Sức khoẻ 360

Cứu người đàn ông 47 tuổi bị lóc tách động mạch chủ

Lóc tách động mạch chủ là một tình trạng cực kỳ nguy hiểm, xảy ra khi thành động mạch chủ – mạch máu lớn nhất của cơ thể bị rách và tách lớp.

Đau ngực dữ dội khi hoàn toàn khỏe mạnh

Khoảng 21h50 ngày 14/9/2025, Bệnh viện Đa khoa Khu vực Cẩm Phả tiếp nhận bệnh nhân nam, 47 tuổi, trước đó hoàn toàn khỏe mạnh, chỉ có thói quen hút thuốc lá “lắt nhắt”. Bệnh nhân nhập viện với cơn đau ngực dữ dội, vị trí 1/3 dưới xương ức, đau như dao đâm, vã mồ hôi, khó thở, kèm tức bụng, chướng hơi, không sốt, không ho…

Các chỉ số khám ban đầu ghi nhận dấu hiệu bất thường: Huyết áp tay trái: 85/45 mmHg; huyết áp tay phải: 105/60 mmHg; Mạch: 69 lần/phút.

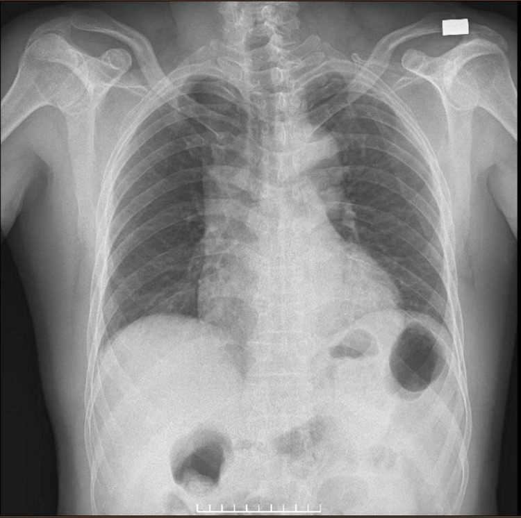
Kết quả cận lâm sàng: Troponin I tăng cao - dấu hiệu gợi ý tổn thương cơ tim; Bạch cầu tăng, creatinin tăng nhẹ. X-quang ngực: Hình ảnh trung thất giãn rộng, bóng động mạch chủ bất thường. Điện tâm đồ không điển hình của nhồi máu cơ tim cấp.

dau-nguc.jpg
X-quang ngực: Hình ảnh trung thất giãn rộng, bóng động mạch chủ bất thường - Ảnh BVCC

Nhận thấy tình trạng rất nghiêm trọng, BS.CKI Đàm Văn Ánh, Phó Trưởng khoa Khám bệnh Bệnh viện Đa khoa Khu vực Cẩm Phả nghi ngờ phình/bóc tách động mạch chủ và kích hoạt quy trình hội chẩn trực tuyến với BS.CKII Ngô Văn Tuấn, Trưởng khoa Tim mạch, chuyên gia tim mạch của Bệnh viện Đa khoa tỉnh Quảng Ninh.

Hai bên thống nhất chẩn đoán và quyết định cần chuyển bệnh nhân khẩn cấp lên Bệnh viện Đa khoa tỉnh Quảng Ninh để chụp cắt lớp vi tính động mạch chủ ngực cấp cứu.

Kết quả chụp động mạch chủ ngực cấp cứu: Hình ảnh bóc tách động mạch chủ type A - tình trạng cực kỳ nguy kịch, cần phẫu thuật cấp cứu. Bệnh nhân đã được chuyển tiếp an toàn lên Bệnh viện Hữu nghị Việt Đức để can thiệp phẫu thuật.

Lóc tách động mạch chủ – căn bệnh nguy hiểm, dễ nhầm với nhồi máu cơ tim

Lóc tách động mạch chủ là một tình trạng cực kỳ nguy hiểm, xảy ra khi thành động mạch chủ – mạch máu lớn nhất của cơ thể bị rách và tách lớp, khiến dòng máu chảy sai đường.

Bệnh thường gặp ở người trung niên, cao tuổi có tăng huyết áp. Tuy nhiên vẫn có thể xảy ra ở người trẻ do các yếu tố bẩm sinh (thành mạch yếu, dị tật tim), chấn thương hoặc lạm dụng chất kích thích. Dù hiếm gặp, bệnh tiến triển rất nhanh và có thể gây tử vong trong vài giờ nếu không được cấp cứu kịp thời.

Trên thực tế, lóc tách động mạch chủ rất dễ bị chẩn đoán nhầm với nhồi máu cơ tim vì có nhiều triệu chứng tương tự (đau ngực, khó thở, vã mồ hôi…). Nhiều trường hợp còn ghi nhận tăng chỉ số troponin trong máu, vốn là dấu hiệu gợi ý nhồi máu cơ tim khiến việc chẩn đoán phân biệt càng phức tạp.

Do đó, bác sĩ cần giàu kinh nghiệm, thăm khám kỹ lưỡng và luôn cảnh giác. Khi có nghi ngờ, chụp cắt lớp vi tính động mạch chủ (CT scan) là phương pháp quan trọng giúp xác định chẩn đoán.

Bài học rút ra, không phải cứ đau ngực là nhồi máu cơ tim; Không phải cứ trẻ, khỏe là loại trừ được bệnh lý nguy hiểm.

Trong cấp cứu, đau ngực lan ra sau lưng, vã mồ hôi, huyết áp tay chênh lệch - phải nghĩ ngay đến bóc tách động mạch chủ; Troponin tăng dễ gây “lạc hướng” sang nhồi máu cơ tim - cần cảnh giác; Chụp mạch là “chìa khóa” để tháo gỡ nút thắt chẩn đoán.

Hãy cảnh giác với mọi cơn đau ngực - dù người bệnh còn trẻ, không bệnh nền. Các bác sĩ luôn phân tích, đánh giá mọi thông tin để phát hiện điều bất thường và quyết định kịp thời. Mỗi quyết định chuẩn xác góp phần giữ lại một sinh mạng.

back to top