Sức khoẻ 360

Chỉ định mổ u bàng quang khi chưa biết lành, ác

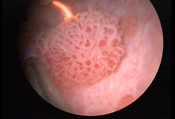
U bàng quang mới phát hiện cần được mổ nội soi để ngăn chặn nguy cơ chảy máu và làm giải phẫu bệnh để xác định xem lành tính hay ác tính.

u bàng quang

Ảnh minh họa.

Hỏi: Mẹ tôi 61 tuổi, đi khám được các bác sĩ kết luận có u trong bàng quang kích thước 30mm và chỉ định mổ để cắt u. Tôi rất băn khoăn vì tình trạng sức khoẻ mẹ tôi bình thường. Trước đây 1 năm mẹ tôi chỉ có một lần đi tiểu có máu và cho đến đầu năm vừa rồi tiểu có máu cũng 1 lần. Không có biểu hiện như đau, rát, buốt đến nay.

Hơn nữa, hiện bác sĩ cũng chưa biết là u lành hay u ác. Bác sĩ nói phải mổ cắt u mới xác định. Nếu vậy thì mạo hiểm quá nên tôi và gia đình vẫn phân vân chưa ký giấy cho mẹ tôi mổ. Xin KH&ĐS tư vấn?

Đỗ Anh Vân (Lạng Sơn)

PGS.TS. Trần Đức, Chủ nhiệm Khoa Tiết niệu, Bệnh viện TƯQĐ 108: U bàng quang mới phát hiện, cần được mổ nội soi để ngăn chặn nguy cơ chảy máu và làm giải phẫu bệnh để xác định xem lành tính hay ác tính. Sau đó sẽ được điều trị tiếp tục theo chẩn đoán giải phẫu bệnh.

Nếu ác tính còn cần cân nhắc về sức khỏe bệnh nhân xem có thể điều trị bằng hóa chất, xạ trị hoặc cắt toàn bộ bàng quang.

TN (ghi)

back to top