Sức khoẻ 360

16 y bác sĩ ép tim liên tục gần 2 giờ cứu sống người bệnh nhồi máu cơ tim

Ngừng tim do nhồi máu cơ tim cấp có tỷ lệ tử vong rất cao, khoảng 25% người bệnh tử vong ngay trong vài phút, 10% người bệnh có thể cứu sống được.

Một ca cấp cứu “nghẹt thở” vừa diễn ra tại Bệnh viện Đa khoa tỉnh Phú Thọ khi người bệnh đột ngột bị ngừng tim, các bác sĩ và điều dưỡng đã ép tim liên tục gần 2 giờ đồng hồ, sốc điện phá rung thất 15 lần để cứu sống người bệnh nhồi máu cơ tim cấp bị ngừng tuần hoàn. Điều kỳ diệu là người bệnh hồi phục hoàn toàn, không để lại di chứng thần kinh.

“Thời gian không tính bằng giây mà tính bằng từng nhịp thở”

Người bệnh P.V.H (trú tại phường Nông Trang, tỉnh Phú Thọ) có tiền sử tăng huyết áp, điều trị thuốc hàng ngày. Khoảng 2 giờ trước khi vào viện, người bệnh bất ngờ xuất hiện cơn tức ngực, khó thở và được đưa đến Bệnh viện Đa khoa tỉnh Phú Thọ cấp cứu.

ep-tim-1.jpg
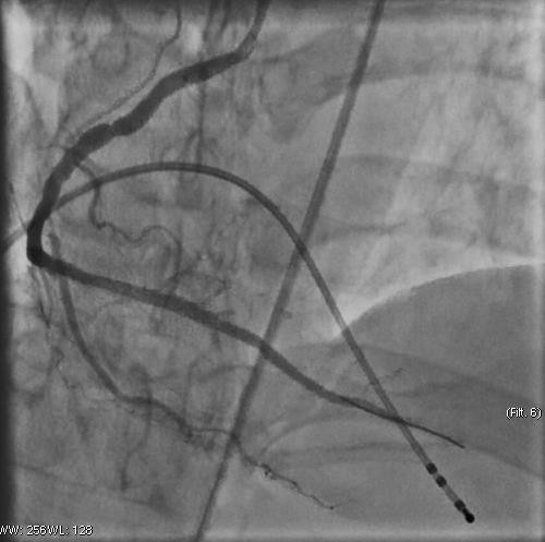
Hình ảnh động mạch vành phải bị tắc hoàn toàn - Ảnh BVCC

Kết quả thăm khám cho thấy người bệnh bị nhồi máu cơ tim cấp trên nền tăng huyết áp và nhanh chóng được chuyển lên Khoa Can thiệp tim mạch thực hiện can thiệp cấp cứu.

Tuy nhiên, trên đường đến phòng can thiệp, người bệnh bất ngờ xuất hiện ngừng tuần hoàn. Ngay lập tức, ekip bác sĩ, điều dưỡng đi cùng đã tiến hành hồi sức tim phổi cho người bệnh và kiên trì ép tim dọc hành lang về đến buồng bệnh cấp cứu.

Hệ thống “báo động đỏ” toàn viện được kích hoạt, huy động khẩn cấp gần 20 bác sĩ, điều dưỡng từ nhiều khoa tham gia cấp cứu người bệnh.

Các nhân viên y tế tiến hành ép tim ngoài lồng ngực liên tục, kết hợp sốc điện phá rung thất nhiều lần và dùng các thuốc cấp cứu. Mỗi giây trôi qua đều căng thẳng đến nghẹt thở. Người mệt đã có người khác sẵn sàng tiến lên thay thế với mệnh lệnh: Duy trì ép tim liên tục, tuyệt đối không bỏ cuộc!

