Khoa Ngoại tổng quát và khoa Nội soi Bệnh viện Đa khoa Xuyên Á vừa phối hợp thực hiện thành công ca phẫu thuật nội soi tiêu hóa đặt sonde qua u giải áp, giải quyết triệt để tắc ruột do ung thư đại tràng ngang cho một nữ bệnh nhân.
Bệnh nhân là bà N. T .T (51 tuổi, Quận 12), nhập viện trong tình trạng đau bụng quặn thắt từng cơn, kèm bí trung đại tiện. Mấy tháng nay, bà T. thường xuyên đau bụng, chướng bụng nhưng nghĩ đó là cơn đau do ăn uống không tiêu nên bà tự mua thuốc uống tại nhà. Dẫu vậy, bệnh tình vẫn không thuyên giảm nên bà đã đến Bệnh viện Đa khoa Xuyên Á thăm khám.
![]() |
| Thăm khám cho bệnh nhân - Ảnh BVCC |
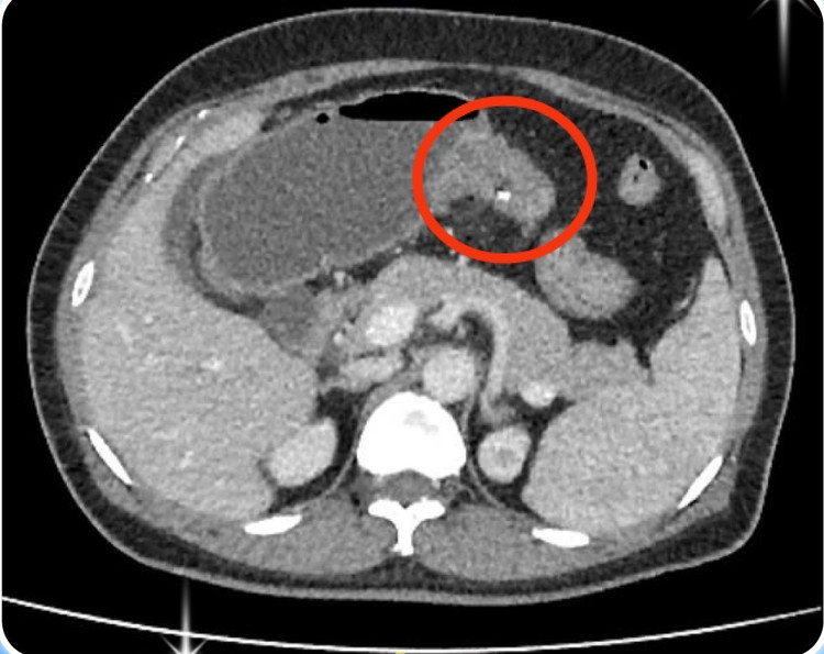
Tại phòng khám Ngoại tổng quát Bệnh viện Đa khoa Xuyên Á, bà T. được thăm khám và chụp CT-scan ổ bụng phát hiện có khối u đại tràng ngang, đây chính là nguyên nhân gây tắc ruột, chướng bụng. Các bác sĩ chỉ định bà T. nhập viện phẫu thuật.
Để tối ưu quá trình điều trị cũng như mang lại sự an toàn, hiệu quả cho bệnh nhân, các bác sĩ khoa Ngoại tổng quát đã hội chẩn với khoa Nội soi thống nhất thực hiện thủ thuật nội soi tiêu hóa đặt sonde qua u giải áp.
Đây là kỹ thuật mới trong điều trị khối u đại trực tràng có biến chứng tắc ruột mà vẫn còn chỉ định phẫu thuật triệt để, chỉ mới được áp dụng ở số ít bệnh viện lớn tại Việt Nam hiện nay.
![]() |
| Ca phẫu thuật cho bệnh nhân - Ảnh BVCC |
Ca mổ được thực hiện bởi các bác sĩ khoa Nội soi và khoa Ngoại tổng quát, dưới sự dẫn dắt của ThS.BS.CKII. Trần Văn Minh Tuấn, Trưởng khoa Ngoại tổng quát Bệnh viện Đa khoa Xuyên Á.
Chia sẻ về ca phẫu thuật này, ThS.BS. Phan Trung Hiếu, khoa Ngoại tổng quát Bệnh viện Đa khoa Xuyên Á cho biết: “Trong giai đoạn cấp cứu tình trạng tắc ruột, chúng tôi tiến hành nội soi tiêu hóa đặt một ống thông chuyên biệt để giải áp đoạn đại tràng phía trên chỗ tắc, tránh tình trạng vỡ ruột.
![]() |
| Hình ảnh CT khối u đại tràng - Ảnh BVCC |
Sau đó bệnh nhân sẽ được tiến hành hồi sức, bù nước dinh dưỡng để chuẩn bị tốt nhất cho một cuộc mổ cắt khối u. Sau một tuần đặt ống thông giải áp, ekip đã tiến hành mổ nội soi, cắt u và tái lặp lưu thông ruột. Chúng tôi ghi nhận ruột của bệnh nhân giảm phù nề nhiều, việc thực hiện miệng nối cũng dễ dàng, an toàn.
![]() |
| Khối ung thư được cắt bỏ - Ảnh bVCC |
Điều này cho thấy phương pháp nội soi tiêu hóa đặt sonde qua u giải áp cũng đạt được hiệu quả tương đương với phương pháp phẫu thuật mở hậu môn nhân tạo trên u giải áp, mặc dù người bệnh chỉ cần trải qua một cuộc mổ”.
Sau hai ngày phẫu thuật, bệnh nhân T. đã trung tiện được, ăn uống ngon miệng và đi lại khỏe mạnh.



