Sức khoẻ 360

Cứu thanh niên bị dao đâm từ hông lưng xuyên thủng dạ dày

Việc chậm trễ đến viện có thể dẫn đến tử vong do sốc mất máu, sốc nhiễm trùng và một số biến chứng nặng nề.

Nam thanh niên T.T.P (19 tuổi, Long An) được đưa đến Bệnh viện Đa khoa Xuyên Á cấp cứu trong tình trạng nguy kịch do bị dao đâm thủng từ vùng hông lưng bên trái khiến nạn nhân mất máu nhiều, đau dữ dội vùng bụng và lưng.

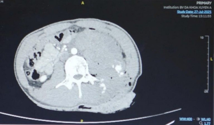
Ngay khi tiếp nhận, các bác sĩ Khoa Cấp Cứu đã nhanh chóng cầm máu và hồi sức cho huyết động học ổn định rồi tiến hành chụp MSCT chẩn đoán. Kết quả ghi nhận có một vết thương vùng hông lưng kéo dài 15cm, bị dao đâm xuyên thấu bụng, có hơi tự do ổ bụng.

hinh-anh-ct-vet-thuong-vung-bung-chay-mau-768x449.jpg
Hình ảnh MSCT cho thấy vết thương bị dao đâm ở vùng bụng - Ảnh BVCC

Trước nguy cơ sốc mất máu và viêm phúc mạc, đe dọa tính mạng, bệnh nhân được chỉ định mổ cấp cứu để nhanh chóng giải quyết tình trạng mất máu và xử trí các thương tổn đi kèm.

BSCKI Thạch Ngọc Diễm Thanh, khoa Ngoại Tiêu hóa - Gan Mật Tụy Bệnh viện Đa khoa Xuyên Á cho biết: “Vị trí vết thương tương đối nhạy cảm vì nó nằm gần những cơ quan như: Thận, niệu quản, đại tràng, tụy, lách và một số mạch máu lớn trong ổ bụng.

Vì thế, ngay khi báo động nội viện, các bác sĩ chuyên khoa Ngoại Tiết Niệu, Ngoại Tiêu hóa - Gan Mật Tụy, Phẫu thuật Tim mạch Lồng ngực đã được huy động để cùng nhau thám sát vết thương tại phòng mổ. Người bệnh được phẫu thuật thám sát và khâu cầm máu vết thương vùng hông lưng.

Sau đó, ê-kíp mở bụng thám sát ổ bụng và các vùng lân cận thì phát hiện có vết thủng mặt trước và mặt sau hang vị dạ dày, vết thủng khoảng 2cm. Các bác sĩ đã tiến hành khâu lỗ thủng dạ dày, làm sạch ổ bụng để ngăn ngừa nhiễm trùng”.

ekip-phau-thuat-1-1.png
Ê- kíp phẫu thuật cho bệnh nhân - Ảnh BVCC

Nhờ sự phối hợp khẩn trương và nhịp nhàng giữa các chuyên khoa, kinh nghiệm xử lý nhiều ca bệnh tương tự trước đó, ê-kíp đã xử trí nhanh chóng thương tổn, không làm mất thời gian vàng cứu sống bệnh nhân.

Sau 1 giờ phẫu thuật, ca phẫu thuật thành công tốt đẹp, bệnh nhân được chuyển về khoa Ngoại Tiêu hóa - Gan Mật Tụy để tiếp tục theo dõi và điều trị. Hậu phẫu ngày thứ 7, bệnh nhân có thể tự đi lại và sinh hoạt bình thường.

"Người dân khi gặp chấn thương nghiêm trọng do vật sắc nhọn đâm vào vùng lưng, vùng bụng cần được sơ cứu và đưa đến cơ sở y tế cấp cứu càng sớm càng tốt. Việc chậm trễ có thể dẫn đến tử vong do sốc mất máu, sốc nhiễm trùng và một số biến chứng nặng nề", bác sĩ Thanh khuyến cáo.

back to top