Vừa qua, Các bác sĩ Khoa Ngoại thần kinh, Bệnh viện Việt Nam – Thụy Điển Uông Bí đã phối hợp với giáo sư đầu ngành về phẫu thuật thần kinh - Bệnh viện Hữu nghị Việt - Đức, tiến hành vi phẫu cắt u màng não bằng kính hiển vi phẫu thuật cho người bệnh có khối u não lớn, phức tạp.
![]() |
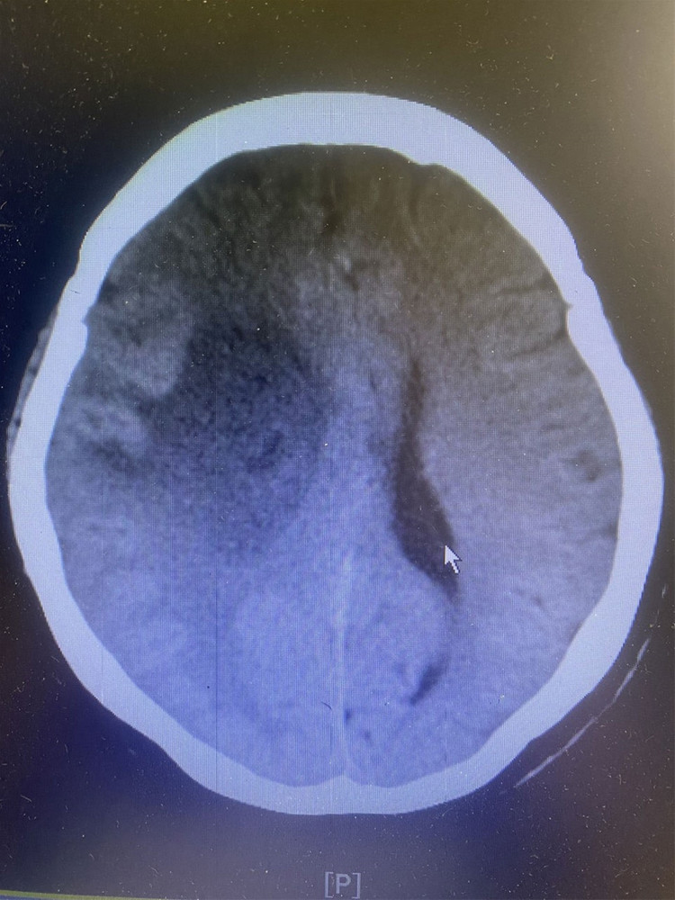
Người bệnh là D. T. C. 66 tuổi (trú tại Trưng Vương – Uông Bí), người bệnh có tiền sử tăng huyết áp. Khoảng 3 ngày trước khi nhập viện, người bệnh có biểu hiện yếu nửa người trái. Trên hình ảnh chụp cắt lớp vi tính sọ não phát hiện khối u não vùng đỉnh phải kích thước 4,7x5,6cm.
![]() |
| Khối u não khổng lồ trên phim chụp |
Tiến hành hội chẩn liên khoa, các bác sĩ nhận định đây là một ca phẫu thuật phức tạp do vị trí khó tiếp cận, ảnh hưởng đến rất nhiều chức năng quan trọng, nguy cơ chảy máu cao, nguy hiểm đến tính mạng. Để đạt được hiệu quả cao, các bác sĩ đã thống nhất tiến hành phẫu thuật vi phẫu cắt u màng não bằng kính hiển vi phẫu thuật.
Ca mổ kéo dài gần 3 tiếng, các bác sĩ lấy được toàn bộ khối u mà không làm tổn thương đến các cấu trúc khác của não.
![]() |
| Phim chụp lại sau phẫu thuật |
Sau 10 ngày theo dõi và điều trị, người bệnh tỉnh táo, sức khỏe ổn định và đã được xuất viện.


