Máy giặt cửa trước có thiết kế phức tạp hơn so với máy giặt cửa trên. Vì thế, để máy hoạt động hiệu quả và kéo dài tuổi thọ sử dụng thì bạn nên tham khảo ngay 7 lưu ý quan trọng dưới đây.
Đầu tư hàng chục nghìn tỷ đồng xây dựng nhiều dự án, chống ngập như dự án thoát nước Hà Nội, trạm bơm tiêu Yên Nghĩa, Cụm công trình đầu mối Liên Mạc, Hà Nội vẫn đối mặt tình trạng hễ mưa lại ngập…
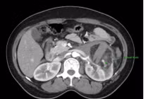
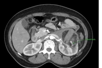
U cơ mỡ mạch thận vỡ có thể nguy hiểm tính mạng. Bệnh viện E T.Ư đã nút mạch hạt vi cầu thành công cho bệnh nhân có khối u lớn vùng giữa thận bị chảy máu.
(khoahocdoisong.vn) - Tình trạng ô nhiễm của sông Tô Lịch rất nghiêm trọng, hoàn toàn không thể sử dụng nước sông trong sinh hoạt, sản xuất và trồng trọt. Những năm qua, thành phố Hà Nội đã có nhiều giải pháp khác nhau để cải tạo và làm sống lại dòng sông Tô Lịch.
(khoahocdoisong.vn) - Hãy rửa bằng nước nóng sau đó nên lấy khăn lau khô. Ống đũa cũng cần có các lỗ để hơi ẩm và nước thoát ra bên ngoài, tránh tuyệt đối để ống đũa đọng nước.