Bệnh viện Ung bướu thực hiện thành công ca phẫu thuật cắt bỏ ống dạ dày, tái tạo thực quản bằng đại tràng, giúp bệnh nhân duy trì chức năng tiêu hóa tự nhiên.
Ung thư đường tiêu hóa nếu phát hiện ở giai đoạn muộn điều trị phức tạp. Ung thư xâm lấn di căn xa đến các bộ phận khác, gây ra những biến chứng khó kiểm soát.
Can thiệp qua nội soi phế quản ống cứng được áp dụng khá rộng rãi tại các trung tâm y học lớn trên thế giới, được lựa chọn hàng đầu trong hầu hết các thủ thuật can thiệp điều trị qua nội soi phế quản.
Đa phần ung thư thực quản phát hiện ở giai đoạn trễ, khiến điều trị khó khăn và tốn kém, ảnh hưởng đến tiên lượng sống. Phát hiện sớm các dấu hiệu của ung thư thực quản góp phần giúp người bệnh có cơ hội điều trị khỏi bệnh.
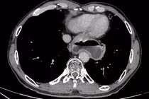
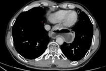
Nuốt nghẹn, ợ chua, sút cân,... người đàn ông 70 tuổi (Hà Nội) đến bệnh viện khám bất ngờ phát hiện ung thư thực quản nghi ngờ di căn phổi. Đặc biệt, trước đây 10 năm ông đã từng phải phẫu thuật cắt 3/4 dạ dày vì ung thư.
Tình trạng nuốt nghẹn ngày càng tăng dần, kèm theo đi tiểu ra máu, người đàn ông đi khám bất ngờ phát hiện mắc cùng lúc ung thư đại tràng và ung thư thực quản.
Ung thư thực quản là một trong những bệnh ung thư gây tử vong cao nhất trên toàn thế giới. Việc lạm dụng rượu và tiêu thụ thức ăn, đồ uống nóng làm tăng nguy cơ bệnh.... Khi bị bệnh cần biết cách sử dụng đúng thực phẩm.
Ung thư thực quản không có triệu chứng rõ ràng nên thường bị bỏ qua. Để phát hiện sớm cần quan tâm tới các biến đổi của cơ thể, nhất là khi cảm thấy mệt mỏi, gầy sút, ăn không ngon, chán ăn, nuốt nghẹn...
Khi bác sĩ nội soi dạ dày phát hiện toàn bộ thực quản của cô Vương bị bỏng, vết bỏng này lan rộng khắp khoang thực quản, dài 22 cm, da cũng bị bong ra.
Nuốt nghẹn là triệu chứng thường gặp ở người bệnh ung thư thực quản, màng ngăn thực quản chỉ chiếm 5 - 15% các trường hợp. Do đó, cần đi khám sớm tránh những hậu quả nặng nề có thể xảy ra.
Người bị ung thư thực quản sẽ gặp khó khăn trong ăn uống, đặc biệt là quá trình nuốt thức ăn. Vì thế trong thực đơn cho người bị ung thư thực quản cần chú ý lựa chọn những thực phẩm phù hợp để người bệnh dễ dàng ăn uống.
Thay vì vừa mổ nội soi ngực vừa mổ mở để tạo hình thực quản bằng dạ dày cho bệnh nhân ung thư thực quản, lần đầu tiên các bác sĩ Bệnh viện Đa khoa Quảng Ninh đã thực hiện nội soi hoàn toàn giúp bệnh nhân nhanh hồi phục.
Lần đầu tiên Bệnh viện E T.Ư đã thực hiện thành công kỹ thuật nội soi toàn bộ cả thì bụng và thì ngực cho bệnh nhân bị ung thư thực quản. Sự thành công trong kỹ thuật rất khó này mở ra niềm hy vọng mới cho các bệnh nhân.
(khoahocdoisong.vn) - Ung thư thực quản giai đoạn đầu không có những biểu hiện triệu chứng rõ ràng, hoặc thỉnh thoảng mới xuất hiện các triệu chứng kích thích thần kinh nhẹ.
(khoahocdoisong.vn) - Đa phần bệnh nhân ung thư thực quản tại Việt Nam thường đến gặp thầy thuốc khi đã ở giai đoạn muộn, u to xâm lấn ra xung quanh và di căn hạch ... điều này làm hạn chế trong việc điều trị và kết quả nhìn chung không tốt.