Ù tai không phải triệu chứng phổ biến của phình tách động mạch cảnh song khi xuất hiện cùng biểu hiện đau đầu, mờ mắt, đau cổ thì có thể là dấu hiệu cảnh báo bệnh.
Tình trạng đau nhức cơ thể có thể xảy ra do nhiều nguyên nhân khác nhau: nhiễm trùng, bệnh tật hoặc một số loại thuốc nhất định... Xác định được nguyên nhân chính xác gây đau để có biện pháp kiểm soát và điều trị bệnh hiệu quả.
Thoái hóa cột sống là căn bệnh mãn tính, không thể điều trị dứt điểm được. Khi thoái hóa đốt sống cổ ở mức độ nhẹ, cần nghỉ ngơi, thư giãn, kết hợp vật lý trị liệu an toàn và dùng thuốc theo đúng chỉ định của bác sĩ.
Tình trạng ngủ dậy đau cổ vai gáy xảy ra ở rất nhiều người bởi nhiều lý do khác nhau, có thể là do ngủ sai tư thế hoặc do căng thẳng kéo dài... Dưới đây là một số mẹo giảm đau cổ khi ngủ sai tư thế.
Mới đây, một người phụ nữ họ Chu ở quận Bảo An, thành phố Thâm Quyến, tỉnh Quảng Đông (Trung Quốc), trong lúc ăn cháo vô tình nuốt phải hai miếng sườn nhưng không hề biết. Kết quả, thực quản bị thủng, khiến cô Chu vô cùng đau đớn.
Những thói quen nhiều người mắc phải như: ngồi lâu ngủ trên sofa, đeo túi quá nặng, nằm đọc sách… là những thói quen rất tai hại khiến cổ, lưng và vai của bạn bị đau mỏi, biến dạng.
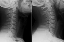
(khoahocdoisong.vn) - Việc cột sống cổ có đường cong sinh lý bình thường đóng một vai trò quan trọng nhưng lại thường bị bỏ qua. Ở nhiều bệnh nhân bị đau cổ, đường cong này bị mất đi, dẫn đến các vấn đề cơ sinh học, mà có thể dẫn đến thoái hóa các đĩa đệm và đặc biệt có thể gây giảm lưu thông máu đến não bộ.
(khoahocdoisong.vn) - Thoái hóa các đốt sống cổ, lệch đĩa đệm đòi hỏi phải chữa kiên trì, đồng thời kết quả điều trị tiến triển chậm hoặc không tiến triển, điều trị chủ yếu là nội khoa và vật lý trị liệu phục hồi chức năng.
(khoahocdoisong.vn) - khi ngồi máy vi tính cũng như khi xem ti vi, mọi người thường ngồi ở tư thế gù lưng xuống khiến cho các cơ cổ bị kéo căng hết mức và lưng gập gù lại. Tư thế này kéo dài sẽ khiến cột sống bị cong dễ dẫn tới trượt đốt sống và đau cột sống, đặc biệt vùng cổ.
(khoahocdoisong.vn) - Đau cổ vai gáy ảnh hưởng rất nhiều đến chất lượng cuộc sống, đến công việc. Nếu biết điều chỉnh tư thế làm việc, luyện tập, ăn uống hợp lý, khám điều trị đúng cách... sẽ mang lại hiệu quả.
(khoahocdoisong.vn) - Đau vai gáy, viêm khớp vai, khuỷu tay, cổ tay, xơ cứng khớp và dây chằng, các chấn thương khớp và cánh tay rất thường gặp, nhất là ở người cao tuổi. Với 5 động tác thở dưới đây sẽ có tác dụng phòng, trị liệu và phục hồi, trả lại chức năng sinh lý bình thường cho chi trên.
(khoahocdoisong.vn) - Đau nhức cột sống cổ, đau lan vai và tay luôn khiến người bệnh khó chịu. Các tư thế và bài tập dưới đây giúp phục hồi và phòng ngừa bệnh.
(khoahocdoisong.vn) - Đau cứng cổ ngoài bệnh lý: hẹp ống sống cổ, nhiễm trùng, các bệnh lý đĩa đệm thì bất cứ hoạt động nào khiến cổ của bạn ở tư thế không thoải mái trong thời gian dài có thể khiến cơ vùng cổ bị mỏi và co thắt.