Sức khoẻ 360

Can thiệp tắc mạch phế quản cứu bệnh nhân ho ra máu mức độ nặng, suy hô hấp

Ho ra máu mức độ nặng có thể dẫn đến tử vong do suy hô hấp hoặc mất máu nếu không được xử trí kịp thời.

Mới đây, một nữ bệnh nhân 67 tuổi, ngụ tại TP HCM, vừa vượt qua ranh giới mong manh của suy hô hấp nặng do ho ra máu lượng nhiều, được cứu sống nhờ kỹ thuật can thiệp tắc động mạch phế quản.

Đây không chỉ là kỹ thuật hiện đại, ít xâm lấn, mà còn là “chìa khóa” giúp kiểm soát vị trí chảy máu và mở ra cơ hội sống cho người bệnh.

Báo động đỏ cứu bệnh nhân ho ra máu ồ ạt, suy hô hấp nặng

Bệnh nhân H. (67 tuổi, TP HCM) được người nhà đưa đến Bệnh viện Đa khoa Xuyên Á nhập viện trong tình trạng ho ra máu lượng nhiều, diễn tiến nhanh đến suy hô hấp nặng. Những cơn ho không chỉ làm cạn kiệt sức lực của bà mà còn kéo theo dòng máu đỏ tươi – dấu hiệu của tổn thương hệ hô hấp nghiêm trọng.

Ngay khi tiếp nhận tại khoa Cấp Cứu, các bác sĩ đã nhanh chóng đặt ống nội khí quản để thở máy nhằm duy trì sự sống cho người bệnh.

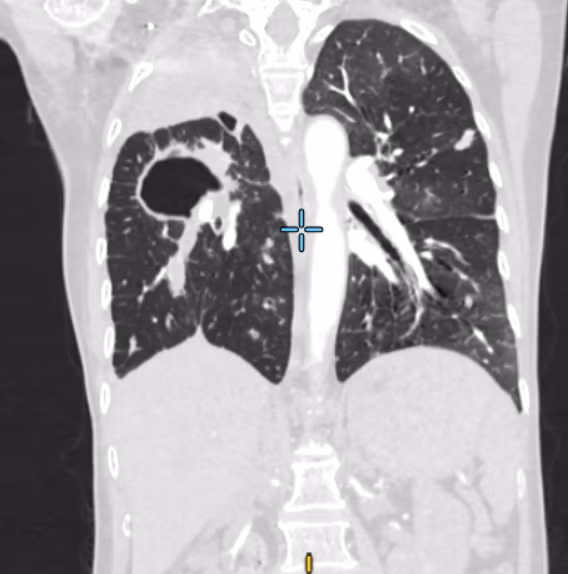
Đồng thời, các bác sĩ khẩn trương chụp CT ngực có tiêm thuốc cản quang thì phát hiện tổn thương lan tỏa ở cả hai phổi – nghi ngờ lao phổi, khí phế quản hai bên đọng nhiều máu. Kết quả xét nghiệm sau đó xác nhận bệnh nhân dương tính với lao phổi.

ho-ra-mau-2.png
Hình ảnh CT tổn thương phổi do ho ra máu - Ảnh BVCC

Không chỉ vậy, hồ sơ bệnh án trước đó còn cho thấy bệnh nhân mang nhiều bệnh lý nền nặng nề như bệnh phổi tắc nghẽn mạn tính, viêm phổi và suy hô hấp cấp. Sự chồng lấp của các tổn thương này không chỉ làm phổi suy yếu nghiêm trọng mà còn khiến các mạch máu trong phế quản trở nên mong manh, dễ vỡ.

Chính những yếu tố này đã khiến tình trạng ho ra máu trở thành một biến chứng đặc biệt nguy hiểm, thậm chí khi máu tràn vào đường thở người bệnh có thể ngạt thở ngay lập tức.

Sau khi nội soi hút sạch máu đọng ở khí phế quản hai bên để đảm bảo thông thoáng đường thở, các bác sĩ đã hội chẩn liên khoa giữa khoa cấp cứu, khoa hô hấp và đơn vị can thiệp mạch thống nhất lựa chọn can thiệp tắc động mạch phế quản nhằm bịt lại các nhánh mạch đang gây chảy máu.

