Ca cấp cứu “ngàn cân treo sợi tóc”
Bệnh nhân là V.V.T (21 tuổi, quê ở xã Thanh Hòa, Như Xuân, Thanh Hoá). Trưa ngày 20/7, khi đang lưu thông trên đường với tốc độ cao thì bệnh nhân bất ngờ bị tai nạn giao thông do tránh xe ô tô và tránh chướng ngại vật. Bệnh nhân bị hất tung khỏi xe máy và đập ngực lên đống sắt, thép của một gia đình đang làm nhà ở bên đường.
Sau tai nạn, bệnh nhân bất tỉnh và được người dân đưa đến cơ sở y tế gần nhất để sơ cứu, sau đó chuyển thẳng đến Trung tâm cấp cứu Bệnh viện Đa khoa tỉnh Thanh Hoá trong tình trạng ý thức lơ mơ, thở nhanh, mạch nhanh nhỏ, khó bắt, huyết áp tụt, da xanh tái, niêm mạc nhợt nhạt.
Bệnh nhân được chẩn đoán sơ bộ ban đầu là sốc mất máu do chấn thương ngực kín, suy hô hấp, suy tuần hoàn do tràn khí áp lực khoang màng phổi trái. Ngay lập tức, bệnh nhân được các bác sĩ cấp cứu hồi sức tim phổi, dẫn lưu màng phổi trái để giải phóng khí và đặt nội khí quản (kết quả chụp phim X-quang phổi của tuyến trước có tràn khí màng phổi trái).
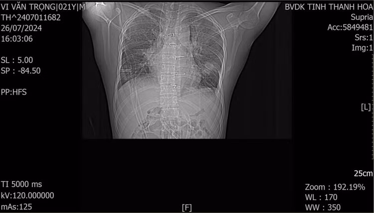
![]() |
| Hình ảnh phim chụp CLVT phổi của bệnh nhân sau 1 tuần phẫu thuật |
Nhận thấy đây là một trường hợp chấn thương ngực kín rất phức tạp, các bác sĩ Trung tâm Cấp cứu đã kích hoạt hệ thống báo động đỏ, huy động các bác sĩ chuyên khoa Phẫu thuật Thần kinh – Lồng ngực, Gây mê hồi sức hội chẩn khẩn cấp và thực hiện các dịch vụ cận lâm sàng cần thiết cho bệnh nhân ngay tại giường.
Kết quả siêu âm cho thấy bệnh nhân có nhiều dịch màng ngoài tim gây chèn ép tim cấp, tràn khí, tràn máu màng phổi 2 bên, gãy rạn gần hết xương sườn hai bên, gãy xương đòn phải. Lúc này bệnh nhân rơi vào tình trạng hôn mê sâu vì vậy các bác sĩ vừa hồi sức tích cực đồng thời khẩn trương đưa bệnh nhân về phòng mổ chỉ trong vòng chưa đầy 15 phút từ lúc vào viện.
![]() |
| Các y bác sĩ đang tập trung cấp cứu cho một trường hợp bệnh nhân tại Trung tâm Cấp cứu, Bệnh viện Đa khoa tỉnh Thanh Hoá |
Tại phòng mổ, các bác sĩ Gây mê hồi sức nhanh chóng đặt Catheter tĩnh mạch trung tâm, đo huyết áp xâm lấn, đặt các đường truyền để truyền dịch, truyền máu cấp cứu, hồi sức tích cực, đồng thời các bác sĩ phẫu thuật của khoa Phẫu thuật thần kinh – Lồng ngực tiến hành mổ cấp cứu, khẩn trương cưa xương ức, mở màng tim lấy ra khoảng hơn 1 lít máu cục và máu không đông; kiểm tra thấy vỡ tiểu nhĩ phải, máu chảy ra nhiều; vùng phễu thất phải đụng dập, chảy máu. Các bác sĩ tiến hành khâu cầm máu tiểu nhĩ phải và phễu thất phải, đặt dẫn lưu màng tim, đóng màng tim.
Tiếp tục mở khoang màng phổi hai bên kiểm tra thấy màng phổi trái nhiều máu, nhu mô thuỳ dưới vỡ lớn, chảy máu, bác sĩ tiến hành khâu bảo tồn nhu mô phổi trái. Nhu mô phổi phải vỡ, đụng dập thuỳ giữa và một phần thuỳ trên không còn chức năng thông khí vùng đụng dập nên các bác sĩ đã tiến hành cắt phổi theo thương tổn, sau đó đặt dẫn lưu màng phổi hai bên. Đóng xương ức và tạo hình lại các sụn sườn bị bong gãy hai bên.
