Sức khoẻ 360

Cuộc chiến sinh tử giành sự sống cho trẻ ho ra máu

Đây không chỉ là một thành công y khoa mà còn là minh chứng cho sự phối hợp nhịp nhàng, quyết đoán và lòng dũng cảm của những người khoác áo blouse trắng.

Bỗng nhiên nguy kịch vì lupus ban đỏ

Gần đây, bệnh nhi nữ 14 tuổi được chẩn đoán mắc Lupus ban đỏ hệ thống (SLE), đã điều trị tại một bệnh viện tuyến trung ương khác và được xuất viện. Sau khi ra viện 3 ngày, trẻ bắt đầu ho ra máu đỏ tươi liên tục kèm ít đờm và sốt 37,5 - 38 độ C.

Sau vài tiếng, trẻ khó thở và rất mệt, được người nhà đưa vào cấp cứu tại Trung tâm Nhi khoa, Bệnh viện Bạch Mai trong tình trạng suy hô hấp (SpO2 80%), suy tuần hoàn (chi lạnh, mạch 150 chu kỳ/phút, huyết áp 90/60 mmHg) và thiếu máu nặng (hemoglobin lúc vào viện: 40 g/L).

luput.jpg
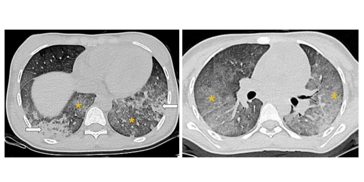
Chụp cắt lớp vi tính lồng ngực cho thấy hình ảnh các tổn thương gợi ý chảy máu phế nang lan tỏa.

Chẩn đoán sinh tử và cuộc đua với thời gian

BS Phạm Công Khắc, một trong những bác sĩ tham gia trực tiếp hồi sức cho bệnh nhi không giấu được cảm xúc khi nhớ lại khoảnh khắc tiếp nhận trẻ ban đầu: "Cháu bé được đưa vào Trung tâm Nhi khoa trong tình trạng ho máu nguy kịch, suy hô hấp, suy tuần hoàn và thiếu máu nặng. Cảm giác bất lực thoáng hiện lên trong tâm trí nếu không cứu được cháu”. Đối mặt với sinh tử, các bác sĩ lập tức gạt cảm xúc sang một bên để tập trung xử trí.

“Chúng tôi nghĩ đến biến chứng chảy máu phế nang lan tỏa (DAH) ở bệnh nhân SLE. Đây là một biểu hiện hiếm gặp, chỉ khoảng 2% số ca SLE ở trẻ em. Khi xảy ra, DAH thường diễn tiến rất nhanh gây suy hô hấp cấp, thiếu máu nặng và có thể tử vong nếu không được điều trị kịp thời. Tuy nhiên, tình trạng suy hô hấp và huyết động không ổn định của trẻ khiến nhóm bác sĩ không thể chờ đợi nội soi phế quản để chẩn đoán DAH. Áp lực vô cùng lớn”.

BS Mai Thành Công - một trong những bác sĩ quản lý nhóm bệnh nhân tự miễn của Trung tâm Nhi khoa chia sẻ: "Nếu điều trị DAH do SLE quá muộn, trẻ có thể tử vong nhanh chóng. Nhưng nếu là chảy máu phổi do nhiễm trùng, việc sử dụng thuốc ức chế miễn dịch liều cao có thể khiến tình trạng nhiễm trùng của cháu bé thêm trầm trọng”.

Với sự phối hợp khẩn cấp giữa nhóm bác sĩ Hồi sức và Miễn dịch của Trung tâm Nhi khoa, chẩn đoán nhanh chóng được đưa ra dựa trên những dấu hiệu lâm sàng và cận lâm sàng được biện luận sắc bén:

Ho máu đỏ tươi liên tục, xuất hiện đột ngột gây thiếu máu nặng trên một trẻ vừa được chẩn đoán lupus ban đỏ hệ thống hoạt động mạnh.

X-quang ngực có tổn thương mờ thâm nhiễm cả hai phổi, CT có hình kính mờ lan tỏa, đông đặc, dày vách phế nang phù hợp với hình ảnh của chảy máu phế nang lan tỏa.

Không có rối loạn đông cầm máu, không có biểu hiện tan máu cấp, và không có bằng chứng của nhiễm trùng mặc dù bệnh nhân có sốt (CRP tăng nhẹ, các xét nghiệm vi sinh như test cúm, nuôi cấy đờm tìm vi khuẩn và nấm, xét nghiệm chẩn đoán lao sau đó đều âm tính).

Nồng độ bổ thể C3, C4 giảm sâu, hiệu giá kháng thể anti-dsDNA tăng rất cao cho thấy bệnh lupus đang hoạt động mạnh.

"Với tất cả dữ kiện trên, chúng tôi không được phép chờ đợi. Quyết định điều trị phải được đưa ra ngay lập tức", bác sĩ Công khẳng định.

