Bác sĩ cảnh báo nhiều ca gãy xương cánh tay khi chơi vật tay
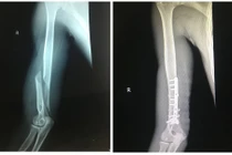
Khi vật tay, lực xoay đột ngột tác động lên xương cánh tay có thể vượt ngưỡng chịu đựng, gây gãy xoắn xương cánh tay, thậm chí di lệch.
Khi vật tay, lực xoay đột ngột tác động lên xương cánh tay có thể vượt ngưỡng chịu đựng, gây gãy xoắn xương cánh tay, thậm chí di lệch.