Thời sự

2 người nguy kịch vì uống cồn giả pha nước

Trong gần 1 tháng qua, khoa cấp cứu BVĐK tỉnh Phú Thọ đã tiếp nhận 2 trường hợp ngộ độc nặng do dùng phải cồn giả pha nước để uống. Tình trạng nguy kịch do methanol đang gia tăng người dân cần biết cách phòng tránh.

2 người nguy kịch vì uống cồn giả pha nước

Trường hợp thứ nhất, người bệnh nam uống cồn giả pha nước: người bệnh pha khoảng 100 ml cồn 90 độ với 500 ml nước lọc và uống hết. Sau 1 ngày, người bệnh xuất hiện tình trạng đau bụng, nôn ra dịch nâu, thị lực từ nhìn mờ dần, suy giảm theo chiều hướng xấu đi.

Người bệnh đã được chuyển tuyến đến Bệnh viện đa khoa tỉnh Phú Thọ trong tình trạng mất thị lực; kết quả xét nghiệm khí máu có tình trạng toan hóa máu, được chẩn đoán ngộ độc Methanol.

Người bệnh đã phải lọc máu cấp cứu. Dù sau đó được chuyển lên khoa Chống độc bệnh viện Bạch Mai điều trị nhưng người bệnh vẫn bị mất thị lực.

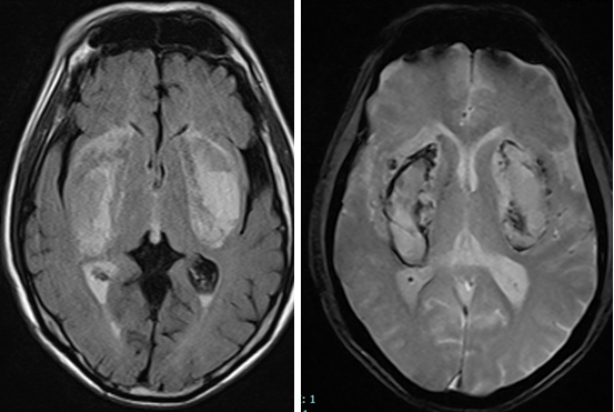
Hình ảnh tổn thương nhồi máu, chảy máu nhân bèo hai bên ở người bệnh ngộ độc Methanol do uống cồn giả pha nướcHình ảnh tổn thương nhồi máu, chảy máu nhân bèo hai bên ở người bệnh ngộ độc Methanol do uống cồn giả pha nước

Trường hợp thứ 2 uống cồn giả pha nước: người bệnh nam 66 tuổi, sau khi uống phải cồn giả pha nước lọc 01 ngày xuất hiện tình trạng đau đầu, nhìn mờ dần, vật vã kích thích, sau đó hôn mê, được nhập viện trong tình trạng hôn mê sâu, toan chuyển hóa nặng do ngộ độc methanol.

Kết quả chụp cộng hưởng từ sọ não cho thấy tổn thương nhồi máu, hoại tử, chảy máu nhân bèo hai bên – đây là dạng tổn thương não điển hình do ngộ độc methanol. Người bệnh dù được hồi sức tích cực, lọc máu, thở máy nhưng tình trạng rất nặng, người bệnh hôn mê sâu, nguy cơ cao đối mặt với tình trạng sống thực vật.

Nguyên nhân là do người bệnh bị ngộ độc cấp methanol nồng độ cao, đến viện muộn nên methanol đã ngấm vào các cơ quan, đặc biệt là não dẫn đến tổn thương não nặng.

Qua hai trường hợp đáng tiếc trên, bác sĩ tại Bệnh viện đa khoa tỉnh Phú Thọ khuyến cáo người dân cần nâng cao cảnh giác không sử dụng các loại rượu không rõ nguồn gốc, cồn sát khuẩn không theo quy định của Bộ Y tế.

Đặc biệt là không được uống cồn, cồn giả pha nước để uống. Khi làm việc trong môi trường có methanol phải sử dụng thiết bị bảo hộ lao động an toàn.

Nếu không may uống phải, hít phải Methanol cần ngay lập tức đến các cơ sở y tế uy tín để được cấp cứu, xử trí kịp thời, tránh nguy hiểm đến tính mạng cũng như hạn chế tối đa các di chứng, nhất là các di chứng ở thần kinh trung ương, di chứng ở mắt.

Gia tăng ngộ độc Methanol vì uống rượu khó phân biệt cồn giả, thật

ThS.BS Bùi Tất Luật, Khoa Cấp Cứu, Bệnh viện đa khoa tỉnh Phú Thọ cho biết, trong thời gian gần đây, tình trạng ngộ độc methanol đang có xu hướng gia tăng.

Trong vòng nửa tháng, bệnh viện đa khoa tỉnh Phú Thọ đã tiếp nhận 2 ca bệnh ngộ độc Methanol do uống phải cồn giả pha nước.

Methanol thường được gọi là cồn công nghiệp, được bán với giá rất rẻ nên dễ bị kẻ xấu sử dụng làm rượu giả, cồn giả pha nước (thay cho ethanol). Đó là lý do nhiều người mua cồn y tế hay các sản phẩm dán nhãn ethanol nhưng thành phần lại có chứa methanol, thậm chí nồng độ methanol rất cao.

Cồn giả có hình thức bên ngoài giống như cồn thật nhưng bên trong chứa thành phần MethanolCồn giả có hình thức bên ngoài giống như cồn thật nhưng bên trong chứa thành phần Methanol

Methanol được hấp thu và gây ngộ độc dễ dàng qua đường tiêu hóa, qua da hoặc qua đường hô hấp. Do methanol được cơ thể chuyển hóa và thải trừ chậm, gây ngộ độc cũng chậm nên khi tiếp xúc mức độ ít trong thời gian dài hoặc lặp lại nhiều lần sẽ tích lũy trong cơ thể và gây ngộ độc sau đó nhiều ngày.

Tình trạng này hay gặp ở người nghiện rượu, người thường xuyên uống rượu không rõ nguồn gốc, cồn giả pha nước uống thay rượu, người lao động trong môi trường tiếp xúc với methanol nhưng không có bảo hộ lao động…

Hoặc người bệnh có thể tiếp xúc với methanol liều cao một lần nhưng không biết, và tới 1-2 ngày sau mới biểu hiện nhiễm độc (hay gặp với trường hợp sử dụng sản phẩm giả có chứa methanol).

Một số biểu hiện khi bị ngộ độc methanol

Ngộ độc cấp tính: mờ mắt, giảm thị lực, mù, đau đầu, buồn nôn, nôn, rối loạn ý thức, hôn mê, co giật, tổn thương não, nhiễm toan chuyển hóa, sốc, tổn thương đa tạng, tử vong.

Ngộ độc mạn tính: đau đầu, chóng mặt, choáng váng, mất ngủ, rối loạn tâm thần viêm kết mạc, nhìn mờ, mù…

Di chứng nặng nề nhất là di chứng mắt và não: mù mắt, giảm thị lực, hôn mê, rối loạn vận động, sống thực vật, thậm chí tử vong.

back to top