Ngày 7/5, Bệnh viện Hữu nghị Việt Nam – Cuba Đồng Hới cho biết, bệnh viện đã phẫu thuật thành công một ca chấn thương bụng kín hiếm gặp, gây thủng ruột do tai nạn lao động.
Bệnh nhân là ông D.T.C., 52 tuổi, trú tại thôn Lâm Khai, xã Hóa Hợp, huyện Minh Hóa, tỉnh Quảng Bình. Vào khoảng 9h sáng ngày 30/4, trong lúc đang cắt cỏ thuê bằng máy có lưỡi cứng, ông bất ngờ bị một viên sỏi nhỏ bắn mạnh vào bụng khi lưỡi máy va phải viên sỏi.
Ông nghe một tiếng “bụp” lớn, sau đó xuất hiện cơn đau bụng dữ dội và nhanh chóng được đưa đến bệnh viện tuyến huyện, rồi chuyển tiếp đến Bệnh viện Hữu nghị Việt Nam – Cuba Đồng Hới.
![]() |
| Viên sỏi bắn vào bụng bệnh nhân khi đang cắt cỏ gây thủng ruột - Ảnh BVCC |
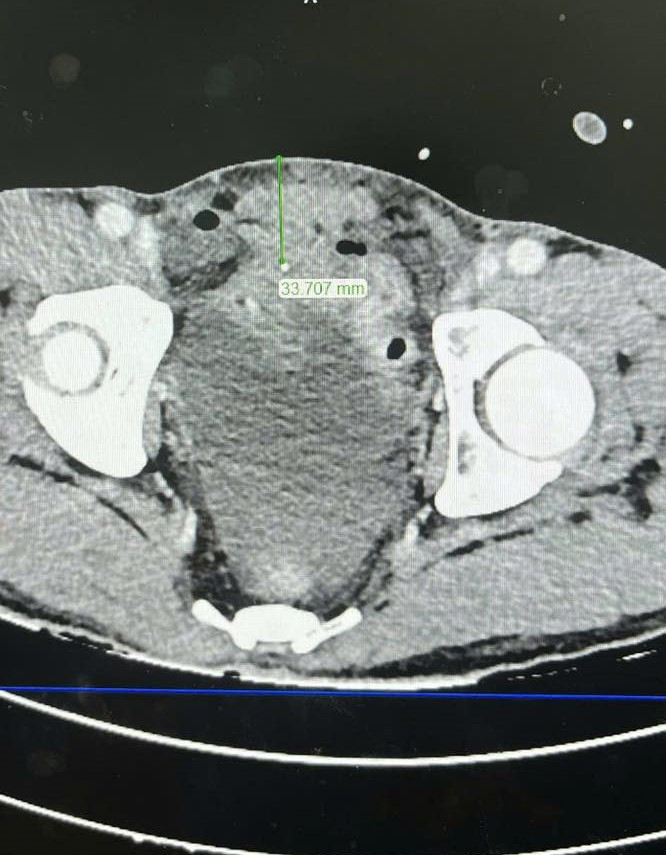
Khi nhập viện, bệnh nhân trong tình trạng đau dữ dội vùng bụng, bụng gồng cứng như gỗ, kèm theo một vết thương nhỏ ở vùng hạ vị. Kết quả chụp CT-Scan bụng cho thấy có dịch và khí tự do trong ổ bụng – dấu hiệu nghi ngờ thủng tạng rỗng.
Ngay lập tức, BS Hoàng Minh Hùng trực cấp cứu khoa Ngoại Tổng hợp đã chỉ định phẫu thuật nội soi khẩn cấp. Trong quá trình mổ, kíp phẫu thuật phát hiện ổ bụng nhiễm bẩn nặng, có một lỗ thủng ruột non và một lỗ thủng đại tràng Sigma vùng chậu hông. Các bác sĩ đã tiến hành rửa sạch ổ bụng, khâu phục hồi ruột non và mở hậu môn nhân tạo tại vị trí thủng đại tràng.
![]() |
| Ca phẫu thuật cho bệnh nhân - Ảnh BVCC |
Sau 6 ngày hậu phẫu, tình trạng bệnh nhân tiến triển tích cực: bụng mềm, dịch dẫn lưu khô. Dự kiến trong thời gian tới, bệnh nhân sẽ được đóng hậu môn nhân tạo và kiểm tra dị vật còn sót nếu có.
Đây là một trường hợp hy hữu, khi một viên sỏi nhỏ trở thành “viên đạn” gây tổn thương xuyên thành bụng, làm thủng ruột. Thành công của ca phẫu thuật đặc biệt với phương pháp nội soi trong điều kiện nhiễm trùng ổ bụng là minh chứng rõ nét cho trình độ chuyên môn và sự nhanh nhạy trong xử trí cấp cứu của đội ngũ y bác sĩ bệnh viện.
![]() |
| Hình ảnh thủng ruột trên nội soi - Ảnh BVCC |
Bác sĩ khuyến cáo, khi bị tai nạn, người nhà người bệnh hãy đưa người bệnh đến cơ sở y tế càng sớm càng tốt để được thăm khám và điều trị. Tránh trường hợp bị các tổn thương tạng kín mà không được chẩn đoán đúng bệnh và được điều trị kịp thời.


