Cứu sống nam bệnh nhân 46 tuổi bị vỡ bàng quang hiếm gặp
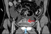
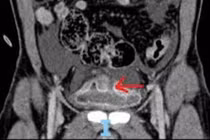
Bệnh viện Nhân dân 115 (TP HCM) vừa tiếp nhận và phẫu thuật thành công cho một trường hợp vỡ bàng quang hiếm gặp.
Vỡ bàng quang là một cấp cứu y khoa nguy hiểm, có thể dẫn đến biến chứng nghiêm trọng như viêm phúc mạc hoặc nhiễm trùng huyết nếu không được xử lý kịp thời.