Sức khoẻ 360

Cứu sống chàng trai 21 tuổi bị đuối nước, hôn mê sâu

Với mọi trường hợp đuối nước, dù nạn nhân đã tỉnh táo sau sơ cứu, vẫn cần nhanh chóng đưa tới cơ sở y tế gần nhất để được đánh giá toàn diện.

Ngày 29/7, Bệnh viện Trung ương Thái Nguyên cho biết, nhờ sự phối hợp đa chuyên khoa các bác sĩ đã cứu sống được một người bệnh đuối nước nguy kịch vì chủ quan điều trị tại nhà.

Rất may, với sự phối hợp tích cực các chuyên khoa (Cấp cứu, Hô hấp và Hồi sức tích cực - Chống độc, người bệnh đã vượt qua giai đoạn nguy hiểm, phục hồi và ra viện.

Theo đó, ngày 21/7, người bệnh C.Đ.Đ (21 tuổi, xã Nam Hòa, tỉnh Thái Nguyên) được chuyển đến Bệnh viện trong tình trạng hôn mê sâu, tím tái toàn thân, suy hô hấp cấp tiến triển (ARDS) do hít sặc nước bẩn, rối loạn toan chuyển hóa, đe dọa tử vong. Người bệnh phải đặt ống nội khí quản và được hỗ trợ hô hấp bằng máy thở xâm lấn.

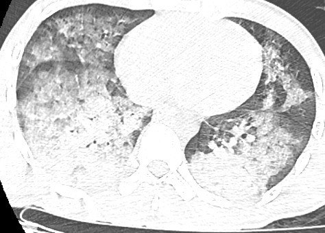
phoi-dong-duoi-nuoc.jpg
Hình ảnh kính mờ (ground-glass opacity) kèm đông đặc phế nang trên phim chụp CLVT của người bệnh Đ. - Ảnh BVCC

Trước tình trạng của người bệnh, các bác sĩ đã tiến hành hội chẩn khẩn cấp và triển khai đồng bộ nhiều biện pháp hồi sức tích cực. Trong đó, kỹ thuật nội soi phế quản được thực hiện nhằm hút bỏ toàn bộ dịch và dị vật trong đường hô hấp, giúp cải thiện thông khí phổi.

Đồng thời, áp dụng liệu pháp lọc máu liên tục (CVVH), nhằm hỗ trợ xử trí sốc nhiễm khuẩn và suy đa cơ quan - các biến chứng nghiêm trọng thường gặp ở bệnh nhân đuối nước nặng; điều trị bằng kháng sinh phổ rộng liều cao, phối hợp với các biện pháp hỗ trợ tuần hoàn, đảm bảo ổn định huyết động và duy trì cân bằng nội môi.

Tất cả đều được triển khai dưới sự theo dõi chặt chẽ của ê-kíp điều trị và đúng phác đồ hồi sức đa chuyên ngành.

duoi-nuoc.jpg
Các bác sĩ khoa Hô hấp và Hồi sức tích cực – Chống độc cùng phối hợp nội soi phế quản, hút dịch và dị vật trong đường hô hấp - Ảnh BVCC

Sau ba ngày điều trị tích cực, người bệnh dần hồi tỉnh, được cai máy thở và rút ống nội khí quản. Đến ngày thứ tám, người bệnh có thể nói chuyện, ăn uống bình thường, không để lại di chứng thần kinh, đủ điều kiện xuất viện.

Tuy nhiên, các bác sĩ khuyến cáo, bệnh nhân vẫn cần tiếp tục theo dõi sức khỏe tại nhà và tái khám sau hai tuần để đánh giá đầy đủ chức năng hô hấp và các cơ quan khác.

BS Nguyễn Tiến Tuệ - người trực tiếp điều trị ca bệnh, chia sẻ: Đây là một trường hợp đuối nước rất nặng. Nếu không được cấp cứu và điều trị đúng phác đồ trong “giờ vàng”, khả năng tử vong là rất cao. Việc phối hợp các chuyên khoa, áp dụng đồng bộ các kỹ thuật hồi sức chuyên sâu, cùng sự phối hợp chặt chẽ từ gia đình đã giúp chúng tôi thành công trong việc giành giật sự sống cho người bệnh.

duoi-nuoc-1.jpg
Người bệnh đang được thực hiện kỹ thuật lọc máu liên tục, được điều trị chuyên sâu tại khoa Hồi sức tích cực - Chống độc - Ảnh BVCC

Trong niềm vui ngày xuất viện, người bệnh Đ. không giấu được sự xúc động. Anh cho biết: Sau khi bị ngã xuống nước, tôi được người thân đưa lên bờ và tiến hành sơ cứu tại chỗ. Do thấy tôi đã tống được nước ra ngoài và hoàn toàn tỉnh táo nên gia đình chủ quan cho nằm nghỉ ngơi tại nhà, mà không đưa đến bệnh viện.

Khoảng 30 phút sau, tôi bắt đầu mệt, khó thở nên đã được gia đình cho thở bằng bình ô xy.

Tuy nhiên, tình trạng khó thở, mệt mỏi của tôi không cải thiện, thậm chí diễn biến xấu đi nhanh chóng nên người nhà mới cấp tốc đưa tới bệnh viện. Khi này, tôi đã rơi vào hôn mê sâu. Các bác sĩ tiên lượng xấu. Nếu không có các bác sĩ kịp thời cứu chữa, chắc tôi đã không còn cơ hội sống. Tôi thấy mình như được sinh ra lần thứ hai.

duoi-nuoc-3.jpg
Người bệnh Đ. hồi phục, chụp ảnh cùng bác sĩ điều trị - Ảnh BVCC

Qua sự việc của người bệnh Đ., BSCKII. Phạm Vũ Hậu, Phó trưởng khoa Hồi sức tích cực – Chống độc Bệnh viện khuyến cáo: Với mọi trường hợp đuối nước, dù nạn nhân đã tỉnh táo sau sơ cứu, vẫn cần nhanh chóng đưa tới cơ sở y tế gần nhất để được đánh giá toàn diện, theo dõi các biến chứng như phù phổi cấp, rối loạn điện giải, nhiễm trùng phổi hoặc suy đa tạng.

Ngoài ra, kỹ năng sơ cứu ban đầu đúng cách trong đuối nước có ý nghĩa sống còn. Các bước như đảm bảo đường thở thông thoáng, ép ngực nếu ngừng tim, hô hấp nhân tạo... cần được thực hiện sớm và đúng kỹ thuật, tránh các biện pháp dân gian không phù hợp hoặc trì hoãn cấp cứu chuyên sâu…

back to top