vàng”.

Ca bệnh hiếm gặp này không chỉ là một trường hợp lâm sàng đặc biệt, mà còn là lời cảnh tỉnh mạnh mẽ cho tất cả chúng ta.

Chỉ một lần nội soi dạ dày – đại tràng định kỳ có thể giúp phát hiện ung thư khi còn rất sớm.

"Phát hiện sớm – điều trị sớm chính là chìa khóa để nâng cao cơ hội sống và chất lượng cuộc sống cho người bệnh. Đừng chờ đến khi có triệu chứng. Hãy chủ động tầm soát ngay hôm nay”, BSCKI. Phạm Thị Hoa khuyên.

>>> Mời quý độc giả xem video: Sau 40 tuổi, cơ thể dễ hình thành cục máu đông nếu chế độ ăn thiếu thực phẩm hỗ trợ tuần hoàn.

back to top