Trẻ khỏe nhồi máu cơ tim vì hút thuốc
Khoa Tim mạch, Bệnh viện Đa khoa tỉnh Quảng Ninh cho biết, ngày 15/9, Bệnh viện tiếp nhận cấp cứu một trường hợp là thuyền viên K.K.M (34 tuổi) quốc tịch Myanmar, làm việc trên tàu viễn dương đang neo đậu tại cảng Cái Lân, phường Bãi Cháy, TP Hạ Long.
Trước nhập viện khoảng 1 giờ, nam bệnh nhân trẻ có biểu hiện đau tức ngực trái dữ dội nên được đưa đi cấp cứu tại Bệnh viện Đa khoa tỉnh Quảng Ninh. Tại đây, các bác sĩ khai thác tiền sử được biết bệnh nhân có thói quen hút thuốc lá nhiều năm, bản thân không có tiền sử mắc các bệnh lý mạn tính. Qua thăm khám lâm sàng cùng kết quả điện tim, siêu âm tim và xét nghiệm men tim, bệnh nhân được chẩn đoán nhồi máu cơ tim trước rộng cấp.
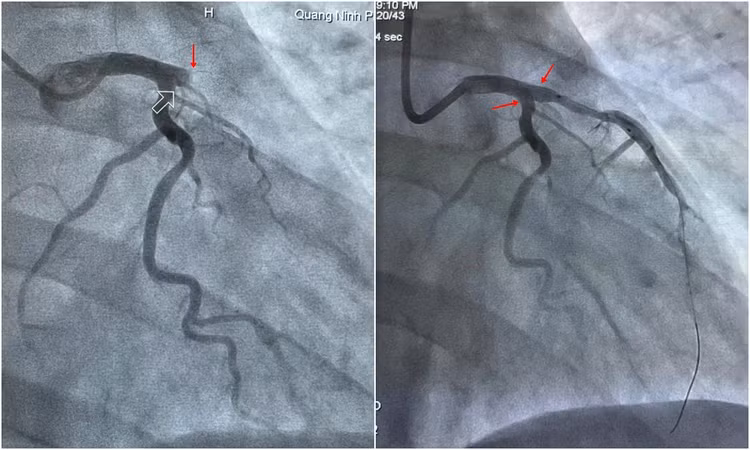
Hội chẩn khoa đánh giá bệnh nhân trong tình trạng nguy cấp, tiên lượng nặng, nguy cơ diễn biến cao. Kíp can thiệp ngay lập tức được huy động và nhanh chóng chuyển bệnh nhân lên phòng can thiệp. Kết quả chụp mạch vành qua da cho thấy tắc hoàn toàn động mạch liên thất trước ngay từ đoạn đầu, đồng thời hẹp 50% các nhánh mạch khác. Chỉ định can thiệp đặt stent tái thông động mạch, tưới máu lại cho cơ tim ngay lập tức được đặt ra.
![]() |
| Bệnh nhân người Myanmar bị nhồi máu cơ tim cấp được kíp bác sĩ Bệnh viện Đa khoa tỉnh Quảng Ninh can thiệp đặt stent thành công. |
Kíp can thiệp do Thạc sĩ bác sĩ Ngô Văn Tuấn, Trưởng khoa Tim mạch, Thạc sĩ bác sĩ Phan Thanh Nghĩa – Trưởng khoa Hô hấp và BNN cùng các bác sĩ, điều dưỡng viên khoa Tim mạch phối hợp thực hiện. Sau gần 1 tiếng nỗ lực, kíp can thiệp đã can thiệp đặt thành công 02 stent động mạch liên thất trước, cứu sống bệnh nhân qua giai đoạn nguy kịch. Đến nay, sức khỏe bệnh nhân đã ổn định, hết đau tức ngực và chuẩn bị xuất viện về nước.
![]() |
| Hình ảnh mạch vành bị tắc hoàn toàn được đặt stent tái thông thành công. |
Người trẻ nhồi máu cơ tim không có dấu hiệu báo trước
ThS.BS Ngô Văn Tuấn, Trưởng khoa Tim mạch, Bệnh viện Đa khoa tỉnh Quảng Ninh cho biết: “Ở người trẻ tuổi, nhồi máu cơ tim cấp thường xảy ra đột ngột, không có dấu hiệu báo trước, diễn biến rất nhanh, nguy cơ tử vong cao.
Như trường hợp nam thuyền viên người Myanmar vừa được cấp cứu mới đây, bệnh nhân rất trẻ, chỉ mới 34 tuổi nhưng đã bị nhồi máu cơ tim cấp, tình trạng tắc mạch rất nặng nề, tắc hoàn toàn mạch chính nuôi tim là động mạch liên thất trước.
Đặc thù công việc của bệnh nhân này thường lênh đênh trên biển, may mắn là thời điểm khởi phát triệu chứng đau tức ngực, tàu biển này cập cảng Cái Lân (Hạ Long) nên bệnh nhân đưa đến viện cấp cứu kịp thời trong “giờ vàng”, nhờ vậy sẽ giảm nguy cơ biến chứng, tử vong, nếu phát hiện và can thiệp muộn thì cơ hội sống rất mong manh. Đây cũng là ca bệnh nhồi máu cơ tim trẻ nhất mà khoa Tim mạch can thiệp cấp cứu đến thời điểm hiện tại”.
![]() |
| Bệnh nhân trẻ người Myanmar bị nhồi máu cơ tim hồi phục tốt sau can thiệp. |
Trường hợp của bệnh nhân Myanmar có thói quen hút thuốc lá tần suất dày đặc trong thời gian dài. Đây được xem yếu tố nguy cơ dẫn đến nhồi máu cơ tim cấp, là một trong những nguyên nhân hàng đầu gây tử vong ở mọi độ tuổi.
“Những người hút thuốc lá có nguy cơ mắc bệnh tim cao gấp 2 – 4 lần so với người không hút thuốc. Hút thuốc lá lâu năm sẽ gây ra bệnh lý xơ vữa mạch mãn tính với tất cả các mạch máu trong cơ thể. Các mảng xơ vữa dần dần sẽ gây hẹp mạch, mà hậu quả nghiêm trọng có thể là nhồi máu cơ tim, nhồi máu não cấp”, bác sĩ Tuấn cho hay.
Để tránh nhồi máu cơ tim khi còn quá trẻ, bác sĩ khuyến cáo: Tất cả mọi người cần có chế độ ăn uống, lối sống lành mạnh, từ bỏ việc hút thuốc lá để giảm nguy cơ mắc các bệnh lý tim mạch và các bệnh tật khác liên quan đến hút thuốc lá. Cùng với đó nên đi khám, tầm soát sức khỏe định kỳ để sớm phát hiện bất thường và xử trí kịp thời.


