Sốc tim nguy kịch khi vào viện
Người bệnh thứ nhất là N.S.T (1968, Kiến Thuỵ, Hải Phòng vào viện vì cơn đau thắt ngực có 2 cơn ngất tại nhà. Khi vào Bệnh viện Kiến An đã được chẩn đoán là nhồi máu cơ tim cấp, huyết áp 90/60mmHg và nhịp tim có xu hướng chậm (59 lần/phút). Người bệnh đã được xử trí ban đầu tại bệnh viện Kiến An và chuyển lên Bệnh viện Hữu nghị Việt Tiệp.
Tại Bệnh viện Hữu nghị Việt Tiệp, người bệnh được chẩn đoán nhồi máu cơ tim cấp có xu hướng sốc tim, được các bác sĩ chỉ định chụp và đặt stent động mạch vành cấp cứu. Ngay sau đặt stent động mạch vành, huyết áp và nhịp tim của người bệnh đã được cải thiện. Sau 12 giờ kể từ lúc đặt stent tình trạng sức khỏe của người người bệnh đã ổn định và thực hiện được mọi hoạt động cá nhân bình thường.
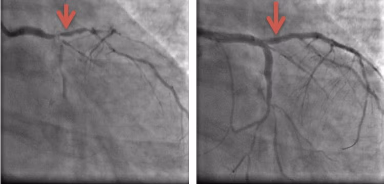
Hình ảnh động mạch vành phải bị tắc hoàn toàn và sau khi đã được tái lưu thông |
Người bệnh thứ hai B.V.D (1942), địa chỉ Vĩnh Bảo, Hải Phòng vào bệnh viện Vĩnh Bảo trong tình trạng đau thắt ngực, huyết áp tụt còn 70/40mmHg, nhịp tim nhanh 121 lần/phút. Sau khi được xử trí cấp cứu, người bệnh đã được nhanh chóng chuyển đến Bệnh viện Hữu nghị Việt Tiệp.
Khi vào Bệnh viện Hữu nghị Việt Tiệp, người bệnh nhanh chóng được tiến hành chụp mạch vành qua da chẩn đoán nhồi máu cơ tim cấp, tổn thương thân chung động mạch vành trái (vị trí hết sức nguy hiểm là nơi ngã ba của 2 mạch máu lớn nuôi quả tim) có tình trạng sốc tim đe doạ tính mạng.
Người bệnh đã được Khoa Can thiệp Tim và Mạch máu cùng cộng sự đã đặt stent động mạch vành. Nhờ được can thiệp cấp cứu kịp thời mà người bệnh đã thoát khỏi giai đoạn nguy hiểm. Sau đặt stent động vành, tình trạng của người bệnh được cải thiện dần.
Cùng với các biện pháp điều trị tích cực sau 17 ngày người bệnh đã được xuất viện. Sau 2 lần tái khám các chỉ số đánh giá về chức năng tim mạch của người bệnh đã hoàn toàn trong giới hạn bình thường.
![]() |
| Hình ảnh trước và sau tái lưu thông thân chung động mạch vành trái |
75% người bệnh nhồi máu có thể sốc tim và tử vong
Nhồi máu cơ tim là tình trạng bệnh lý mà động mạch vành là mạch máu nuôi quả tim bị bít tắc hoàn toàn hoặc gần hoàn toàn dẫn đến không cung cấp máu đủ để nuôi dưỡng quả tim, dẫn tới các biến chứng đe dọa tính mạng nhanh chóng.
Những trường hợp người bệnh bị nhồi máu cơ tim, đặc biệt vị trí tổn thương nghiêm trọng thân chung động mạch vành như người bệnh kể trên là rất nguy hiểm gây sốc tim và tử vong cho người bệnh khi không được can thiệp kịp thời lên đến trên 75%. Đây là trường hợp tổn thương mạch vành tim phức tạp nhất trong can thiệp tim mạch.
Với người bệnh nhồi máu cơ tim thì can thiệp tim mạch là cách tốt nhất để giúp bác sĩ chạy đua với thời gian trong việc cứu sống người bệnh. Kỹ thuật can thiệp mạch vành còn đòi hỏi bác sĩ phải giỏi chuyên môn, thao tác cẩn trọng, khéo léo. Can thiệp cấp cứu kịp thời sẽ giúp giảm nguy cơ tử vong, đồng thời cũng giảm đáng kể các biến chứng nặng về tim mạch sau này cho người bệnh.