Đây là giải pháp cầm máu nhẹ nhàng, hiệu quả, nhanh chóng. Nhờ đó, bệnh nhân tránh được một cuộc mổ phức tạp, thời gian hồi phục nhanh, rút ngắn thời gian nằm viện và mang lại hiệu quả điều trị lâu dài.

ho-ra-mau-3.jpg
Bác sĩ thăm khám cho bệnh nhân sau can thiệp - Ảnh BVCC

Tắc động mạch phế quản kiểm soát nguồn máu chảy

BSCKI Trịnh Đình Hiếu, Đơn vị Can Thiệp Mạch Bệnh viện Đa khoa Xuyên Á, người trực tiếp thực hiện thủ thuật cho biết: “Trong quá trình can thiệp, các bác sĩ Đơn vị Can Thiệp Mạch đã phối hợp cùng các bác sĩ khoa Gây mê Hồi sức và khoa Hồi sức Tích cực để ổn định tình trạng huyết động của bệnh nhân.

Qua đường ống nhỏ luồn từ động mạch đùi, các bác sĩ Đơn vị Can Thiệp Mạch đã đưa dụng cụ chuyên dụng đến tận nhánh động mạch phế quản bị tổn thương và tiến hành tắc mạch máu tổn thương bằng chất tắc mạch, kiểm soát được nguồn máu chảy và giảm nguy cơ ho ra máu tái phát về sau”.

Hình ảnh trước và sau can thiệp - Ảnh BVCC

Kết thúc ca can thiệp, lâm sàng bệnh nhân cải thiện dần, rút được ống nội khí quản, chuyển về khoa Nội Hô hấp để tiếp tục theo dõi và dùng thuốc điều trị bệnh lý nền. Hiện tại, bệnh nhân không còn tình trạng ho ra máu, hồi phục tốt, có thể ăn uống và trở lại sinh hoạt bình thường, dự kiến xuất viện sớm.

Theo BSCKI Trịnh Đình Hiếu, ho ra máu mức độ nặng có thể dẫn đến tử vong do suy hô hấp hoặc mất máu nếu không được xử trí kịp thời. Trước nguy kịch đó, kỹ thuật can thiệp tắc động mạch phế quản ít xâm lấn đã trở thành một phương pháp điều trị tối ưu, được lựa chọn phổ biến hiện nay nhờ những ưu điểm nổi bật:

Hiệu quả cầm máu nhanh chóng, đặc biệt trong các trường hợp chảy máu ồ ạt.

Ít xâm lấn và an toàn, giảm nguy cơ so với phẫu thuật cắt.

Thời gian hồi phục nhanh, nằm viện ngắn ngày.

Độ chính xác.

Có thể thực hiện nhiều lần một cách an toàn, nếu tình trạng ho ra máu tái phát.

Những bệnh nhân từng mắc lao phổi, nấm phổi, u phổi, hang lao, viêm phổi là những đối tượng dễ có nguy cơ bị ho ra máu.

Vì thế, bác sĩ Trịnh Đình Hiếu khuyến cáo những bệnh nhân này nên tuân thủ phác đồ điều trị của bác sĩ cũng như cần theo dõi bệnh sát sao và thường xuyên khám chuyên khoa định kỳ để tầm soát sớm bệnh.

Khi ho ra máu với lượng nhiều, hoặc kèm khó thở, tím tái, người bệnh cần được đưa đến bệnh viện ngay lập tức để được điều trị hiệu quả.

Kỹ thuật can thiệp tắc động mạch phế quản được thực hiện thường quy tại Bệnh viện Đa khoa Xuyên Á thời gian qua đã cứu sống rất nhiều trường hợp ho ra máu lượng lớn, giúp nâng cao chất lượng sống và tiết kiệm chi phí điều trị cho người bệnh.

Trước đây, bệnh nhân bị ho ra máu lượng nhiều thường được chỉ định phẫu thuật cấp cứu và điều trị nội khoa tích cực để cầm máu.

Tuy nhiên, với sự phát triển của kỹ thuật can thiệp mạch như hiện nay, bệnh nhân có thể được can thiệp tắc động mạch phế quản cầm máu nhanh chóng và an toàn dưới hướng dẫn của hệ thống số hóa xóa nền DSA.

Nhờ đó, bệnh nhân tránh được một cuộc mổ phức tạp, thời gian hồi phục nhanh, rút ngắn thời gian nằm viện và mang lại hiệu quả điều trị lâu dài.

>>> Mời quý độc giả theo dõi video: Cảnh báo thổi giá đất nền vùng ven Hà Nội giá tăng gấp đôi:

back to top