Thời trang nịt bụng, đẹp tức thời, hại lâu dài Đời sống 247 01/08/2025 07:47 Nịt bụng giúp tạo dáng eo thon trong vài phút, nhưng đằng sau lớp vải siết chặt đó là hàng loạt nguy cơ tiềm ẩn cho sức khỏe.
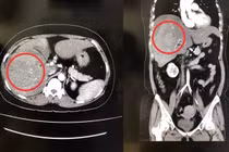
Dùng dây đai nịt bụng để giảm cân, người phụ nữ bị vỡ gan Đời sống 247 23/02/2023 15:07 Nữ bệnh nhân 39 tuổi nhập viện với tình trạng vỡ gan, chảy máu ổ bụng do sử dụng dây đai nịt bụng để giảm cân trong thời gian dài