![]() |
| Sau can thiệp tình trạng của người bệnh đã ổn định |
Đây là hậu quả của nhiều quá trình bệnh lý diễn biến mạn tính kéo dài nhiều năm, dẫn tới xơ vữa động mạch vành. Những người càng nhiều yếu tố nguy cơ thì khả năng mắc bệnh xơ vữa động mạch vành càng cao, các yếu tố nguy cơ đó là: tiền sử gia đình (bố, mẹ và/hoặc các anh chị em ruột mắc bệnh lý động mạch vành khi còn trẻ), tăng huyết áp, đái tháo đường, rối loạn lipid máu, thừa cân – béo phì, hút thuốc lá, lười vận động.
Đa phần những người bệnh nhồi máu cơ tim đều có các dấu hiệu và triệu chứng sau: đau thắt ngực tại vị trí sau xương ức kéo dài trên 15 phút (đau như thắt, như bóp, như quấn chặt ngang ngực), thường đi kèm với vã mồ hôi và khó thở.
Người bệnh có xu hướng tụt huyết áp và rối loạn nhịp tim (rối loạn nhịp tim là nguyên nhân trực tiếp gây tử vong nhanh chóng trong những giờ đầu tiên).
Một số trường hợp có diễn biến nặng ngay từ đầu, thể hiện bằng sốc tim (huyết áp tụt < 90/60mmHg, nhịp tim nhanh > 100 lần/phút hoặc nhịp tim chậm < 60 lần/phút), khi sốc tim xảy ra thì tỷ lệ tử vong có thể tăng cao đến > 75%.
![]() |
| Can thiệp Nhồi máu cơ tim tại bệnh viện |
Như vậy, việc kiểm soát các yếu tố nguy cơ từ ngay giai đoạn đầu sẽ ngăn chặn, dự phòng và làm chậm tiến triển của bệnh lý xơ vữa động mạch vành. Ngay cả khi người bệnh bị biến cố nhồi máu cơ tim cấp nhưng được phát hiện sớm và điều trị kịp thời cũng làm giảm thiểu tỷ lệ biến chứng, tử vong và tăng tỷ lệ hồi phục, tăng khả năng quay trở lại công việc như trước khi bị nhồi máu cơ tim.
Khi gặp bất kỳ triệu chứng nào kể trên, hoặc nghi ngờ bị bệnh lý động mạch vành người dân có thể đến khám tại các bệnh viện có chuyên khoa can thiệp tim mạch.
Tại Khoa Can thiệp Tim và Mạch máu Bệnh viện Hữu nghị Việt Tiệp, với hệ thống máy chụp mạch số hóa xóa nền DSA Phillips Azurion 3F12 thế hệ mới với nhiều tính năng, có chất lượng hình ảnh rõ nét giúp bác sĩ chẩn đoán, can thiệp chính xác, cũng như có tia XQ thấp hơn trước an toàn cho người bệnh. Đội ngũ y bác sĩ giỏi chuyên môn giàu kinh nghiệm đã làm chủ được kỹ thuật này từ năm 2010.
Đến nay, Khoa đã đã thực hiện được 17.189 ca can thiệp, trong đó trên 13.099 ca bệnh mạch vành, 1.387 ca bệnh về rối loạn nhịp, và trên 2.200 ca bệnh về các bệnh lý mạch máu khác, điều trị kịp thời, hiệu quả các bệnh lý tim mạch nghiêm trọng, tận dụng được tối đa thời gian vàng để đem lại hiệu quả điều trị tốt nhất cho người bệnh”.
ThS.BS Đặng Quang Hưng (Trưởng Khoa Can thiệp Tim và Mạch máu, Bệnh viện Việt Tiệp)
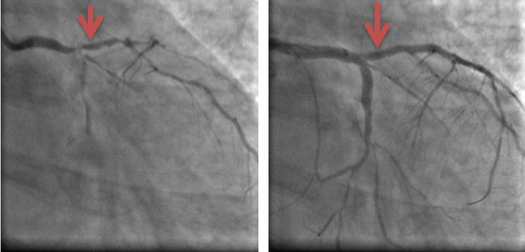
Hình ảnh động mạch vành phải bị tắc hoàn toàn và sau khi đã được tái lưu thông

