Sức khoẻ 360

38 tuổi phải thay khớp háng vì hoại tử chỏm xương đùi

Phẫu thuật thay khớp háng là một trong những phương pháp điều trị hiệu quả cho những bệnh nhân bị tổn thương nghiêm trọng ở khớp háng.

Thuốc giảm đau, kháng viêm cũng không hết đau

Bệnh nhân P.H.A. (38 tuổi, Vĩnh Long) đến Bệnh viện Đa khoa Xuyên Á Vĩnh Long khám trong tình trạng đau khớp háng phải từ 1 năm nay, đã điều trị nội khoa (uống thuốc giảm đau, kháng viêm…) nhưng vẫn không thuyên giảm, mức độ đau ngày càng tăng dần, đi lại khó khăn, khó tham gia các hoạt động thường ngày, chân phải ngắn hơn chân trái khoảng 2cm.

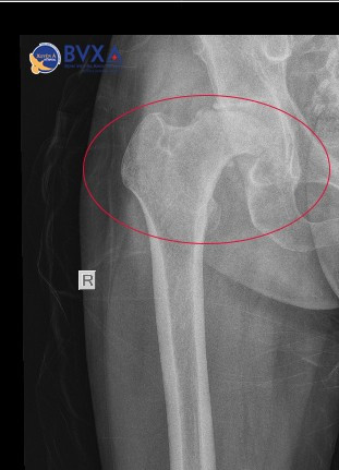
Bệnh nhân đến khám tại Bệnh viện Đa khoa Xuyên Á Vĩnh Long, kết quả chụp X-quang cho thấy rõ hình ảnh hoại tử chỏm xương đùi phải. Người bệnh được các bác sĩ tư vấn cụ thể về tình trạng sức khỏe và phương án phẫu thuật tối ưu nhất là thay khớp háng toàn phần qua lối trên trực tiếp.

Mục đích của thay khớp háng là giúp bệnh nhân hết đau, hồi phục lại những hoạt động bình thường trong sinh hoạt hàng ngày.

chom-xuong-dui-2.jpg
chom-xuong-dui-3.jpg
Thay khớp háng do hoại tử vô khuẩn chỏm xương đùi trên phim chụp - Ảnh BVCC

Ca phẫu thuật được thực hiện dưới sự dẫn dắt của BS.CKI. Phạm Văn Thắng – Phó khoa. Cuộc phẫu thuật được thực hiện trong 2 giờ. Sau phẫu thuật bệnh nhân đã giảm đau nhiều, có thể đi lại được vài ngày sau mổ.

Phẫu thuật thay khớp háng toàn phần là phẫu thuật phức tạp, yêu cầu đội ngũ bác sĩ phẫu thuật có chuyên môn cao và sự phối hợp ăn ý của cả ê kíp phẫu thuật. Với đội ngũ bác sĩ phẫu thuật cần có kinh nghiệm, chuyên môn, cùng sự phối hợp và chuẩn bị kỹ lưỡng cho cuộc phẫu thuật.

hoai-tu-chom-xuong-dui.jpg
Ca phẫu thuật cho bệnh nhân - Ảnh BVCC

Thay khớp háng toàn phần được thực hiện cho tất cả những người bệnh có thoái hóa khớp háng hay hoại tử chỏm xương đùi, biến dạng hoàn toàn hoặc làm cho bệnh nhân đau đớn khi đi lại, thay đổi tư thế.

Với những bệnh nhân cần phẫu thuật thay khớp háng nhưng không được phát hiện sớm và phẫu thuật kịp thời, bệnh nhân sẽ gặp rất nhiều khó khăn trong sinh hoạt, thậm chí mất đi khả năng đi lại, nguy cơ trở thành tàn phế suốt đời.

Việc áp dụng thành công kỹ thuật chuyên sâu trong việc điều trị thay khớp háng đã mở ra cơ hội cho nhiều bệnh nhân cần thay khớp háng có thể nhanh chóng hồi phục và sớm đi lại ngay sau mổ.

chom-xuong-dui.jpg
Tập luyện phục hồi sớm sau phẫu thuật - Ảnh BVCC

Gây đau đớn, ngắn chi và tàn phế

TS Nguyễn Quốc Dũng, Trưởng khoa Phẫu thuật Khớp, Bệnh viện Trung ương Quân đội 108 cho biết, hoại tử vô khuẩn chỏm xương đùi hay còn gọi là hoại tử vô mạch chỏm xương đùi là bệnh có tổn thương hoại tử tế bào xương và tủy xương do thiếu máu nuôi trên chỏm xương đùi.

Vùng hoại tử lúc đầu tạo ra các vùng thưa xương, các ổ khuyết xương, về sau dẫn đến gãy xương dưới sụn, cuối cùng gây xẹp chỏm xương đùi, thoái hóa thứ phát và mất chức năng của khớp háng, dẫn đến tàn phế.

chom-xuong-dui-1.jpg
Thăm khám cho bệnh nhân sau phẫu thuật - Ảnh BVCC

Bệnh thường gặp nhất ở độ tuổi trung niên (20-50 tuổi), nam thường gặp nhiều hơn nữ (nam chiếm 80%). Thương tổn có thể ở một hoặc hai bên khớp háng, khoảng 70% các trường hợp tổn thương xuất hiện một bên.

Ở giai đoạn sớm thường bệnh nhân không có triệu chứng gì đặc biệt. Giai đoạn muộn hơn, triệu chứng chính là đau khớp háng bên tổn thương. Đau thường xuất hiện từ từ, tăng dần, đau tăng lên khi đi lại hoặc đứng lâu, giảm khi nghỉ ngơi. Bệnh nhân thường không có các biểu hiện toàn thân như sốt…trừ các triệu chứng của bệnh nền nếu có (lupus ban đỏ…).

Ở giai đoạn sớm, vận động khớp háng không hạn chế, muộn có biểu hiện hạn chế biên độ vận động khớp háng như bệnh nhân ngồi xổm khó khăn hoặc không ngồi được, bệnh nhân không xoay hoặc dạng khép háng bình thường được, trong khi gấp duỗi gần như bình thường.

Giai đoạn muộn khớp háng hạn chế vận động tất cả các động tác - người bệnh đi đứng khó khăn, thậm chí tàn phế không đi lại được. Bệnh nhân bẹp chỏm và bán sai khớp sẽ dẫn đến ngắn chi và biến dạng chi dưới ở tư thế gấp khép và xoay trong gây mất chức năng khớp háng – không đứng và đi lại được trở thành người tàn phế.

Đặc biệt, hoại tử vô khuẩn chỏm xương đùi sẽ dẫn đến ngắn chi và biến dạng chi dưới, bị co rút phần mềm và teo cơ.

back to top