Đau loét vùng miệng kéo dài nhưng chủ quan không đi khám, người đàn 60 tuổi, dân tộc Dao phải cắt bỏ toàn bộ lưỡi do vết loét tiển triển thành ung thư.
Ung thư vùng hàm mặt đặc biệt là ung thư khoang miệng có tỷ lệ xuất hiện ngày càng nhiều ở Việt Nam. Sau phẫu thuật cắt triệt để khối u bệnh nhân phải tạo hình che phủ. Việc chăm sóc và dinh dưỡng rất quan trọng để hồi phục.
Nhiều người chủ quan với những vết loét nhẹ trong miệng hay đánh răng thấy đau lưỡi, cho rằng triệu chứng bình thường mà không biết đó có thể là dấu hiệu của ung thư khoang miệng.
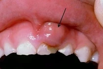
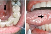
(khoahocdoisong.vn) - Hầu hết người bị bệnh ung thư khoang miệng không có cảm giác đau ở giai đoạn sớm. Biểu hiện ban đầu của bệnh chỉ là các điểm có màu trắng hoặc đỏ trong miệng hoặc trên môi, hay có một điểm sưng tấy hoặc nổi một u ở bất kỳ 1 điểm nào trong miệng...
(khoahocdoisong.vn) - Phát hiện sớm ung thư khoang miệng hoàn toàn có thể thực hiện được nhờ vào các dấu hiệu gợi ý đơn giản trong khoang miệng và răng.
Ung thư khoang miệng là tổn thương ác tính xuất hiện tại vùng khoang miệng bao gồm lưỡi, lợi hàm dưới, niêm mạc má, sàn miệng, lợi hàm trên, khẩu cái và môi.
Trong ung thư khoang miệng việc phát hiện bệnh sớm và điều trị sớm thì khả năng chữa khỏi bệnh và thời gian sống sau điều trị càng cao. Tuy nhiên nếu phát hiện muộn, tiên lượng rất xấu do ung thư di căn sớm….