Nhiều người phải cắt cụt chi do hoại tử
Hẹp, tắc động mạch chậu, động mạch chi dưới nếu không được phát hiện và điều trị kịp thời thì người bệnh có nguy cơ phải cắt cụt chân do hoại tử.
Bệnh động mạch chi dưới mạn tính chỉ tình trạng một phần hay toàn bộ chi dưới không được cung cấp đầy đủ máu đáp ứng cho các hoạt động sinh lý, gây ra bởi các bệnh lý động mạch mạn tính. Hẹp, tắc động mạch chậu, động mạch chi dưới nếu không được phát hiện và điều trị kịp thời thì người bệnh có nguy cơ phải cắt cụt chân do hoại tử.
Người bệnh Đ.T.H (sinh năm 1962, Việt Trì) thường xuyên bị đau 2 chân, mỗi lần chỉ đi được tầm 50m, gây khó khăn, bất tiện trong sinh hoạt. Đến khám tại Khoa Can thiệp tim mạch – Trung tâm Tim mạch, người bệnh được chẩn đoán: tắc động mạch chậu 2 bên, đã được chỉ định can thiệp nong bóng, đặt stent động mạch chậu 2 bên. Sau can thiệp 4 ngày, người bệnh đã có thể đi lại bình thường và được ra viện.
Hình ảnh động mạch chậu bị tắc |
![]() |
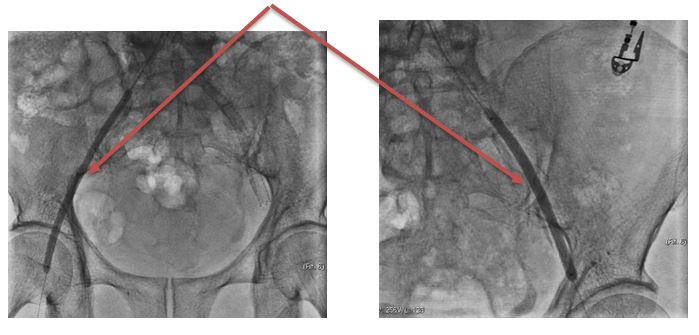
| Can thiệp nong bóng động mạch chậu 2 bên |
Động mạch chậu 2 bên thông tốt sau can thiệp |
ThS.BS Nguyễn Văn Sơn,Trưởng Khoa Can thiệp tim mạch Bệnh viện đa khoa tỉnh Phú Thọ cho biết: tắc động mạch chậu, động mạch chi dưới làm cho chi dưới không được tưới máu đầy đủ. Đây là một bệnh lý nguy hiểm thường bị bỏ qua, vì các triệu chứng không rõ ràng và dễ bị nhầm lẫn với các vấn đề liên quan đến xương khớp, thần kinh…
Thực tế, có đến >90% người mắc bệnh động mạch chi dưới trước khi vào điều trị tại Bệnh viện đa khoa tỉnh Phú Thọ đã từng được chẩn đoán thoái hóa khớp hoặc đau thần kinh cơ và điều trị kéo dài. Vì vậy, khi vào viện triệu chứng bệnh thường ở giai đoạn muộn, không ít trường hợp trong đó phải cắt cụt chân.
Bác sĩ thăm khám cho người bệnh |
Cách loại bỏ các yếu tố nguy cơ tắc động mạch chậu, động mạch chi dưới
Hầu hết các bệnh nhân ở giai đoạn đầu của bệnh sẽ chỉ thấy dấu hiệu “đau cách hồi”: đau chân khi đi lại, dừng lại nghỉ sẽ đỡ đau và lại đau khi tiếp tục đi. Khoảng cách quãng đường khi xuất hiện đau càng ngắn thì mức độ bệnh càng nặng.
Ban đầu, bệnh nhân có thể xuất hiện đau khi đi bộ quãng đường vài trăm mét, nhưng càng về sau triệu chứng đau xuất hiện sớm hơn, có khi đi vài chục mét đã đau, thậm chí đau cả khi không đi lại, khi đang nghỉ ngơi. Nặng hơn còn xuất hiện viêm loét hoặc hoại tử đầu chi do thiếu máu. Đây là biến chứng nặng nề, sẽ dẫn đến phải cắt cụt chi gây tàn phế cho người bệnh.
![]() |
| Sau can thiệp 4 ngày, người bệnh đã có thể đi lại bình thường và được ra viện. |
Bệnh tắc động mạch chậu, động mạch chi dưới có liên quan nhiều đến các yếu tố nguy cơ ảnh hưởng đến mạch máu bao gồm: thuốc lá, tăng huyết áp, tăng mỡ máu, bệnh đái tháo đường. Vì vậy, người bệnh cần tuyệt đối bỏ thuốc lá. Đồng thời, điều trị, kiểm soát tốt các bệnh kèm theo như kiểm soát tốt huyết áp, điều trị bệnh đái tháo đường và tình trạng rối loạn chuyển hóa lipid máu.
Vấn đề quan trọng nhất là cần khám và phát hiện bệnh sớm, ở giai đoạn chưa đau khi nghỉ ngơi hay chưa có viêm loét, hoại tử chi do thiếu máu. Phát hiện sớm sẽ giúp người bệnh tránh được tàn phế do các biến chứng của bệnh.
Hình ảnh động mạch chậu bị tắc
Động mạch chậu 2 bên thông tốt sau can thiệp
Bác sĩ thăm khám cho người bệnh