Sức khoẻ 360

Đang khỏe mạnh, 3 tháng u đã phát triển chiếm hết ổ bụng, nặng 5kg

Khối u kích thước khổng lồ xâm lấn đại tràng phải, đè đẩy các tạng khác trong ổ bụng, chưa xâm lấn mạch máu lớn nên có thể cắt bỏ được.

Bệnh viện Ung Bướu Thanh Hoá vừa phẫu thuật thành công khối u GIST khổng lồ của đại tràng phải cho người đàn ông 66 tuổi.

Theo đó, ông T. 63 tuổi tiền sử khoẻ mạnh, vào viện với khối u vùng ổ bụng kích thước rất lớn phát triển nhanh trong chưa đầy 3 tháng. Khi đến với khoa Ngoại Tổng hợp, Bệnh viện Ung bướu Thanh Hoá trong tình trạng khối u khổng lồ chiếm gần hết vùng ổ bụng.

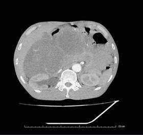
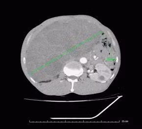
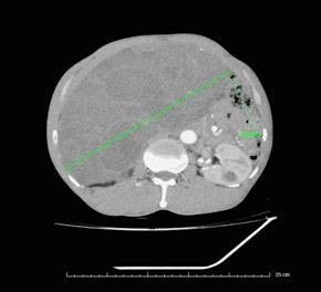
Quá trình chẩn đoán, qua chụp cắt lớp vi tính ổ bụng có hình ảnh khối u dạng đặc chiếm gần hết ổ bụng chủ yếu vùng bụng bên phải, chưa xâm lấn mạch máu lớn. Trên nội soi đường tiêu hoá thì khối u từ ngoài đẩy vào lòng đại tràng lên.

Người bệnh và gia đình được giải thích kỹ về tình trạng bệnh và cần phải phẫu thuật, gia đình không có điều kiện nên đồng ý phẫu thuật tại bệnh viện.

u-git.jpg
u-gist1.jpg
Khối u lớn khoang sau phúc mạc cạnh trước thận phải kích thước 233x191x141mm, bờ gọn, lan sang khoang cạnh trước thận trái, đè ép niệu quản phải gây giãn nhẹ đài bể thận phải, ngấm thuốc sau tiêm - Ảnh BVCC

ThS.BSCKII Viên Đình Bình, Trưởng khoa Ngoại Tổng hợp và ê-kíp phẫu thuật đã tiến hành phẫu thuật cho người bệnh, trong phẫu thuật nhận thấy khối u kích thước khổng lồ xâm lấn đại tràng phải, đè đẩy các tạng khác trong ổ bụng, chưa xâm lấn mạch máu lớn nên có thể cắt bỏ được.

Ê-kíp phẫu thuật đã thống nhất cắt bỏ toàn bộ khối u và đại tràng phải, lập lại lưu thông tiêu hóa bằng cách nối hồi tràng đại tràng ngang ngay trong mổ cho người bệnh.

Khối u sau khi cắt bỏ trọng lượng 5kg. Sau mổ người bệnh được theo dõi, điều trị sát. Bệnh nhân ổn định, phục hồi tốt và xuất viện ngày thứ 7 sau phẫu thuật.

u-gist.jpg
u-git-5.jpg
Khối u sau khi cắt bỏ trọng lượng 5kg - Ảnh BVCC

Kết quả xét nghiệm mô bệnh học và hóa mô miễn dịch sau mổ là u tế bào hình thoi phù hợp với GIST.

GIST là u mô đệm đường tiêu hoá. Đây là loại u mô đệm thường gặp nhất bắt nguồn từ các tế bào Cajal ở khoảng kẽ. U mô đệm đường tiêu hoá chiếm 3% trong các loại ung thư ở dạ dày, xuất hiện bất kỳ vị trí nào của ống tiêu hoá. Khoảng 60-70% xuất hiện ở dạ dày, 20-30% ở tá tràng và ruột non, đại trực tràng là 5% và các bộ phận khác dưới 5%.

Phần lớn GIST không gây triệu chứng và tiến triển chậm. Ở giai đoạn phát triển tình trạng này mới có thể xuất hiện một số triệu chứng: Đau bụng, mệt mỏi, buồn nôn; Đau quặn sau khi ăn; Phân sẫm màu do đường tiêu hoá chảy máu

Để chẩn đoán u GIST cần khám lâm sàng kiểm tra kỹ vùng bụng, thực hiện các xét nghiệm như: Chẩn đoán hình ảnh: Siêu âm, chụp CT, MRI; Nội soi đường tiêu hoá.

Xét nghiệm hóa mô miễn dịch khối u cũng có thể được chỉ định thực hiện để giúp chẩn đoán xác định GIST, dựa trên các đặc điểm bệnh lý của mẫu mô và kết hợp các đặc điểm hình thái và hóa mô miễn dịch.

Trong các trường hợp liên quan đến biểu hiện hình thái điển hình của GIST, nhưng nhuộm KIT âm tính, nhuộm DOG-1 và CD34 có thể được sử dụng để xác định chẩn đoán. Định gen cũng có thể được sử dụng trong trường hợp GIST âm tính với KIT.

Phẫu thuật là liệu pháp đầu tay đối với GIST nguyên phát và còn khả năng cắt bỏ. Nguyên tắc chính là đảm bảo lấy được toàn bộ khối u nguyên vẹn với diện cắt âm tính, không cần nạo vét hạch, nhưng tránh làm lây lan và phát tán tế bào u trong ổ bụng, đặc biệt là các túi cùng.

Dùng thuốc hay điều trị đích được chỉ định khi khối u không thể cắt bỏ được.

ThS.BSCKII Viên Đình Bình (Khoa ngoại Tổng hợp, Bệnh viện Ung bướu Thanh Hóa)

back to top