Kết quả, sau gần 2 giờ đồng hồ tập trung toàn lực, ép tim không ngừng nghỉ, 15 lần sốc điện, mọi con mắt hướng về chiếc monitor đặt trên đầu giường, mọi con tim tập trung lắng nghe từng dấu hiệu sinh tồn… cuối cùng, nhịp tim của người bệnh đã trở lại. Cả ê-kíp vỡ òa hạnh phúc.

ep-tim-2.jpg
ep-tim-3.jpg
Ê - kíp can thiệp đã tiến hành đặt máy tạo nhịp tim cho người bệnh và đặt 1 stent vào vị trí bị tắc. Sau khi can thiệp đặt stent, động mạch vành đã được tái thông - Ảnh BVCC

Tim đập nhưng người bệnh vẫn ngàn cân treo sợi tóc

Có lại nhịp tim mới chỉ là bước đầu. Tình trạng của người bệnh vẫn đang “ngàn cân treo sợi tóc” vì nguyên nhân gây ngừng tim là do nhồi máu cơ tim vẫn còn đó, tim có thể tiếp tục ngừng đập bất kỳ lúc nào. Người bệnh nhanh chóng được chuyển vào phòng can thiệp tim mạch để chụp và can thiệp mạch vành tái thông mạch vành bị tắc.

Tại phòng can thiệp các bác sĩ đã tiến hành Chụp động mạch vành cho kết quả: động mạch vành phải bị tắc hoàn toàn. Do thời gian ngừng tuần hoàn quá dài, người bệnh rơi vào tình trạng suy đa tạng, tình trạng sốc tim và rối loạn nhịp tim vẫn còn. Sau can thiệp, người bệnh được chuyển về Khoa Hồi sức tích cực – Chống độc để điều trị hồi sức chuyên sâu.

ep-tim-4.jpg
Người bệnh khi mới được chuyển về điều trị tích cực tại khoa Hồi sức tích cực – Chống độc - Ảnh BVCC

Tại đây, ê-kíp áp dụng đồng thời nhiều biện pháp hồi sức chuyên sâu như: Hồi sức thần kinh (an thần, hạ thân nhiệt chỉ huy…), hồi sức suy đa tạng (thở máy, lọc máu liên tục, lọc máu hấp phụ, lọc thận nhân tạo, thăm dò huyết động PICCO). Tình trạng người bệnh dần được cải thiện, dù vẫn được tiên lượng rất nặng nề.

Trong suốt quá trình theo dõi và điều trị, các bác sĩ tại nhiều chuyên khoa sâu như Tim mạch, Hồi sức tích cực – chống độc… liên tục họp hội chẩn, đưa ra những phương án tốt và phù hợp nhất với thể trạng người bệnh.

Nhờ sự phối hợp nhịp nhàng giữa các chuyên khoa, quyết tâm cao của tập thể cán bộ, nhân viên y tế tại khoa, sau 10 ngày điều trị tích cực, người bệnh đã cai được máy thở, tỉnh táo hoàn toàn, và đặc biệt là không có di chứng thần kinh. Các chỉ số huyết động và chức năng tim, chức năng các tạng dần hồi phục. Sau 15 ngày điều trị, người bệnh phục hồi tốt, có thể ăn uống, đi lại, sinh hoạt bình thường và được ra viện.

ep-tim-5.jpg
ThS.BS Nguyễn Văn Sơn và ê- kíp can thiệp cho người bệnh.

25% người bệnh tử vong ngay trong vài phút

ThS.BS Nguyễn Văn Sơn – Trưởng khoa Can thiệp tim mạch cho biết: Ngừng tim do nhồi máu cơ tim cấp là biến chứng nghiêm trọng với tỷ lệ tử vong rất cao. Nếu không được điều trị, khoảng 25% người bệnh tử vong ngay trong vài phút, và chỉ khoảng 10% người bệnh có thể cứu sống được.

Thông thường, các trường hợp ngừng tuần hoàn trong nhồi máu cơ tim nếu không tái lập được nhịp tim trong vòng vài chục phút thì tỷ lệ sống sót đã rất thấp. Ở ca bệnh này, thời gian ép tim gần 2 giờ liên tục là một trường hợp rất hiếm gặp, rất hiếm xảy ra trong thực hành lâm sàng.

