Tổn thương 3 thân mạch vành
Bệnh viện Đa khoa Hùng Vương (Phú Thọ) vừa cấp cứu thành công trường hợp nhồi máu cơ tim cấp nguy hiểm. Bệnh nhân nam 60 tuổi, có tiền sử tăng huyết áp và hút thuốc lá nhiều năm, nhập viện trong tình trạng đau ngực dữ dội – dấu hiệu cảnh báo tình trạng nguy hiểm của tim mạch.
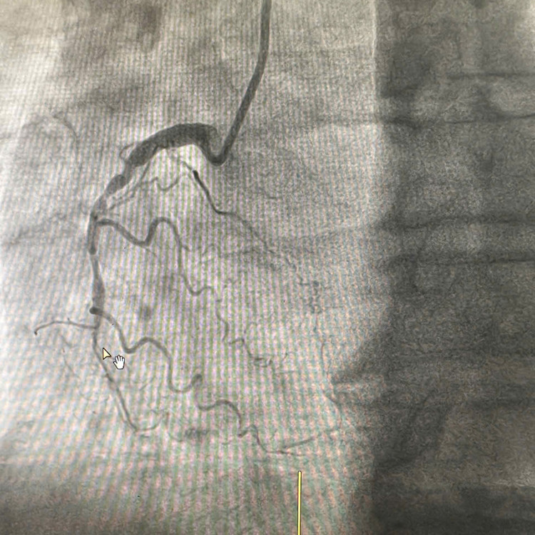
Qua thăm khám và thực hiện chụp mạch vành qua da, bác sĩ xác định bệnh nhân bị tổn thương nặng cả 3 thân động mạch vành, trong đó nhánh LCx là "thủ phạm" chính gây nhồi máu cơ tim cấp trong đợt này.
Quy trình nong bóng và đặt Stent phủ đã được tiến hành khẩn trương và chính xác, giúp mở lại dòng máu qua nhánh LCx, khôi phục sự tưới máu cho tim. Stent được đặt thành công, bao phủ toàn bộ vùng tổn thương, đảm bảo tối ưu hiệu quả điều trị.
![]() |
| Bệnh nhân được chẩn đoán chính xác và kịp thời - Ảnh BVCC |
Sau can thiệp bệnh nhân các dấu hiệu sinh tồn của bệnh nhân ổn định.đã được chuyển về khoa Tim Mạch để tiếp tục theo dõi và điều trị phục hồi, cùng với kế hoạch kiểm soát tốt các yếu tố nguy cơ.
Các bác sĩ bệnh viện Đa Khoa Hùng Vương biết, nhồi máu cơ tim cấp là tình trạng nguy hiểm, đe dọa tính mạng nếu không được xử trí kịp thời.
Bác sĩ Piter, Bệnh viện Đa Khoa Hùng Vương cho biết: Thông thường, đối tượng có nguy cơ cao mắc bệnh lý tim mạch là những người trên 45 tuổi đối với nam và trên 50 tuổi đối với nữ. Tuy nhiên, bệnh lý này ngày càng trẻ hóa, không ít trường hợp mới ngoài 40 đã bị nhồi máu cơ tim.
Hút thuốc tăng cục máu đông gấp 4 lần
Các chuyên gia cho biết, hút thuốc làm tăng nhanh quá trình xơ cứng và thu hẹp trong động mạch. Quá trình này bắt đầu sớm hơn và tăng khả năng hình thành cục máu đông lên cao gấp hai đến bốn lần.
Hút thuốc làm giảm mức cholesterol lipoprotein mật độ cao và làm tăng mức cholesterol lipoprotein mật độ thấp. Nghĩa là giảm sự di chuyển của cholesterol qua cơ thể và góp phần tích lũy của nó trong các động mạch của bạn. Điều này khiến bạn có nguy cơ cao bị đau tim, đột quỵ và mất chân tay.
![]() |
| Tắc mạch gây nhồi máu cơ tim ở bệnh nhân - Ảnh BVCC |
Hút thuốc làm tăng nguy cơ đột quỵ bằng cách thu hẹp các động mạch trong não và các động mạch cảnh ở cổ dẫn đến não. Ngoài ra, các mạch đến não có thể bị tắc nghẽn do tắc nghẽn hoặc máu đông, có thể dẫn đến đột quỵ và tê liệt.
Nếu các mạch máu bị chặn hoàn toàn đến một phần của não, phần đó sẽ chết. Người bệnh có thể mất khả năng nói, đi lại hoặc di chuyển bình thường hoặc tùy thuộc vào phần não bị ảnh hưởng, đột quỵ có thể gây tử vong.
Đặc biệt, hút song song cả thuốc lá điện tử và thuốc lá thường còn có hại hơn, đó là tăng cao nguy cơ đột quỵ ở tuổi thanh niên và những năm đầu của tuổi trung niên.
Cụ thể, kết quả phân tích dựa trên dữ liệu sức khỏe cho thấy người hút song song 2 loại thuốc lá có nguy cơ đột quỵ gần gấp 3 lần so với người không hút thuốc. Hút thuốc lá thụ động (hít phải khói thuốc người khác) tăng 30% nguy cơ đột quỵ não.
Do đó, người dân nên chủ động thăm khám sức khỏe định kỳ, không được chủ quan với các triệu chứng như thường xuyên khó thở, mệt mỏi, đau tức ngực khi gắng sức…
Đặc biệt, những người có thói quen hút thuốc lá, có tiền sử mắc cao huyết áp, đái tháo đường hoặc từng có người nhà bị bệnh mạch vành cần chủ động tầm soát bệnh tim mạch từ sớm để tránh dẫn đến các trường hợp cấp cứu nguy hiểm. Với bệnh mạch vành, chỉ chậm vài phút cũng có thể nguy hiểm đến tính mạng.

