Đau bụng và nôn mửa liên tục vì sán lá gan nhỏ
Ngày 26/4, Bệnh viện Đà Nẵng cho biết, các bác sĩ khoa Nội tiêu hóa vừa can thiệp thành công bắt được 3 con sán lá gan nhỏ còn sống trong ống mật chủ của một nữ bệnh nhân thông qua nội soi mật tụy ngược dòng (ERCP).
Trước đó, bệnh nhân Trần Thị U.H. (57 tuổi, trú phường Hòa An, Cẩm Lệ, Đà Nẵng) nhập khoa Nội tiêu hóa, Bệnh viện Đà Nẵng trong tình trạng đau thượng vị, nôn mửa liên tục.
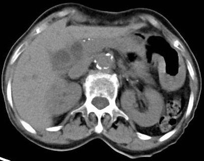
Qua thăm khám và siêu âm bụng, phát hiện bệnh nhân bị áp-xe gan nghi do ký sinh trùng. Các bác sĩ tiến hành chụp CT-Scan ổ bụng, nghi ngờ bệnh nhân có sỏi trong ống mật.
Bệnh nhân được các bác sĩ hội chẩn và quyết định làm nội soi mật tụy ngược dòng lấy sỏi (ERCP). Trong lúc thực hiện ERCP, các bác sĩ phát hiện sán lá gan nhỏ trong ống mật chủ của bệnh nhân.
![]() |
| Nội soi mật tụy ngược dòng lấy sỏi phát hiện sản lá gan - Ảnh BVCC |
Sau can thiệp ERCP, các bác sĩ gắp được 3 con sán lá gan nhỏ còn sống (dài 10-15 mm, ngang 3-4 mm) ra khỏi cơ thể bệnh nhân.
Bệnh nhân tiếp tục dùng thuốc điều trị đặc hiệu để diệt trứng sán còn tiềm ẩn trong người. Sau nội soi can thiệp, bệnh nhân hồi phục, tỉnh táo, hết nôn, hết đau và đã được xuất viện.
Gây nhiều bệnh lý nguy hiểm ở gan, mật
BSCKII Nguyễn Xuân Tuấn, khoa Nội tiêu hóa, Bệnh viện Đà Nẵng cho biết, sán lá gan nhỏ gây áp-xe gan hiện nay gặp khá nhiều. Nhưng sán lá gan nhỏ (họ Clonorchis hoặc Opisthorchis) còn sống ở trong ống mật chủ rất hiếm gặp, đặc biệt là bắt được qua nội soi.
Năm 2020, lần đầu tiên Bệnh viện Đà Nẵng cũng đã thực hiện nội soi mật tụy ngược dòng (ERCP) và bắt được sán lá gan lớn (họ Fasciola) cho bệnh nhân.
![]() |
| Hình ảnh 3 con sán lá gan được lấy ra - Ảnh BVCC |
Theo BSCKII Tuấn, nội soi mật tụy ngược dòng (ERCP: Endoscopic Retrograde Cholangiopancreatography) là một kỹ thuật nội soi được sử dụng để chẩn đoán và điều trị các vấn đề liên quan đến đường mật và tuyến tụy. Kỹ thuật này kết hợp giữa nội soi và chụp X-quang, cho phép bác sĩ nhìn thấy các tổn thương bệnh lý bất thường trong ống mật và ống tụy.
Từ đó sẽ đưa ra các quyết định can thiệp như: cắt cơ vòng mật tụy, lấy sỏi mật tụy hay đặt stent (giúp đường mật thông suốt nếu bị tắc do các nguyên nhân đó). Nhờ kỹ thuật này mà bệnh nhân không phải phẫu thuật, không phải chịu vết mổ.
ERCP là một phương pháp hiệu quả và ít xâm lấn trong chẩn đoán và điều trị các vấn đề về đường mật và tụy, mang lại nhiều lợi ích so với các phương pháp truyền thống khác.
BSCKII Nguyễn Xuân Tuấn phân tích, sán lá gan là một trong các nguyên nhân gây bệnh lý về đường mật như sỏi mật, sỏi gan, ung thư đường mật. Trong đường mật, miệng hút của sán bám sâu vào thành đường mật gây tình trạng viêm loét đường mật, tắc đường mật, viêm loét, hoại tử túi mật, nhiễm trùng đường mật.
Một số trường hợp ấu trùng sán sinh sôi có thể xâm nhập vào các cơ quan thiết yếu trong cơ thể như não, tim, phổi… đe dọa tính mạng người bệnh.
“Để ngăn ngừa nguy cơ mắc bệnh sán lá gan nhỏ, người dân nên thực hiện ăn chín uống sôi.
Không ăn gỏi cá và các món ăn từ cá chưa được chế biến chín.
Không ăn các loại cá, ốc, tôm nước ngọt và các loại rau sống, rau thủy sinh chưa nấu chín.
Thực hiện rửa tay vệ sinh sạch sẽ trước khi ăn cũng như uống thuốc tẩy giun sán định kỳ...”, BSCKII Tuấn khuyến cáo.

