Sức khoẻ 360

Chạy đua từng giây giành sự sống cho người bệnh vỡ u gan

Kỹ thuật nút mạch mang lại hiệu quả cầm máu cao, ít xâm lấn, thời gian hồi phục nhanh và đóng vai trò quan trọng trong điều trị cấp cứu khối u gan chảy máu.

Bệnh viện Đa khoa Hùng Vương Phú Thọ cho biết, các bác sĩ vừa thực hiện cuộc chạy đua giành lại sự sống trong từng giây phút cho người bệnh vỡ u gan sốc mất máu.

Người bệnh nam, 60 tuổi, nhập viện trong tình trạng mất máu cấp do vỡ khối u gan trên nền xơ gan, ung thư biểu mô tế bào gan (HCC). Đây là một biến chứng cực kỳ nguy hiểm, có thể dẫn đến tử vong nếu không được xử trí kịp thời.

Người bệnh có tiền sử: Xơ gan, viêm gan B, HCC (ung thư biểu mô tế bào gan) Child – Pugh B 7 điểm. Người bệnh nhập viện trong tình trạng đau bụng dữ dội, bụng chướng, đại tiện phân lỏng, mệt mỏi, huyết áp thấp… Các chỉ số sinh tồn ghi nhận dấu hiệu sốc mất máu.

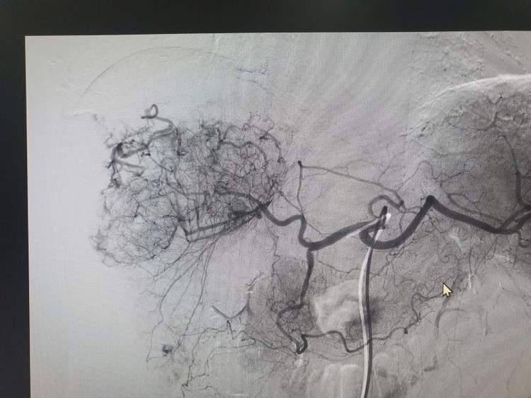
vo-u-gan-3.jpg
vo-u-gan-4.jpg
Vỡ u gan chảy máu trước và sau can thiệp - Ảnh BVCC

Kết quả chụp cắt lớp vi tính (CLVT) phát hiện khối u gan phải bị vỡ, có hình ảnh chảy máu đang hoạt động trong ổ bụng. Ngay lập tức, ekip can thiệp của Khoa Chẩn đoán hình ảnh phối hợp cùng các khoa liên quan tiến hành chụp và nút mạch cấp cứu cầm máu khối u gan.

Các bác sĩ cho biết, can thiệp nội mạch là phương pháp điều trị cấp cứu hiệu quả, giúp cầm máu nhanh chóng.

Dưới hướng dẫn của máy chụp mạch số hóa xóa nền (DSA), bác sĩ luồn ống thông vào động mạch gan nuôi khối u, xác định chính xác vị trí chảy máu và tiến hành nút mạch bằng vật liệu chuyên dụng như hạt PVA, keo sinh học hoặc coil kim loại...

Kỹ thuật nút mạch mang lại hiệu quả cầm máu cao, ít xâm lấn, thời gian hồi phục nhanh và đóng vai trò quan trọng trong điều trị cấp cứu khối u gan chảy máu. Sau can thiệp, bệnh nhân được theo dõi sát và đánh giá lại để tiếp tục điều trị bệnh lý nền như hóa trị, nút mạch hóa chất (TACE), hoặc phẫu thuật triệt để nếu đủ điều kiện.)

Sau can thiệp, tình trạng sức khỏe người bệnh ổn định, được chuyển về Khoa Hồi sức tích cực để tiếp tục theo dõi và điều trị.

vo-u-gan-1.jpg
Thăm khám cho người bệnh - Ảnh BVCC

Các bác sĩ cảnh báo, vỡ u gan là biến chứng nguy hiểm hàng đầu ở bệnh nhân xơ gan, ung thư gan. Việc phát hiện sớm, theo dõi chặt và điều trị kịp thời là yếu tố sống còn.

Các ca can thiệp được thực hiện dưới hệ thống chụp mạch máu số hoá xóa nền (DSA) hiện đại, cho hình ảnh rõ nét, hỗ trợ bác sĩ xác định chính xác vị trí tổn thương và xử trí kịp thời.

Nhờ trang thiết bị tiên tiến cùng quy trình cấp cứu khẩn trương, phối hợp liên khoa hiệu quả, bệnh viện luôn sẵn sàng tiếp nhận và xử trí các ca bệnh nguy kịch, góp phần mang lại cơ hội sống cho người bệnh.

“Người bệnh có tiền sử viêm gan B, xơ gan, HCC… cần tái khám định kỳ và tuân thủ điều trị, tránh để biến chứng nguy hiểm xảy ra”, các bác sĩ khuyến cáo.

back to top