Tin từ Bệnh viện đa khoa tỉnh Quảng Ninh cho biết, các bác sĩ đã vừa thực hiện một ca mổ 3 phẫu thuật để cấp cứu cho nữ bệnh nhân bị sốc đa chấn thương.
Bệnh nhân là C.T.B (55 tuổi, Vân Đồn, Quảng Ninh) là nạn nhân nặng nề nhất trong vụ tai nạn giao thông khiến 3 người bị thương. Cấp cứu tại Trung tâm y tế (TTYT) huyện Vân Đồn, kíp trực tuyến dưới nhanh chóng liên hệ Bệnh viện Đa khoa tỉnh Quảng Ninh xin ý kiến hội chẩn. Sau khi nắm bắt thông tin vụ tai nạn và tình trạng thiếu máu cấp cứu ở tuyến dưới, lãnh đạo Bệnh viện lập tức huy động máu cùng kíp mổ trực tiếp xuống hỗ trợ sơ cứu hồi sức cho các nạn nhân.
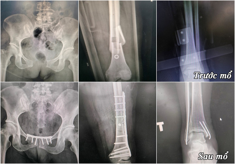
Tại đây, kíp bác sĩ Bệnh viện Đa khoa tỉnh Quảng Ninh và TTYT huyện Vân Đồn phối hợp truyền máu hồi sức, mổ cấp cứu xử trí ban đầu cho 3 nạn nhân. Hội chẩn đánh giá bệnh nhân B. tiên lượng nặng nề nhất với chẩn đoán sốc đa chấn thương, chấn thương khung chậu toác khớp mu, gãy hở phức tạp xương đùi phải, gãy đầu dưới 2 xương cẳng chân phải.
Vì vậy sau khi toàn trạng ổn định, thoát sốc, bệnh nhân được chuyển về Bệnh viện Đa khoa tỉnh, nơi có đầy đủ phương tiện, trang thiết bị để thực hiện phẫu thuật xử trí đa chấn thương cho người bệnh.
![]() |
| 3 phẫu thuật trong 1 cuộc mổ cứu bệnh nhân gãy nhiều xương phức tạp |
3 phẫu thuật kết hợp xương cho bệnh nhân B. được kíp phẫu thuật khoa Chấn thương chỉnh hình thực hiện trong 1 cuộc mổ.
Kíp mổ khoa Chấn thương chỉnh hình do bác sĩ Trần Đình Duy phụ trách phối hợp với bác sĩ CKI Phạm Trung Đức, khoa Gây mê hồi sức thực hiện phẫu thuật. Trong một cuộc mổ, phẫu thuật viên đã đồng thời thực hiện 3 phẫu thuật để xử trí các đa chấn thương phức tạp. Kíp mổ làm sạch ổ gãy phức tạp xương đùi phải, đặt lại ổ gãy về vị trí và cố định lại bằng nẹp vít.
![]() |
| Hình ảnh xương gãy của bệnh nhân trước và sau mổ |
Để xử trí vùng khớp mu toác rộng, phẫu thuật viên khéo léo ép đặt lại khớp và cố định bằng nẹp vít, sau đó khâu phục hồi vết mổ theo giải phẫu. Với tổn thương gãy kín đầu dưới 2 xương cẳng chân phải, các bác sĩ đã thực hiện phẫu thuật kết hợp xương ít xâm lấn với sự hỗ trợ của máy C-arm chụp X-quang di động, giúp người bệnh giảm bớt đau đớn khi phải trải qua nhiều phẫu thuật cùng lúc.
Sau 2 tiếng nỗ lực của kíp phẫu thuật, bệnh nhân thoát khỏi cơn nguy kịch, được chuyển khoa Chấn thương chỉnh hình tiếp tục theo dõi điều trị. Sau mổ 1 tuần, sức khỏe bệnh nhân ổn định, vết mổ khô, ăn uống tốt, bệnh nhân đã ngồi dậy, tự tiểu và đang được y bác sĩ hướng dẫn tập phục hồi chức năng.
Bệnh nhân B. tâm sự: "Số tôi tai nạn đen đủi nhưng may mắn khi được các bác sĩ của Bệnh viện Đa khoa tỉnh và Vân Đồn cứu chữa kịp thời. Thấy mình vẫn còn ngồi được, chân vẫn còn cảm giác mà tôi hạnh phúc lắm. Ai cũng tận tình trách nhiệm với người bệnh, tôi chỉ biết gửi lời cảm ơn chân thành nhất với đội ngũ y bác sĩ ở đây".
![]() |
| Bệnh nhân B. hồi phục tốt, có thể ngồi dậy sau phẫu thuật |
Tuy nhiên, bệnh nhân B. có tổn thương gãy xương phức tạp nhiều vị trí, đặc biệt là gãy xương chậu, toác khớp mu. Đây là loại gãy xương nặng nề, ít gặp, nguy cơ tử vong cao do sốc mất máu và thường trong bệnh cảnh đa chấn thương phức tạp. Chúng tôi quyết định chuyển bệnh nhân từ tuyến dưới về Bệnh viện tỉnh để có đầy đủ trang thiết bị hiện đại, chuyên dụng, thực hiện 3 phẫu thuật trong một cuộc mổ, giúp xử trí triệt để các tổn thương.
Kíp mổ đã thực hiện nắn và kết hợp các xương gãy vùng chậu và đùi phải về đúng giải phẫu. Đối với vị trí gãy xương kín, chúng tôi cũng cố gắng sử dụng kỹ thuật kết hợp xương ít xâm lấn để giảm đau, hạn chế mất máu cho người bệnh. Với nỗ lực của ê-kíp, cuộc mổ 3 phẫu thuật đã diễn ra thành công. Bệnh nhân sau ca đại phẫu phục hồi nhanh, vết thương khớp mu nặng nề song người bệnh đã ngồi dậy được, sức khỏe tiến triển tích cực”.
Bác sĩ khoa Chấn thương chỉnh hình hướng dẫn tập phục hồi chức năng chân cho bệnh nhân B. |
Sự phục hồi của bệnh nhân B. đã khẳng định năng lực, tay nghề chuyên môn vững vàng của đội ngũ bác sĩ khoa Chấn thương chỉnh hình nói riêng cũng như các chuyên khoa sâu của đơn vị y tế hạng I tuyến cuối về chuyên môn của tỉnh, đặc biệt là sự phối hợp cấp cứu liên viện chặt chẽ, xuyên suốt và kịp thời giữa các tuyến trong quá trình cấp cứu các ca bệnh khó, các tình huống bệnh nguy kịch, hiểm nghèo, góp phần mang lại cơ hội hồi phục cho người bệnh, tạo niềm tin cho những trường hợp tai nạn “thập tử nhất sinh” yên tâm điều trị.



Bác sĩ khoa Chấn thương chỉnh hình hướng dẫn tập phục hồi chức năng chân cho bệnh nhân B.