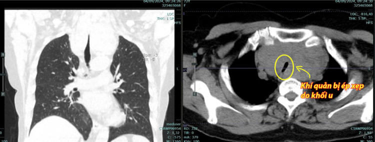
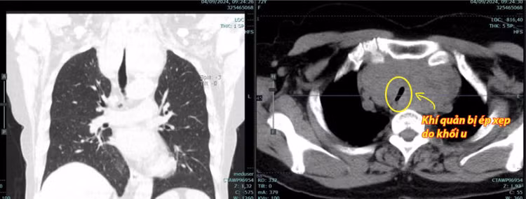
Khoa Phẫu thuật tim mạch – Lồng ngực – Bệnh viện đa khoa tỉnh Phú Thọ vừa thực hiện phẫu thuật cắt bướu tuyến giáp khổng lồ thòng trung thất với kích thước 2 thùy lần lượt là 102 x 52mm (phải) và 98x51mm cho người bệnh nữ 72 tuổi.
Người bệnh N.T.D (huyện Cẩm Khê – Phú Thọ) phát hiện cổ sưng to 2 bên, khó thở tăng dần, đau tức ngực nên đã đến Bệnh viện đa khoa tỉnh Phú Thọ khám.
Tại đây, hình ảnh chụp cộng hưởng từ lồng ngực cho thấy cả hai thuỳ tuyến giáp rất to, thòng xuống trung thất. Kết quả siêu âm tuyến giáp và chọc hút kim nhỏ trước mổ cho kết quả bướu giáp keo.
Người bệnh được chẩn đoán: Bướu giáp thòng trung thất và được bác sĩ chỉ định phẫu thuật cắt toàn bộ bướu giáp thòng trung thất.
![]() |
BSNT Dương Xuân Phương, Trưởng Khoa Phẫu thuật tim mạch – Lồng ngực cho biết: Bướu giáp thòng trung thất là bệnh ít gặp, chiếm tỉ lệ khoảng 3%-20% các trường hợp bướu giáp.
Đa số trường hợp bướu giáp thòng là lành tính, chỉ có 3-6 % là ác tính. Có một số trường hợp ác tính u xâm lấn hai thùy giáp, thực quản và khí quản, thòng xuống lồng ngực gây chèn ép các mạch máu quan trọng gây triệu chứng tức ngực, khó thở, khàn giọng, nuốt nghẹn, có thể gây hội chứng tĩnh mạch chủ trên.
Quá trình phẫu thuật cho người bệnh D diễn ra tương đối khó khăn do khối u lớn lâu ngày, chèn ép vào khí quản đoạn ngực gây xẹp khí quản nhiều.
Qua hội chẩn đa chuyên khoa: Nội khoa, Ngoại khoa, Gây mê, Hồi sức. Các bác sĩ đã xây dựng các phương án dự phòng: Nếu không đặt được ống nội khí quản để gây mê do khí quản bị ép xẹp thì sẽ thiết lập hệ thống tim phổi nhân tạo để mổ; nếu mổ đường nếp lằn cổ không lấy được khối u thì sẽ cưa xương ức để lấy u. Các phương án đã được hội đồng thông qua mổ đồng ý.
Rất may mắn là khi tiến hành phẫu thuật cho người bệnh, kíp mổ đã không phải thiết lập hệ thống tuần hoàn ngoài cơ thể và cưa xương ức. Ê kíp bác sĩ phẫu thuật đã cắt được toàn bộ u qua đường mổ nếp lằn cổ.
Để thực hiện được cuộc phẫu thuật lấy u thòng trung thất qua đường mổ cổ mà không kết hợp cưa xương ức, đòi hỏi phẫu thuật viên cẩn trọng, khéo léo, mổ chính xác tránh các tai biến phẫu thuật, không gây tổn thương mạch máu, hạn chế chảy máu, tránh tổn thương các thần kinh quan trọng vùng mổ. Bác sĩ gây mê đảm bảo kiểm soát tốt nhịp tim cũng như huyết áp… trong suốt cuộc mổ.
![]() |
| Hình ảnh khối u bướu tuyến giáp thòng trung thất và khí quản bị ép xẹp do khối u Sau mổ khối u đã được lấy hết và khí quản đã bình thường - Ảnh BVCC |
Sau phẫu thuật, người bệnh tỉnh, nói tròn tiếng, kích thước vùng cổ về bình thường. 9 ngày sau người bệnh đã ổn định, ăn uống, đi lại bình thường, nói rõ ràng và được ra viện.

