Nhờ phối hợp liên chuyên khoa, các bác sĩ Bệnh viện Vinmec Cần Thơ đã điều trị thành công ca viêm amidan cấp biến chứng kèm viêm tai giữa mủ ở trẻ nhỏ.
Trẻ bị dị vật mũi có thể để lại vấn đề nhiễm trùng, khiến trẻ ốm sốt cũng như có thể gây các bệnh viêm nhiễm đường hô hấp trên như viêm mũi, viêm amidan, viêm họng,…
Viêm amidan là bệnh lý khá phổ biến ở mọi lứa tuổi, trong đó có trẻ nhỏ. Trẻ bị viêm amidan tái phát ở trẻ em nếu không được xử lý đúng cách có thể khiến bệnh diễn biến nặng và gây biến chứng nguy hiểm.
Viêm amidan là bệnh thường gặp ở trẻ em, người trưởng thành cũng mắc nhưng ít hơn, thường dễ tái đi tái lại. Vậy có nên cắt khi amidan bị viêm nhiều lần?
Người bệnh bị viêm amidan tái phát nhiều lần thì amidan không còn tác dụng bảo vệ mà lại trở thành ổ viêm gây hại cho cơ thể, khi đó sẽ có chỉ định cắt amidan.
(khoahocdoisong.vn) - Từ đầu năm đến nay Bệnh viện Nhi T.Ư đã phẫu thuật cho hơn 400 trẻ bị viêm amidan, trong đó phần lớn do amidan quá phát. Bệnh gây nhiều biến chứng nguy hiểm, làm ảnh hưởng nhiều đến kết quả học tập, sức khỏe và chất lượng cuộc sống của trẻ... nên cần nhận biết chữa trị sớm.
(khoahocdoisong.vn) - Viêm amidan dễ tái phát lúc giao mùa, thay đổi thời tiết, khi ra ngoài trời lạnh quá lâu mà không bảo vệ giữ ấm cơ thể, đặc biệt vùng cổ họng.
Viêm thanh quản cấp ở người lớn khiến cho niêm mạc thanh quản bị phù nề, gây khản tiếng, mất tiếng, dẫn đến nhiều phiền toái cho người mắc. Vậy đâu là giải pháp để đối phó với tình trạng này an toàn, hiệu quả?
(khoahocdoisong.vn) - Khàn tiếng kéo dài không chỉ tác động tiêu cực tới công việc, cuộc sống của người mắc, mà còn cảnh báo những vấn đề sức khỏe nghiêm trọng tại dây thanh. Dưới đây là các bệnh lý nguy hiểm gây ra tình trạng này.
Viêm amidan là bệnh lý về đường hô hấp trên phổ biến ở cả người lớn và trẻ nhỏ. Vậy nguyên nhân nào gây ra viêm amidan ở người lớn và làm sao để cải thiện tình trạng này hiệu quả? Mời bạn tìm hiểu thông tin trong bài viết sau!
Viêm thanh quản mạn tính đặc trưng bởi tình trạng khản tiếng kéo dài, ảnh hưởng nhiều tới chất lượng cuộc sống. Vậy viêm thanh quản mạn tính là gì? Làm sao để cải thiện tình trạng này hiệu quả tại nhà? Mời bạn tìm hiểu thông tin trong bài viết sau.
Khàn tiếng là tình trạng khá phổ biến, gây ảnh hưởng không nhỏ tới sức khoẻ và chất lượng cuộc sống của người mắc. Nếu cũng đang bị khàn tiếng và mong muốn cải thiện tình trạng này nhanh chóng thì bạn đừng bỏ qua 5 bài thuốc dưới đây.
(khoahocdoisong.vn) - Trong Đông y, viêm amiđan, thường gọi là bệnh nhũ nga. Viêm amiđan cấp tính thường gọi phong nhiệt nhũ nga, còn viêm amiđan mạn tính thường gọi hư hỏa nhũ nga. Viêm amidan là một bệnh thường gặp trong các bệnh đường hô hấp, nhất là ở trẻ em.
Khàn tiếng không chỉ ảnh hưởng tới khả năng giao tiếp, làm giảm hiệu quả công việc mà nó còn là biểu hiện của một số bệnh lý tiềm ẩn trong cơ thể. Vậy khàn tiếng là biểu hiện của bệnh gì và làm sao để cải thiện hiệu quả? Mời bạn tìm hiểu thông tin chi tiết trong bài viết sau.
(khoahocdoisong.vn) - Viêm amidan thông thường có thể tự khỏi mà không cần điều trị. Tuy nhiên, không ít trường hợp viêm amidan có thể gây biến chứng nguy hiểm.
Trong họng tôi có xuất hiện hạt trắng có mùi hôi và một thời gian sau hạt trắng đó lại rụng đi. Xin hỏi đấy là bệnh gì và có phải là nguyên nhân gây hôi miệng?
(Khoahocdoisong.vn) - Nhiều người cứ nghĩ amiđan là bộ phận không cần thiết nên khi bị sưng viêm, đến bệnh viện yêu cầu cắt bỏ. Tuy nhiên thực tế không phải ai bị viêm amiđan cũng có chỉ định phẫu thuật.
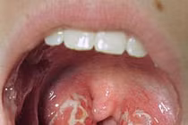
(khoahocdoisong.vn) - Viêm amidan hốc mủ là một dạng mạn tính của bệnh viêm amidan. Đây là chứng bệnh khó chữa và gây rất nhiều phiền toái cho người mắc. Dưới đây là 3 bài thuốc đặc trị viêm amidan hốc mủ rất tốt cho bạn.
(khoahocdoisong.vn) - Viêm amidan là bệnh chứng phổ biến nhất là ở trẻ em bên cạnh điều trị bằng y học hiện đại, chữa viêm amidan bằng Đông y cũng có nhiều hiệu quả.