Đây là thử thách lớn cho cả ê-kíp, bởi không chỉ đòi hỏi kỹ thuật ép tim hiệu quả, phối hợp nhịp nhàng giữa các khâu sốc điện, thuốc cấp cứu, mà còn phải duy trì sự kiên trì, bền bỉ suốt thời gian dài.

Mỗi ngày trôi qua là một cuộc chiến cân não, mỗi phút giây đều trở nên nghẹt thở

ep-tim-6.jpg
TS.BS Hà Thị Bích Vân và ThS.BS Trần Ngọc Anh kiểm tra sức khỏe cho người bệnh - Ảnh BVCC

Chia sẻ về ca bệnh đặc biệt, TS.BS Hà Thị Bích Vân – Trưởng khoa Hồi sức tích cực – Chống độc cho biết: "Khi tiếp nhận người bệnh, chúng tôi phải đối diện với một tình huống vô cùng thách thức: người bệnh vừa trải qua thời gian ngừng tuần hoàn gần 2 giờ, nguy cơ tổn thương não rất cao và tình trạng suy đa tạng phức tạp. Ngay lập tức, ê-kíp đã triển khai đồng thời nhiều biện pháp hồi sức chuyên sâu.

Mỗi ngày trôi qua là một cuộc chiến cân não, bởi dù các chỉ số có cải thiện, chúng tôi vẫn phải chờ đợi dấu hiệu hồi phục thần kinh rõ rệt. Khoảnh khắc người bệnh mở mắt, làm theo y lệnh, trí nhớ, lời nói, vận động đều bình thường – đó là giây phút vỡ òa hạnh phúc. Những giọt nước mắt không thể kìm nén của cả các bác sĩ, điều dưỡng và người nhà người bệnh đều không ngừng tuôn rơi".

Hạnh phúc khi chứng kiến chồng hồi phục từng ngày, chị T.L cho biết: "Giây phút chứng kiến chồng ngừng tim ngay trước cửa thang máy, trái tim tôi như thắt lại, chân tay run rẩy, hoảng loạn. Đứng bên ngoài chứng kiến các bác sĩ liên tục chạy ra chạy vào dồn dập, rồi thời gian chờ đợi từng giây trôi qua đến cả tiếng đồng hồ nhưng chồng vẫn chưa tỉnh, tôi đã nghĩ đến tình huống xấu nhất và ngất đi lúc nào không hay.

Nằm trên giường bệnh phòng bên cạnh nhưng lòng vẫn dõi theo các bác sĩ ở phòng cấp cứu, khi nghe một bác sĩ hét lên “có tim rồi” trái tim tôi như lạc nhịp. Nước mắt tuôn rơi. Tôi biết, chồng mình đã được cứu. May mắn cho chồng tôi và gia đình khi được các bác sĩ hết lòng cứu chữa".

ep-tim-8.jpg
Các bác sĩ, điều dưỡng khoa Hồi sức tích cực – Chống độc tặng hoa chúc mừng người bệnh - Ảnh BVCC

Ca bệnh của người bệnh P.V.H không chỉ ghi dấu như một kỳ tích y khoa hiếm gặp, mà còn thể hiện rõ bản lĩnh, trình độ chuyên môn và tinh thần tận tụy của đội ngũ nhân viên y tế Bệnh viện Đa khoa tỉnh Phú Thọ. Đằng sau từng phút giây căng thẳng trong phòng cấp cứu là sự phối hợp ăn ý giữa nhiều chuyên khoa, là quyết tâm “còn nước còn tát” để bảo vệ sự sống của người bệnh.

Việc người bệnh hồi phục hoàn toàn, tỉnh táo và không di chứng thần kinh sau một thời gian ngừng tim dài như vậy không chỉ cho thấy năng lực của đội ngũ cán bộ nhân viên y tế mà còn khẳng định hiệu quả của quy trình “báo động đỏ” toàn viện, sự phối hợp chặt chẽ giữa các chuyên khoa và tinh thần quyết tâm không bỏ cuộc của đội ngũ nhân viên y tế.

ThS.BS Trần Ngọc Anh (Bệnh viện Đa khoa Phú Thọ)

back to top