Ê-kíp phẫu thuật giải phóng cấu trúc biến dạng, chỉnh trục cột sống, cố định bằng thanh nẹp – vít. Sau mổ, cột sống bệnh nhân được đưa về trục cân đối tự nhiên.
Vẹo cột sống khởi phát sớm nếu không phát hiện kịp thời gây biến dạng lớn cột sống và lồng ngực, ảnh hưởng tới chức năng tim phổi. Vẹo khởi phát quá sớm có thể ảnh hưởng tới hô hấp, thậm chí gây tử vong.
Vẹo cột sống là tình trạng đường cong sinh lý của cột sống thay đổi, các đốt sống bị cong sang một bên hoặc xoay phức tạp. Dưới đây là một số bài tập hỗ trợ chữa vẹo cột sống đơn giản, hiệu quả tại nhà.
Đau lưng, hạn chế vận động hệ thống cơ xương, dị dạng thân hình, ảnh hưởng đến chức năng hô hấp... là những hậu quả nghiêm trọng của tình trạng cong vẹo cột sống.
(khoahocdoisong.vn) - Anh Nguyễn Mạnh Hiền (Gia Lâm, Hà Nội) bị lệch sống ngực 200 làm vai cao vai thấp. Anh đã tập thể thao, đi vật lý trị liệu để điều chỉnh nhưng không được. Nhiều người bảo anh bệnh này khó chữa, càng lớn xương càng cố định, đi tập cũng chẳng ăn thua, thôi thì chịu vậy làm anh rất buồn.
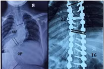
(khoahocdoisong.vn) - Lần đầu tiên Bệnh viện Đa khoa Phú Thọ đã phẫu thuật thành công chỉnh hình cột sống cho trẻ bị vẹo cột sống nặng > 45 độ. Đây là một kĩ thuật phức tạp, thường được triển khai ở bệnh viện tuyến trung ương. Phẫu thuật sớm không chỉ giúp trẻ lấy lại vóc dáng mà còn tránh các biến chứng nguy hiểm về chức năng hô hấp, tim mạch...
(khoahocdoisong.vn) - Biến dạng cột sống rất nặng và cứng nên bắt buộc phải phẫu thuật 2 đường. Phẫu thuật giúp chỉnh cong vẹo, trẻ cao thêm được 11-13cm. Hãy nhận biết các dấu hiệu trẻ bị biến dạng cột sống để cho trẻ đi khám sớm.
(khoahocdoisong.vn) - Vẹo cột sống gây đau lưng, hai chân không bằng nhau, vai nọ cao hơn vai kia, dáng đi không bình thường và khó thở vì xương lồng ngực ép lên phổi. Nếu không được điều trị sớm, bệnh sẽ tiến triển và gây ra hậu quả rất nặng nề.