Khi dị vật đâm thủng thành dạ dày, dịch tiêu hóa có thể tràn vào khoang bụng, gây viêm phúc mạc nghiêm trọng. Nếu không can thiệp kịp thời, bệnh nhân có thể đối mặt với những biến chứng nguy hiểm, thậm chí nguy cơ tử vong cao.
Bệnh nhân nữ 28 tuổi đến khám vì đau họng, nuốt vướng đến khám tại Phòng khám đa khoa Hùng Vương –Sơn Dương, được chỉ định nội soi họng phát hiện dị vật nằm sâu tại vị trí hạ họng.
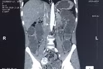
Sau khi khám, bác sĩ phát hiện bạch cầu của người phụ nữ tăng quá mức nghiêm trọng, đây là dấu hiệu cảnh báo bệnh viêm phúc mạc, trong ruột non có những mảnh dị vật, nghi là xương cá mà cô đã nuốt phải vài ngày trước.
Nam thanh niên 17 tuổi (ở Kiên Giang), thường xuyên bị sốt, ăn uống khó khăn, có khối sưng to ở cổ, sợ bị ung thư nên đi khám. Tuy nhiên, kết quả xác định nam thanh niên bị hóc xương cá "di cư" ra vùng cổ.
Chỉ vì nuốt cơm, uống vitamin C để xử lý hóc xương cá người bệnh đã phải phẫu thuật vùng cổ cấp cứu nếu không sẽ bị nhiễm trùng huyết, nguy hiểm tính mạng.
(khoahocdoisong.vn) - Trẻ em và người cao tuổi phải thận trọng khi ăn cá vì nếu nuốt phải xương, dễ dẫn đến viêm phúc mạc, thủng đại tràng do xương cá.
(khoahocdoisong.vn) - Trong bữa ăn, nhất là bữa ăn có cá thì không nên nói chuyện nhiều mà nên tập trung ăn để không hóc. Hóc xương cá rất nguy hiểm. Đã có những trường hợp hóc xương, xương chui vào phế quản gây ho, sốt liên tiếp, đau ngực, sau bệnh nhân ho ra cả máu.
(khoahocdoisong.vn) - Loại thực phẩm và thói quen ăn quá nhanh, nhai không kỹ chất xơ, cứng, ăn chất chát... là một trong những nguyên nhân mang tính nguy cơ gây tắc ruột do bã thức ăn.
Chiếc xương cá nằm trong thực quản người đàn ông cả tháng trời. Đến khi ông thấy đau, chịu không nổi và chiếc xương cá cũng xuyên qua thực quản, lòi ra ngoài thì gia đình mới tá hỏa đưa ông đi bệnh viện.