Sức khoẻ 360

Đau bụng dưới 10 năm không ngờ do giãn tĩnh mạch buồng trứng

Phụ nữ khi có triệu chứng đau bụng kéo dài chưa tìm được nguyên nhân nên đến cơ sở y tế có đủ chuyên khoa, cả Điện quang can thiệp, để được chẩn đoán chính xác.

Một phụ nữ (55 tuổi) đến Bệnh viện Đại học Y Hà Nội thăm khám do đau bụng dưới mạn tính kéo dài suốt hơn 10 năm, được tiếp nhận và điều trị thành công bằng phương pháp nút mạch qua da.

Trước đó, chị đã đi khám tại nhiều nơi, thực hiện nhiều xét nghiệm và chẩn đoán hình ảnh như nội soi tiêu hóa, siêu âm tử cung - phần phụ, chụp CT ổ bụng,... nhưng không phát hiện được nguyên nhân.

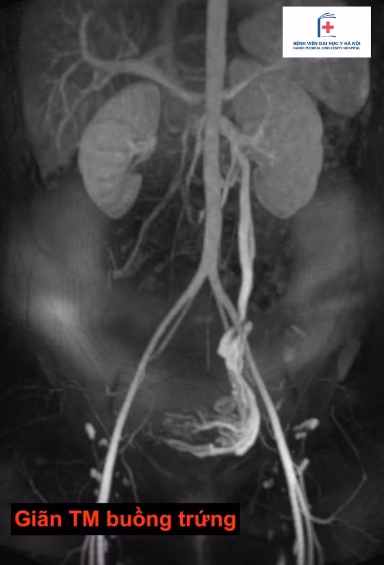
gian-tinh-mach-buong-trung.jpg
Ảnh BSCC

Các cơn đau âm ỉ vùng bụng dưới kéo dài, tăng nặng khi vận động, đứng lâu hoặc vào cuối ngày, gây ảnh hưởng lớn đến chất lượng cuộc sống và sinh hoạt hàng ngày của người bệnh.

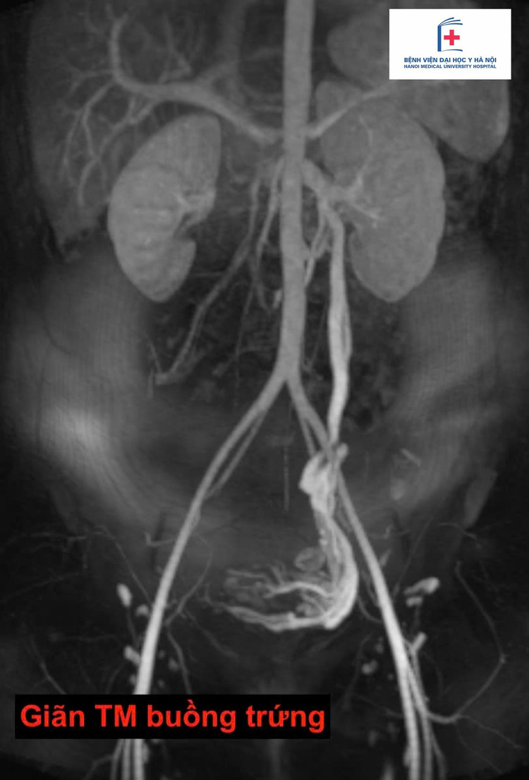
Sau khi chuyển đến chuyên khoa Điện quang can thiệp tại Bệnh viện Đại học Y Hà Nội, người bệnh được chẩn đoán mắc Hội chứng xung huyết vùng chậu (Pelvic Congestion Syndrome) - một bệnh lý do giãn tĩnh mạch buồng trứng, thường bị bỏ sót do biểu hiện không đặc hiệu.

Chẩn đoán được xác định thông qua siêu âm ổ bụng và chụp CT có tiêm thuốc cản quang. Các bác sĩ đã giải thích, tư vấn cho người bệnh về điều trị bằng phương pháp nút mạch qua da - sử dụng dụng cụ can thiệp để bít tắc các tĩnh mạch giãn bất thường, ngăn dòng máu trào ngược gây đau. Sau can thiệp, triệu chứng đau giảm rõ rệt, người bệnh phục hồi nhanh chóng.

506287183-1189359819902131-6831978309968155435-n.jpg
Ảnh BSCC

TS.BS Nguyễn Ngọc Cương, Trưởng khoa Điện quang can thiệp, Bệnh viện Đại học Y Hà Nội cho biết, hội chứng xung huyết vùng chậu thường gặp ở phụ nữ trung niên, đặc biệt ở những người đã từng sinh con.

Triệu chứng điển hình là đau âm ỉ vùng bụng dưới kéo dài, thường lệch trái, đau tăng khi đứng lâu, đi lại nhiều, hoặc vào cuối ngày. Một số trường hợp kèm cảm giác nặng vùng tiểu khung, rối loạn tiểu tiện nhẹ, hoặc khó chịu khi quan hệ.

Do không có dấu hiệu rõ ràng và dễ nhầm lẫn với các bệnh lý tiêu hóa, phụ khoa hay tiết niệu nên hội chứng xung huyết vùng chậu dễ bị bỏ sót nếu không được thăm khám đúng chuyên khoa.

gian-manh-tich-buong-tryung.jpg
Ảnh BSCC

“Phụ nữ khi có triệu chứng đau bụng dưới kéo dài mà chưa tìm được nguyên nhân, người bệnh nên đến cơ sở y tế có đầy đủ các chuyên khoa, bao gồm cả Điện quang can thiệp, để được thăm khám toàn diện và chẩn đoán chính xác”, TS.BS Cương Khuyến cáo.

back to top