Quyết định táo bạo và hy vọng le lói

Phác đồ methylprednisolone liều cao kết hợp cyclophosphamide tĩnh mạch được lựa chọn. Đây là lựa chọn kinh điển cho các trường hợp lupus hoạt động mạnh có tổn thương cơ quan đe dọa tính mạng như DAH, tổn thương thần kinh trung ương hay viêm thận nặng.

Việc đưa ra quyết định này đòi hỏi sự cân nhắc kỹ lưỡng về nguy cơ và lợi ích, đặc biệt ở một bệnh nhi 14 tuổi. Nguy cơ bao gồm ức chế tủy xương, nhiễm trùng, độc tính trên cơ quan sinh sản. Tuy nhiên, lợi ích lớn nhất chính là cứu sống bệnh nhân trong giai đoạn cấp và kiểm soát hoạt động bệnh của lupus.

Niềm vui vỡ òa đến với các bác sĩ vào ngày thứ 5 sau điều trị. "Cháu hết khó thở và hết ho máu, không cần hỗ trợ bằng máy thở, đặc biệt là cháu cắt sốt sau khi điều trị thuốc ức chế miễn dịch", bác sĩ Khắc và bác sĩ Công chia sẻ. Khoảnh khắc ấy, đội ngũ y bác sĩ cảm thấy nhẹ nhõm vì biết rằng chẩn đoán và quyết định điều trị là đúng, cháu bé đã vượt qua được giai đoạn nguy kịch.

luput1.jpg
Ảnh bệnh nhi đang được hỗ trợ hô hấp bằng máy thở không xâm nhập - Ảnh BVCC

Làm chủ chuyên môn, nắm giữ chìa khóa sinh tử trong tay, các bác sĩ đã làm nên điều kỳ diệu. Bác sĩ Công tự hào chia sẻ những điểm đặc biệt làm nên thành công của ca bệnh, bao gồm:

Nhận diện sớm một biến chứng cực kì hiếm gặp nhưng đe dọa tính mạng (chảy máu phế nang lan tỏa trong bệnh lupus ban đỏ hệ thống), ngay cả khi chưa thể nội soi phế quản.

Phân biệt được chảy máu phế nang lan tỏa với chảy máu phổi do nhiễm trùng ở một bệnh nhân đang sử dụng các thuốc ức chế miễn dịch - một bước vô cùng quan trọng trong điều trị vì hướng xử trí hoàn toàn khác nhau.

Xử trí nhanh chóng và quyết đoán giúp cứu sống bệnh nhi đang suy đa cơ quan.

Phối hợp chặt chẽ giữa các nhóm bác sĩ chuyên khoa (Hồi sức - Miễn dịch - Thận - Hô hấp) trong cùng một Trung tâm Nhi đa khoa thuộc bệnh viện tuyến cuối.

Kết quả phục hồi tốt, giúp bệnh nhi ra viện ổn định và tiếp tục điều trị ngoại trú theo phác đồ điều trị lupus ban đỏ hệ thống là điều chỉ xảy ra trong khoảng một nửa số ca lupus có biến chứng chảy máu phế nang lan tỏa.

"Thành công trong điều trị bệnh nhân là sự kết hợp của việc chẩn đoán chính xác - xử trí kịp thời - điều trị hiệu quả mặc dù đây là một biến chứng nguy hiểm của lupus ban đỏ hệ thống", bác sĩ Công nhận định. “Trường hợp này hoàn toàn xứng đáng được ghi nhận, đồng thời cung cấp tài liệu quý giá cho đào tạo và thực hành lâm sàng”.

"Ca bệnh là ví dụ điển hình cho thấy sự phức tạp và mức độ nguy hiểm của lupus ban đỏ hệ thống ở trẻ em, đặc biệt là biến chứng chảy máu phế nang lan tỏa (DAH) - một biến chứng cực kỳ hiếm gặp và có tỷ lệ tử vong cao tới 50%.

Sự hồi phục kỳ diệu của cháu bé không chỉ là niềm vui của gia đình mà còn là niềm tự hào của đội ngũ y bác sĩ Trung tâm Nhi khoa. Đây là kết quả của sự chẩn đoán nhanh, điều trị sớm và phối hợp liên chuyên khoa chặt chẽ. Chúng tôi luôn tâm niệm rằng không được chủ quan với bất kỳ triệu chứng hô hấp nào ở bệnh nhân lupus ban đỏ hệ thống, nhất là khi bệnh đang hoạt động mạnh và phải xem DAH như một tình trạng cấp cứu nội khoa.

Ca bệnh này đã cung cấp cho chúng tôi những kinh nghiệm quý báu để tiếp tục nâng cao năng lực trong việc xử lý các trường hợp phức tạp, hiếm gặp, khẳng định vai trò của Trung tâm Nhi khoa”, BS Nguyễn Thành Nam, Giám đốc Trung tâm Nhi Khoa, Bệnh viện Bạch Mai cho biết.

back to top