Hơn 4 giờ căng thẳng, ê kíp các bác sĩ đã phẫu thuật thành công cho bệnh nhân V.V.T. Sau mổ, để đảm bảo an toàn cho bệnh nhân, kíp bác sĩ hồi sức sau mổ của khoa Gây mê hồi sức và Khoa Cấp cứu -HSTC 2 đã theo dõi rất chặt chẽ, tiếp tục hồi sức tích cực cho bệnh nhân, đảm bảo hô hấp, tuần hoàn, truyền máu, huyết tương, sử dụng thuốc điều chỉnh rối loạn đông máu…Bệnh nhân được truyền tổng cộng 25 đơn vị máu và các chế phẩm của máu trước, trong và sau phẫu thuật.
Sau hơn 3 tuần trải qua ca phẫu thuật “ngàn cân treo sợi tóc”, hiện tại sức khoẻ của bệnh nhân hồi phục khá tốt, hoàn toàn tỉnh táo, không có di chứng thần kinh và sẽ được ra viện trong một vài ngày tới.
![]() |
| Bác sĩ Lê Đình Anh thăm khám cho bệnh nhân V.V.T sau phẫu thuật |
Thành công nhờ cấp cứu khẩn trương và phối hợp nhịp nhàng liên chuyên khoa
Theo BS Lê Đình Anh – khoa Phẫu thuật Thần kinh – Lồng ngực, bác sĩ trực tiếp cấp cứu và tham gia phẫu thuật cho bệnh nhân, để cấp cứu thành công trường hợp vỡ tim, chấn thương phổi nguy kịch như trường hợp bệnh nhân V.V.T, quan trọng nhất là yếu tố thời gian, chẩn đoán đúng và hướng xử lý nhanh – đúng.
Chỉ trong vòng hơn 10 phút, người bệnh được thực hiện các kỹ thuật cận lâm sàng cần thiết đánh giá toàn thân và chuyển mổ kịp thời, nhanh chóng và chuyên nghiệp. Các phương án dự phòng cũng được chuẩn bị sẵn sàng, bao gồm cả tim phổi máy để đảm bảo an toàn cho ca phẫu thuật vì vậy ca mổ đã thành công người bệnh đã được cứu sống.
Đánh giá về sự thành công của ca bệnh, BSCKII Hoàng Hữu Trường, Phó Giám đốc Bệnh viện Đa khoa tỉnh Thanh Hoá cho biết: Ca phẫu thuật đã thành công ngoài sự mong đợi, có thể nói tính mạng bệnh nhân lúc vào viện được ví như “ngàn cân treo sợi tóc”.
Bệnh nhân được cứu sống một cách ngoạn mục, một cuộc đời được hồi sinh ngay giữa lằn ranh sinh tử. Điểm mấu chốt để có được thành công của trường hợp này là xử lý nhanh chóng kịp thời, sự phối hợp nhịp nhàng ăn ý giữa các chuyên khoa.
Ê kíp các y bác sĩ thực hiện phẫu thuật, Gây mê hồi sức và hồi sức sau mổ có y đức sáng, y thuật cao và rất “thiện chiến”. Đó cũng chính là thành tựu của việc đầu tư phát triển y tế chuyên sâu với các mũi nhọn ở nhiều chuyên ngành, các đơn vị xung kích sẵn sàng ứng cứu những trường hợp khẩn cấp.
BSCKII Hoàng Hữu Trường cũng cho biết thêm, với vai trò là Bệnh viện đa khoa tuyến cuối của tỉnh thường xuyên phải tiếp nhận, cấp cứu, điều trị các ca nặng, phức tạp và nguy kịch của các cơ sở y tế trên địa bàn tỉnh chuyển đến.
Vì vậy các chuyên khoa của Bệnh viện đã phối hợp nhịp nhàng với các cơ sở y tế trên địa bàn tỉnh để nắm bắt thông tin, tổ chức hội chẩn cấp cứu trước viện, cấp cứu liên viện và chuẩn bị các điều kiện cần thiết khi tiếp nhận người bệnh nhân để tận dụng được thời gian vàng trong cấp cứu, xử lý, kịp thời cứu sống nhiều người bệnh không may đột quỵ, ngừng tim, tai nạn, thương tích nặng,….trên địa bàn tỉnh.
Hồi phục thần kỳ sau ca phẫu thuật sống còn và hơn 3 tuần điều trị tích cực tại Bệnh viện, chàng trai trẻ V.V.T và mẹ rất xúc động và vui mừng gửi lời cảm ơn các y bác sĩ. Đối với em T. và gia đình, khoảng thời gian chiến đấu với tử thần để giành giật lại sự sống tại Bệnh viện Đa khoa tỉnh Thanh Hoá là một phần ký ức không thể nào quên trong cuộc đời.
Từ nay, chàng trai trẻ V.V.T. lại tiếp tục được sống và làm việc trong một niềm biết ơn mãi mãi vào cuộc đời này – Cuộc đời luôn có những bóng áo trắng lặng thầm luôn sẵn sàng dấn thân không mệt mỏi vì người bệnh…


