Nguy cơ vỡ kén đe dọa tính mạng
Các bác sĩ Bệnh viện Bãi Cháy vừa thực hiện thành công phẫu thuật nội soi 1 đường rạch cắt kén khí phổi lớn cho bệnh nhân cao tuổi mắc hen phế quản, bệnh phổi tắc nghẽn mạn tính (COPD), đái tháo đường tuyp II.
Bệnh nhân Lê K B (62 tuổi, trú tại TP Hạ Long, Quảng Ninh) có tiền sử bệnh phổi tắc nghẽn mạn tính (COPD), hen phế quản, đái tháo đường tuyp II. Bệnh nhân xuất hiện tình trạng ho nhiều, đau tức ngực phải, khó thở đến khám tại Bệnh viện Bãi Cháy.
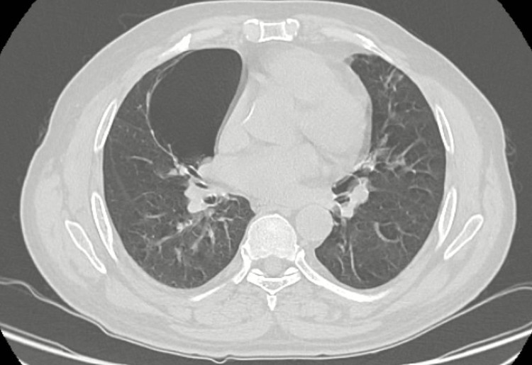
Kết quả chụp CT Scanner ngực có hình ảnh đám đông đặc phân thùy lưỡi phổi trái, dày tổ chức kẽ hai phổi, bóng khí thùy giữa phổi phải kích thước 59x90mm. Các bác sĩ đã hội chẩn kết luận kén khí lớn thùy giữa phổi phải trên nền bệnh nhân hen phế quản, bệnh phổi tắc nghẽn mạn tính, đái tháo đường tuyp II.
Với mục tiêu loại bỏ kén khí, giúp bệnh nhân cải thiện chức năng hô hấp, tránh các nguy cơ vỡ kén khí gây tràn khí khoang màng phổi. Ekip phẫu thuật của BS CKII Hoàng Văn Quyết, Trưởng phòng Tổ chức cán bộ, Phụ trách Khoa Ung bướu 2 và TS.BS Nguyễn Văn Hiệp, Phó Trưởng phòng Đào tạo & chỉ đạo tuyến, Bs Lưu Duy Khánh khoa Ung bướu 2, BS CKI Nguyễn Văn Quang,Trưởng Khoa Gây mê hồi sức đã thành công thực hiện phẫu thuật nội soi hỗ trợ cắt kén khí phổi lớn. Sau 5 ngày, chức năng hô hấp của bệnh nhân cải thiện rõ rệt, sức khỏe hồi phục tốt, được xuất viện.
![]() |
| Kén khí phổi trên phim chụp của bệnh nhân |
Đánh giá về ca phẫu thuật, BSCKII Hoàng Văn Quyết cho biết: “Đây là ca phẫu thuật phức tạp, có độ khó cao do toàn bộ phổi dính vào thành ngực, kén khí nằm ở rốn phổi dính vào màng ngoài tim. Phẫu thuật viên phải thao tác phẫu tích, gỡ dính chuẩn xác để bộc lộ và loại bỏ kén khí.
Bên cạnh đó, phẫu thuật tiến hành trên nền người bệnh có thể trạng béo kèm nhiều bệnh nền như hen phế quản, phổi tắc nghẽn mạn tính khiến chức năng hô hấp suy giảm, phổi thông khí kém, tiềm ẩn rủi ro trong và sau phẫu thuật cao. Do đó đặt ra yêu cầu sự phối hợp nhịp nhàng giữa bác sĩ gây mê hồi sức và bác sĩ ngoại lồng ngực.
Đặc biệt là phẫu thuật viên lồng ngực phải có chuyên môn vững vàng, giàu kinh nghiệm để kiểm soát tốt những biến chứng trong phẫu thuật, đảm bảo mục tiêu phục hồi chức năng hô hấp và đề phòng tái phát cho người bệnh.”
![]() |
| Thăm khám cho bệnh nhân sau phẫu thuật - Ảnh BVCC |
Nhiều bệnh phát sinh kén khí phổi
Kén khí ở phổi là bệnh lý ít gặp, biểu hiện đặc trưng qua những túi khí có kích thước lớn hơn 1cm nằm trong nhu mô phổi, kèm theo có sự phá hủy vách các phế nang không phục hồi. Kén khí phổi xảy ra cục bộ tại vùng của phổi, có thể một hoặc nhiều kén tập trung ở thùy trên nhiều hơn thùy dưới, kén khí có thể bẩm sinh hoặc thứ phát sau các bệnh lý như hen phế quản, COPD, lao phổi….
Bệnh làm tăng khoảng chết sinh lý và gây chèn ép tổ chức phổi lành xung quanh. Nếu không phát hiện, phẫu thuật kịp thời sẽ gây xẹp cả phổi ở bên có kén, đẩy trung thất ép cả phổi bên đối diện, đưa đến hậu quả là suy hô hấp rất nặng nề. Thậm chí nếu tăng áp lực trong đường thở bệnh nhân, kén khí có thể vỡ gây tràn khí màng phổi dẫn đến tử vong.
TS.BS Nguyễn Văn Hiệp, Phó Trưởng phòng Đào tạo và Chỉ đạo tuyến cho biết: “Phẫu thuật cắt kén khí được xem là phương pháp cơ bản trong điều trị, trong đó phẫu thuật nội soi lồng ngực luôn được lựa chọn hàng đầu.
Phẫu thuật nội soi cắt kén khí phổi là phương pháp điều trị xâm lấn tối thiểu mang lại nhiều ưu điểm so với phương pháp truyền thống như vết mổ nhỏ, hạn chế các tai biến trong và sau mổ như như chảy máu, nhiễm trùng vết mổ, viêm phổi, xẹp phổi, suy giảm chức năng hô hấp… Bệnh nhân ít đau sau mổ, bình phục nhanh, rút ngắn thời gian nằm viện”.

