Theo Sở Y tế TP HCM, HMPV không phải là virus mới, từng được phát hiện là một trong những tác nhân gây viêm hô hấp ở trẻ em trong các năm 2023 và 2024.
Mới đây, một nghiên cứu gây bất ngờ với các y bác sĩ tại hội nghị thường niên về hô hấp đó là giảm 40% thời gian điều trị cúm nhờ xịt bào tử lợi khuẩn vào tai mũi họng,
Bệnh lý đường hô hấp ở trẻ em rất phức tạp và dễ gây biến chứng, thậm chí có thể tử vong. Tuy tây y đạt được nhiều thành tựu nhưng trong không ít trường hợp đông y phát huy hiệu quả tốt.
Bệnh lý đường hô hấp ở trẻ em rất phức tạp và dễ gây biến chứng, thậm chí có thể tử vong. Tuy tây y đạt được nhiều thành tựu nhưng trong không ít trường hợp đông y phát huy hiệu quả tốt.
Trong mùa lạnh, bệnh nhân COPD rất dễ nhiễm các loại virus và vi khuẩn gây viêm đường hô hấp trên và dưới, làm tăng tình trạng co thắt phế quản, tăng dịch nhầy trong đường hô hấp... Vì vậy, cần phải phòng tránh.
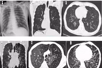
2 bệnh nhân mắc hội chứng Kartagener, đảo ngược phủ tạng hiếm gặp được phát hiện từ các triệu chứng viêm đường hô hấp tái diễn nhiều lần. Xét nghiệm gene hội chứng Kartagener thường khó thực hiện và tốn kém, chủ yếu dựa vào biểu hiện của tam chứng.
Thời tiết thay đổi thất thường làm gia tăng các bệnh ở trẻ, trong đó có các bệnh về đường hô hấp. Vì vậy, cần lưu ý để phòng bệnh cho trẻ là điều vô cùng quan trọng.
Không chỉ Hà Nội, tại TPHCM, số trẻ nhập viện do viêm đường hô hấp tăng đột biến. Nhiều loại virus gây bệnh nặng và trẻ dễ tái nhiễm, nếu cha mẹ không biết cách đề phòng.
Từ tháng 8 đến ngày 12/9, Bệnh viện Nhi TƯ đã tiếp nhận 412 ca nhiễm virus Adeno, tăng hơn 44,1% so với cùng kỳ. Hiện 6 bệnh nhi đã tử vong, 70 bệnh nhân viêm phổi nặng, suy hô hấp.
Cúm A thường xuất hiện vào mùa Đông Xuân nhưng hiện tại giữa những ngày nắng nóng, Hà Nội ghi nhận nhiều trường hợp mắc cúm A đến thăm khám và điều trị. Cúm A gây ra bởi các chủng của virus cúm A như H1N1, H5N1, H7N9…. nên mọi người cần chú ý đề phòng.
Thời tiết thay đổi thất thường, lúc nóng hầm hập, lúc mưa ào ào dễ làm tăng nguy cơ mắc các bệnh đường hô hấp, truyền nhiễm ở trẻ. Tình trạng trẻ nhập viện đồng loạt mắc nhiều bệnh đang tăng cao từ 150 – 200% tại các trung tâm nhi khoa. Nhiều sai lầm trong điều trị khiến trẻ nguy kịch.
(khoahocdoisong.vn) - Viêm đường hô hấp là bệnh lý thường gặp gây nhiều ảnh hưởng tới cuộc sống và sinh hoạt. Có thể phòng chống được căn bệnh này bằng 5 phép tập cơ bản trong “khai mở lục căn của Kim cương khí công”.
(khoahocdoisong.vn) - Khi tiết trời trở lạnh, độ ẩm lúc cao lúc thấp khiến mật độ vi khuẩn, virus gây bệnh trong không khí gia tăng. Mùa đông thường chứa rất nhiều yếu tố tà khí như phong, hàn, khi cơ thể suy yếu, chính khí suy giảm, các yếu tố này sẽ xâm nhập vào cơ thể gây bệnh cảm lạnh, cảm cúm, viêm đường hô hấp, hắt hơi, sổ mũi.
(khoahocdoisong.vn) - Nếu không được phát hiện và điều trị kịp thời bệnh viêm xoang có thể gây ra những biến chứng nguy hiểm như viêm dây thần kinh, viêm màng não, áp xe não, viêm xương… có thể đe dọa đến tính mạng.
Sáng 28/7, Việt Nam không ghi nhận ca mắc Covid-19 mới. Trong số 15 ca mắc Covid-19 mới được công bố những ngày qua, 2 bệnh nhân 416, 418 vẫn diễn biến rất nặng.
(khoahocdoisong.vn) - Nếu để kéo dài từ 7 - 10 ngày, bệnh viêm họng cấp có thể gây ra các biến chứng như viêm tai, viêm amidan, viêm xoang, viêm thanh quản, viêm phế quản...
(khoahocdoisong.vn) - Đây là hội chứng bệnh có tính kinh niên, kéo dài cả đời, nếu không biết cách chăm sóc thích hợp có thể đưa đến những biến chứng nguy hiểm.
(khoahocdoisong.vn) - Viêm xoang tức là viêm lớp niêm mạng lót trong lòng các xoang do nguyên nhân từ viêm mũi đi vào. Nếu con bạn viêm mũi kéo dài sẽ dẫn đến nguy cơ bị xoang.
Viêm thanh quản mạn tính đặc trưng bởi tình trạng khản tiếng kéo dài, ảnh hưởng nhiều tới chất lượng cuộc sống. Vậy viêm thanh quản mạn tính là gì? Làm sao để cải thiện tình trạng này hiệu quả tại nhà? Mời bạn tìm hiểu thông tin trong bài viết sau.