Bệnh nhân H. T. L (42 tuổi, Long An) bị đau bụng vùng hạ vị kéo dài hơn 7 tháng nay, sờ thấy cục u ở vùng bụng dưới bên trái. Mặc dù chị L đã đi khám nhiều nơi nhưng không được chẩn đoán đúng bệnh, chỉ dùng thuốc điều trị nhưng không thuyên giảm.
Tại Khoa Ngoại Tổng quát Bệnh viện Đa khoa Xuyên Á, các bác sĩ thăm khám sờ thấy khối sưng đau vùng hố chậu trái kích thước 4cm. Chụp CT - scanner phát hiện áp xe thành bụng, nội soi đại tràng ghi nhận sẹo loét trực tràng.
Người bệnh được chẩn đoán thủng túi thừa đại tràng sigma rò ra ngoài thành bụng kết hợp rò trực tràng - âm đạo, đây được đánh giá là trường hợp hiếm gặp.
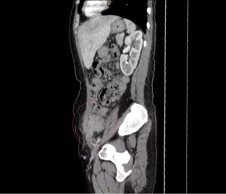
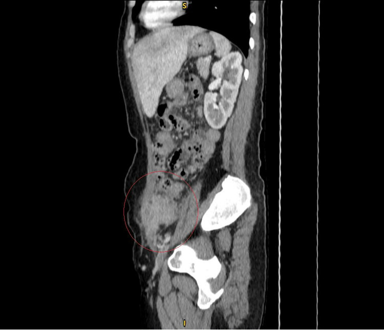
![]() |
| Hình ảnh rò túi thừa trên phim chụp - Ảnh BVCC |
Đáng chú ý ở trường hợp bệnh nhân này là các biểu hiện lâm sàng không điển hình nên các bác sĩ rất dễ bỏ sót bệnh, dẫn đến chẩn đoán khó khăn. Vì lẽ đó mà trong vòng gần một năm nay, mặc dù người bệnh đã thăm khám nhiều nơi, tiêu tốn tài chính công sức nhưng vẫn không giải quyết hiệu quả bệnh.
Cho đến khi người bệnh đến Khoa Ngoại Tổng Quát Bệnh viện Đa khoa Xuyên Á, với kinh nghiệm lâm sàng, sự kết hợp các phương tiện chẩn đoán hình ảnh tiên tiến, các bác sĩ đã chẩn đoán chính xác và điều trị triệt để bệnh.
Sau khi hội chẩn, các bác sĩ Khoa Ngoại Tổng Quát thống nhất lên chương trình phẫu thuật nội soi cắt đại tràng sigma-trực tràng cho người bệnh.
ThS.BS.CKII Trần Văn Minh Tuấn, Trưởng Khoa Ngoại Tổng Quát Bệnh viện Đa khoa Xuyên Á cho biết: “Đây là ca phẫu thuật phức tạp, đòi hỏi kỹ thuật cao để xử lý cả hai đường rò. Trong quá trình mổ, ngoài tổn thương túi thừa đại tràng sigma rò vào thành bụng gây áp xe thành bụng, ekip mổ còn ghi nhận đoạn đại tràng sigma có nhiều túi thừa bị viêm dính với phần phụ, và vách âm đạo, bóc tách khó khăn.
Ekip phẫu thuật viên đã tiến hành cắt đoạn đại tràng có túi thừa thủng và nối hai đầu, tái lập lưu thông ruột. Với phương pháp mổ nội soi ít xâm lấn, giảm đau và sớm hồi phục cho người bệnh, đồng thời điều trị triệt để và cải thiện chất lượng sống cho bệnh nhân.”
Sau phẫu thuật, người bệnh hết đau bụng, trở lại ăn uống, sinh hoạt bình thường và được xuất viện sau 7 ngày điều trị. Chị L. và gia đình vô cùng vui mừng vì đã “gặp đúng thầy chữa đúng bệnh”, giúp chị có cơ hội trở lại cuộc sống bình thường sau gần một năm “vật vã” với bệnh.
